为什么一笑就露牙龈?这还有救吗?
“为什么我的下巴看起来有点短小?
我一笑起来就露出牙龈是怎么回事?”
“我的牙看起来整整齐齐,
是不是就不需要正畸了?”
“感觉自己的面型不太好看
却说不出是什么问题...”

你可能忽略了一个问题
深覆(牙合)

相较于“地包天”,“天包地”——深覆合真的是非常“安静”。
深覆合指的是上前牙切缘盖过下前牙牙冠长度1/3以上,或下前牙咬合于上前牙舌侧1/3以上,也就是“在垂直方向上,上下门牙重合的部分超过牙长的1/3”了

从正面来看,似乎下门牙被上门牙遮住了很多,甚至完全露不出来。
这是一种前牙及前牙槽高度发育相对或绝对过度,后牙及后牙槽高度发育相对或绝对不足导致的错颌畸形,简单来说就是“前牙太长了,后牙太短了”。
【造成深覆合的原因有哪些呢?】
常见的原因有:
①遗传,上颌骨或者下颌骨的发育问题;
②后面磨牙的倾倒、锁合或者过度的磨耗,使得垂直距离降低了;
③不良的口腔习惯;
④乳磨牙早失。
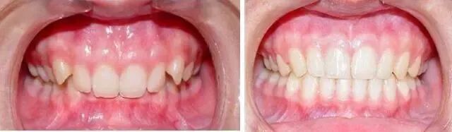
露龈笑不只是不好看,还影响牙齿咬合露龈笑会让人的颜值大打折扣,但是,它的危害又不仅仅是影响美观这么简单。
有这种错颌畸形的人群正面看面部呈凸面型,自然状态下双唇不能闭合,开唇露齿,可能还会出现一笑就露牙龈的现象。
侧面看,下巴可能会后缩,更加重了嘴突的情况。
除了美观,深覆合还会大大增加颞下颌关节紊乱、颈椎融合等疾病发生的可能性,严重的还可能出现上气道的狭窄,威胁着全身健康。

【深覆合要怎么办呢?】
一般来说,深覆合可以通过牙齿矫正来解决,通过压低前牙或者升高后牙使牙齿建立正常的咬合关系。
在接受牙齿矫正后,很多深覆合的问题得以解除或改善。在矫正后,牙齿建立了正常的咬合关系,也不怕咬破自己的上牙龈。

如果你发现牙齿因深覆合出现了牙齿磨损、咬破上牙龈、关节损伤......
如果你怀疑自己也有深覆合,不要慌,可能还有救!先询问下医生,看是否还能矫正,早发现早治疗哦!

