孩子睡觉打鼾,是因为腺样体肥大吗?

孩子的睡眠呼吸问题,困扰着很多家长,尤其是如果听到专业调理师说“孩子腺样体肥大”,家长往往会摸不着头脑。“腺样体”这样一个看不见摸不着的东西,到底是什么,又该如何检查呢? 


什么是腺样体?


腺样体位于鼻咽顶后壁中线处,是形似橘瓣状的淋巴组织。腺样体出生即存在,2-6岁增生最为显著,之后逐渐萎缩,成人基本消失。


腺样体处于鼻腔、咽鼓管、咽腔共同的引流区域,因此腺样体很易被邻近部位,如鼻腔、鼻窦、扁桃体的炎症波及发生病理性增生,也就是我们通常所说的腺样体肥大。



腺样体肥大进一步会影响呼吸道引流,加重鼻炎、鼻窦炎、中耳炎、咽炎、支气管炎等感染性疾病;同时因堵塞呼吸道,会造成阻塞性睡眠通气障碍。


什么情况需排除腺样体肥大?


◉夜间睡时打鼾、憋气、张口呼吸

◉睡眠多梦、夜惊、遗尿、磨牙

◉长期鼻塞、反复发作鼻炎、鼻窦炎

◉耳闷、听力下降,反复发作急性中耳炎、分泌性中耳炎

◉反复咳嗽、咽部不适

◉营养不良,生长发育迟缓

◉晨起头痛、困倦、学习困难、注意力不集中

◉腺样体面容:上切牙突出、牙列不齐、下颌后缩、唇厚、上唇上翘等


腺样体肥大如何检查?


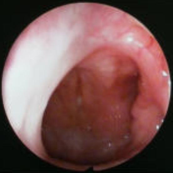
最常见有鼻咽镜、鼻咽侧位片两种检查方式。


鼻咽镜检查:使用一个带摄像头的内镜经鼻伸入,直接观察腺样体堵塞后鼻孔的程度:


◉25%及以下:I度

◉26%-50%:II度

◉51%-75%:III度

◉76%-100%:IV度


通常III度以上且伴有临床症状的,考虑诊断为腺样体病理性肥大。

▲腺样体无肥大


▲腺样体IV度肥大


▲图中所示分别为:I-IV度腺样体肥大堵塞程度及典型的面容表现


鼻咽侧位片检查:拍摄侧位片通过测量腺样体厚度和鼻咽腔宽度比率(A/N)来评估腺样体肥大的程度:A/N≤60% 正常;A/N 0.61-0.70 中度肥大;≥0.71 病理性肥大。另外,腺样体厚度、后气道间隙也是重要的参考数据。


腺样体肥大需要治疗吗?


注意!肥大程度并非治疗的唯一指征。需全面评估腺样体肥大对孩子是否易造成睡眠障碍及感染性疾病,尤其需排除有无反复发作的或慢性鼻炎、鼻窦炎、中耳炎,有无睡眠呼吸障碍、生长发育不良、颌面部发育异常等;同时还需评估扁桃体肥大等其他相关疾病。根据评估结果,再决定孩子是否治疗,何时治疗,以及选择何种方式治疗。


上一篇:鼻炎、鼻窦炎、过敏性鼻炎有哪些区别?
下一篇:得了鼻炎后,嗅觉越来越差,是个例还是普遍现象?