【爱眼课堂】“家渗”难以发现,却在不断扼杀青少年视网膜

孩子眼睛不红、不痛
更没有不舒服
谁想到 孩子的视网膜
居然是脱离的
家长们可要多长点心
警惕“家渗”扼杀青少年视网膜
什么是家族性渗出性玻璃体视网膜病变?
家族性渗出性玻璃体视网膜病变,简称“家渗”。单从名字上看,我们就可以了解到这是一种家族遗传性的疾病。 
事实也是如此,“家渗”作为一种以玻璃体视网膜病变为主的家族遗传性疾病,大多数为常染色体显性遗传

视网膜
其主要病理表现为周边部视网膜血管发育异常、新生血管形成及其他继发性眼病,比如玻璃体混浊和牵拉性视网膜脱离等等。
“家渗”有哪些临床表现?
“家渗”的患者临床表现不一,因多于年幼时发病,患儿个人表述能力差,症状隐匿,多在出现严重视力损伤时才引起家长的重视
此时患儿来诊,多半表现为视功能较差,并出现斜视、高度近视或散光等并发症

斜视

也有部分“家渗”患者是成年后发病 ,患者的个人症状表现各异。 早期 可能出现眼前黑影漂浮、蜘蛛丝样浑浊和黑影遮挡等症状。晚期出现视网膜脱离,则眼前会有固定的黑影和视力严重下降等症状。
什么原因造成“家渗”?

视网膜发生改变

我们的眼球作为一个复杂的神经性屈光系统,从前到后包括了角膜、晶体在内的多个光学结构和视网膜九层神经结构,多个结构的精密配合才能给我们呈现出五彩斑斓的世界。
“家渗”主要是因为视网膜发生改变,进而改变了我们对世界的“看法”。
了解“家渗” ,首先我们要先来回顾一下正常的眼底结构。
正常的眼底呈现橘红色外观,有视盘和黄斑的正常结构,还有弯曲有序的血管走形 。视网膜就像是照相机的底片,是人的眼睛用来成像的结构。

正常的眼底结构

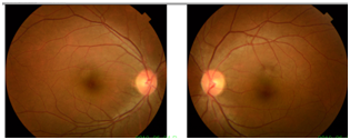
“家渗”的视网膜血管发育异常,视盘和黄斑可能出现明显形态改变
典型表现 为视网膜血管走形异常,视盘和周边视网膜相连的白色条索样牵拉,周边可见灰白色无血管区。
这些不正常的结构进一步发展就会导致玻璃体反复出血,最终导致牵拉性视网膜脱离,进而对视力产生严重的影响

“家渗”的眼底结构

   “家渗”作为一种家族遗传性的视网膜疾病,在早期可能仅限于周边血管发育的异常,发展到最终的视网膜脱离需要经历一个复杂的病理生理过程。
 
如何治疗“家渗”?

“家渗”的疾病分期

“家最早期多表现为在颞侧周边视网膜出现无血管区,进而发展为新生血管形成,后续可伴视网膜内或下渗出,最后条索机化瘢痕牵拉,出现视网膜皱襞,严重时可引起视网膜脱离,甚至视乳头及黄斑移位。
而后根据这个疾病进展和检查情况,可将“家渗”分为5期:

1期: 周边部视网膜无血管区,血管分支无明显增多;
2期: 周边部视网膜无血管区伴血管分支明显增多;
3期: 次全视网膜脱离,未累及黄斑;
4期: 次全视网膜脱离,累及黄斑中心凹;
5期: 视网膜全脱离。
上一篇:【爱眼课堂】日常如何保护眼睛
下一篇:【爱眼课堂】眼睛也有“亚健康”,你知道是什么症状吗?