拔除第一磨牙矫治开合
患者信息:肖某,女,19岁。
主诉:改善咬合关系,使牙齿更整齐。
现病史:患者自觉牙齿不齐8+年,双侧颞下颌关节弹响史,未经正畸治疗,否认不良习惯。
既往史:无传染性疾病及系统疾病,否认外伤史,否认家族遗传史。
面型检查:



长面型,下面高偏长;面部无明显不对称;微笑时前牙暴露量正常;上颌中线与面中线基本一致;直面型;鼻唇角较小;上唇位于E线后,下唇位于E线上。
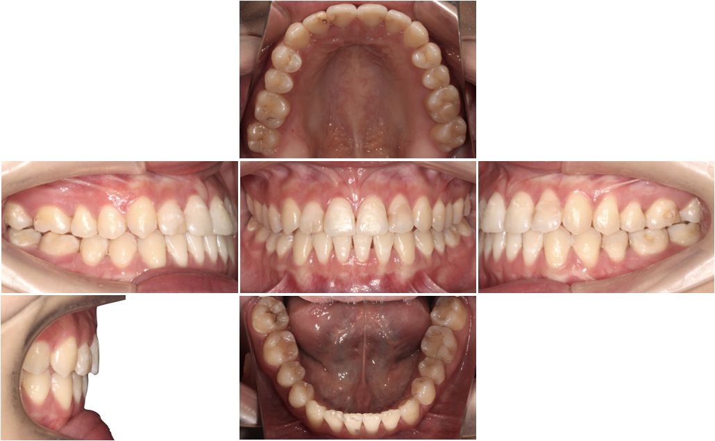
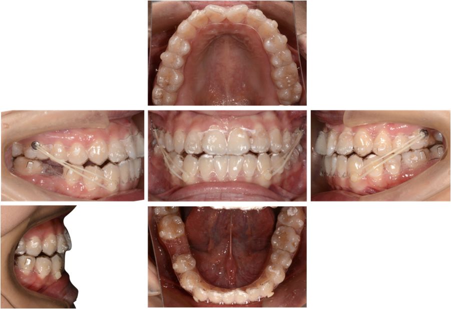
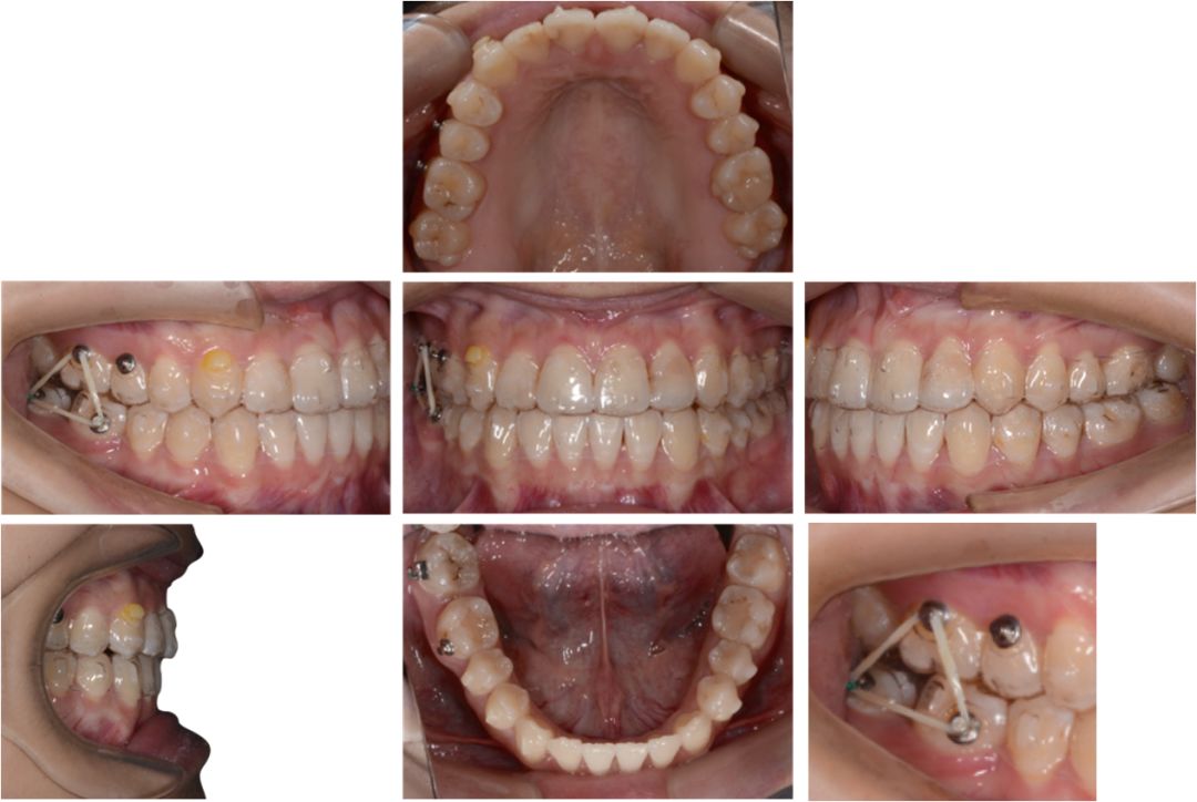
口腔检查:

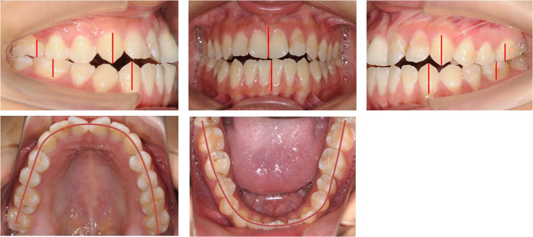
上下牙弓呈方圆形;双侧尖牙、磨牙III类关系;21牙与31牙呈切合;前牙呈现约1 mm的局部开合;下颌中线较上颌中线左偏1 mm。
模型分析:

上颌拥挤度:1.5 mm,下颌拥挤度:1.5 mm。Bolton指数:全牙比为86.70%,前牙比为75.5%。患者上下颌牙列均存在前牙段轻度的拥挤,前牙和全牙的bolton指数均偏小,提示上颌牙齿牙冠宽度偏大。
头影测量:

从头影测量分析的结果上来看,患者的下颌体长度偏大,下颌发育过度,由于下颌后下旋,SNB和ANB的数值在正常范围,是一名偏高角的骨性III类患者。在牙齿角度上,上前牙角度正常,下前牙较直立。
曲面体层片:

曲面体层片中,我们可以看到患者多个牙位存在高密度的充填影像。46牙可见根管充填影像,根充基本到位,近中根的根尖周存在局部低密度暗影,结合46牙的病史,这是一颗在外院行根管再治疗后观察了5年、影像学上并无好转的根尖周炎患牙,而且病人一直有咬合痛的症状,经我院牙体牙髓科会诊,治疗46牙需行根尖手术,并且认为预后比较差,而患者4个区的第三磨牙均存在,而且形态良好。
CBCT检查:


从患者双侧颞下颌关节的ct断层影像上看,右侧关节前间隙明显偏小,髁突表面骨皮质较连续但厚度较薄,右侧关节间隙较均匀,个别断面上,髁突表面的骨皮质较粗糙,不明显。左侧颞下颌关节髁突表面骨皮质模糊粗糙,厚度较薄,关节间隙较均匀。临床功能检查上,患者开口度开口型正常,双侧关节张口中期有弹响。
1. 安氏III类错合,骨性III类:下颌前突;
2. 上下牙列轻度拥挤;
3. 前牙局部小开合,21牙与31牙切合;
4. 46牙根尖周炎:内科会诊,需根尖手术,预后较差;
5. CO-CR位不调,颌位可后退小于2 mm;
6. 下颌牙列中线左偏;
7. Bolton指数偏小;
8. 偏高角。
1. 安氏III类,骨性III类;
2. 前牙局部开合,21牙与31牙切合;
3. 牙列拥挤;
4. 46牙根尖周炎;
5. CO-CR位不调;
6. Bolton指数不调。
1. 解决前牙局部开合,达到前牙正常覆合、覆盖;
2. 解决牙列拥挤,排齐整平上下牙列;
3. 改善尖牙、磨牙关系。
1. 拔除46牙,38牙,18牙,28牙;
2. 上颌前牙配合邻面片切,排齐整平上颌牙列;
3. 下颌左下适量推磨牙向远中,右下利用46牙拔牙间隙,改善尖牙磨牙关系,纠正下颌中线,排齐下颌牙列,适当内收伸长下前牙,建立正常覆合覆盖;
4. 正畸治疗过程中行肌功能训练。
隐形矫治方案设计

我们矫治目标位以切合的21牙为准,维持其垂直向和矢状向位置,解决切牙扭转;内收,伸长下前牙,达到前牙2 mm覆合2 mm覆盖。大部分拔牙间隙通过磨牙前移关闭,左下颌少量推磨牙向远中,改善尖牙磨牙关系,纠正中线。


47牙前移的矫治设计:每步移动0.2mm,6°后倾分散施加在每步矫治中,与对合设计咬合重接触。

移动分步设计:47牙与45牙先相互移动,47牙与45牙移动至预计移动量一半时,48牙与44牙再移动,47牙与48牙间始终留有间隙。
矫治中

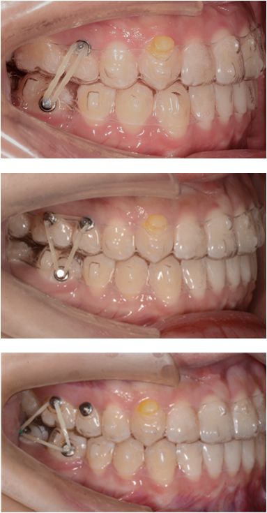
第8副,矫治器与牙面贴合,矫治过程中配合III类牵引,有利于尖牙、磨牙关系的改善。

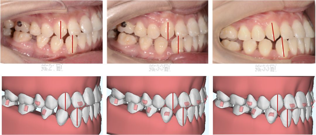
第20副,矫治器与牙面贴合,近中矩形附件使矫治器对47牙有较好的固位,47牙与45相对移动,磨牙尖牙关系改善。

第30副矫治器时,其余牙位矫治器还是比较贴合,但是47牙近中出现了低合与矫治器间隙变大,嘱患者使用咬胶,利用矫治器的力量竖直47牙。



第33副,由于47牙持续的前倾,我们进行了矫治设计的反馈,患者由于干扰的去除,咬合支点的前移,出现了颌位的后退。因为这个原因,实现了比矫治设计更好的尖牙磨牙关系。所以这次我们反馈时提交的是cr位的咬合记录。
矫治中 反馈:


47牙前移的矫治设计:竖直并后倾磨牙6°,每步移动0.16 mm,磨牙前移时维持每步0.5°后倾,与对合设计咬合重接触。

反馈的矫治方案,上颌内收前牙关闭剩余散隙,下颌竖直前移磨牙,关闭间隙。

第5副,II类牵引来辅助47牙前移,给它部分垂直向分力,但由于水平向上分力更大,使其更前倾,我们停止了长牵引的佩戴。

第30副,改为局部牵引,根据牙齿移动的情况设计牵引,给予其更多的垂直向分力。

第34副矫治器时,48牙近远中和垂直向移动的情况不是太好,我们使用了一个三角形牵引,以矫治器作为引导,帮助它向近中合方移动。

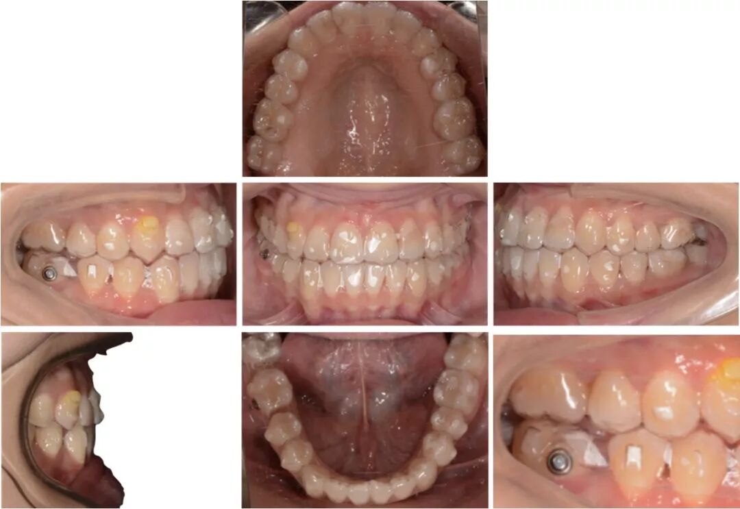
反馈后37副矫治器后,我们完成了矫治,总疗程共30个月。在成功的磨牙长距离前移中,未辅助固定矫治。
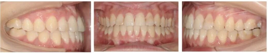
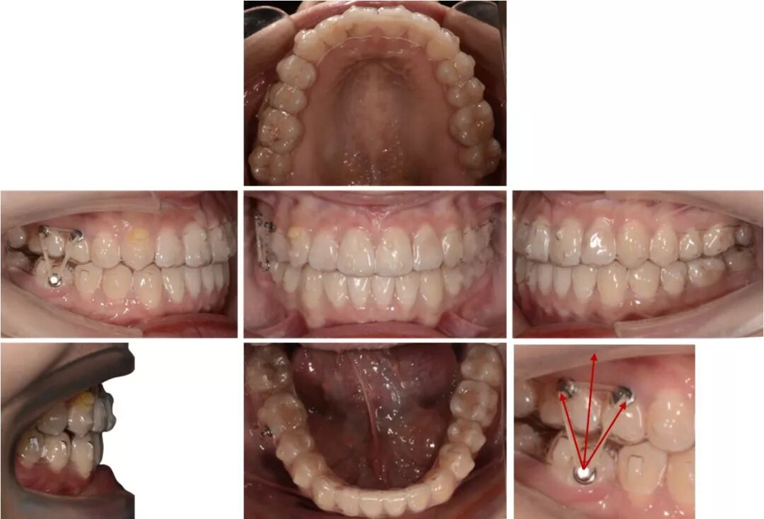
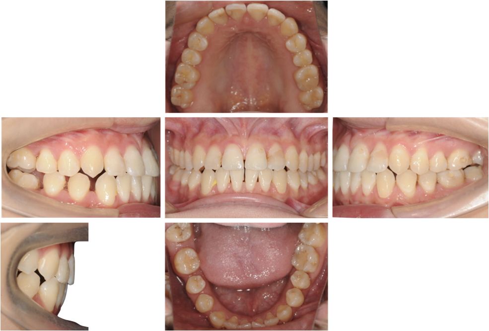
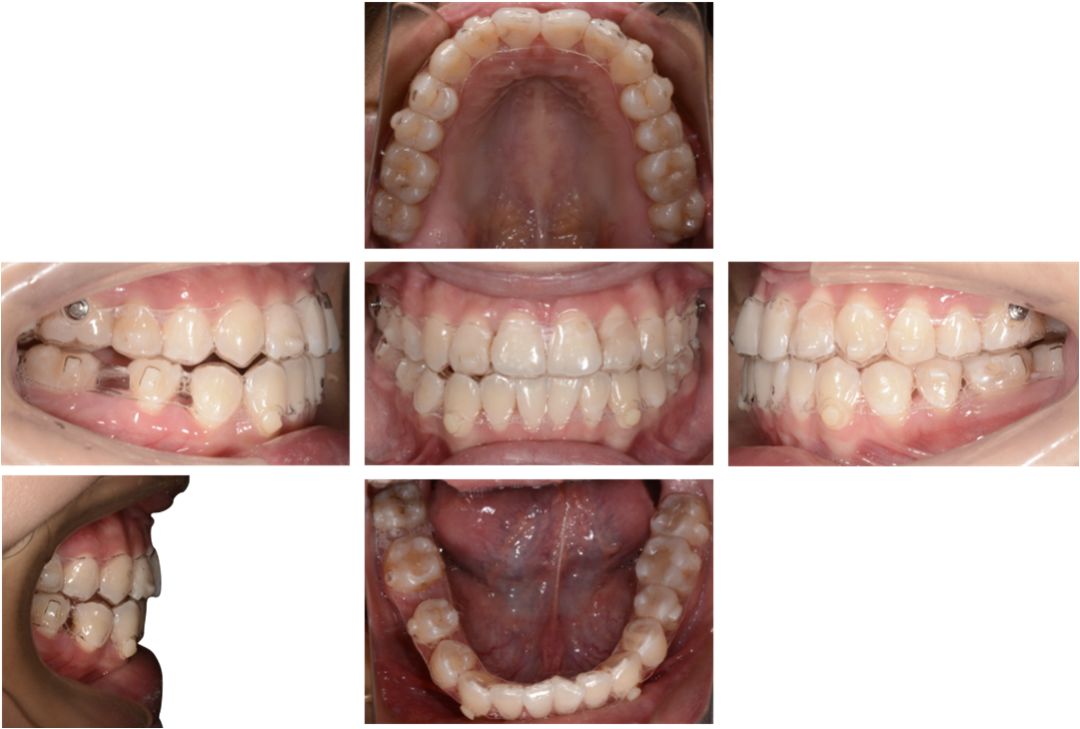
矫治结束

结束时面像照

从结束的头影测量分析,看到我们成功代偿了颌骨畸形,前牙角度比较直立。

治疗后全景片显示牙根平行度尚可


右侧颞下颌关节髁突表面骨皮质连续均匀,关节间隙均匀。左侧颞下颌关节髁突表面骨皮质增厚,个别吸收点消失,关节间隙较均匀。
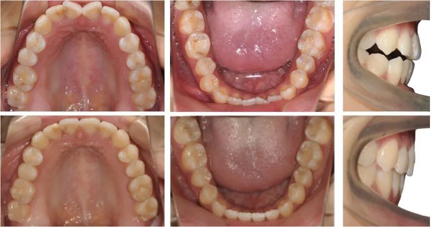
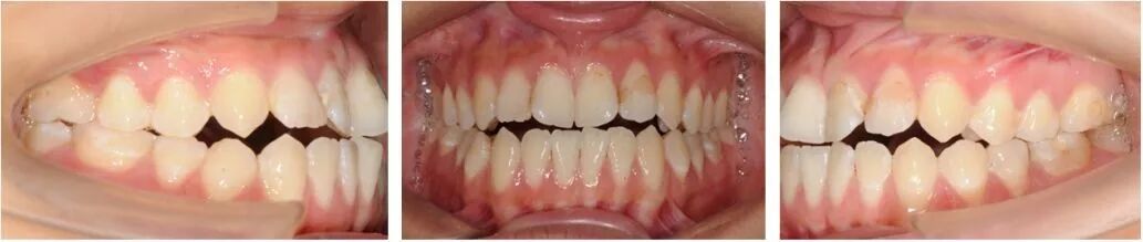
保持中:

患者保持3个月的面像

保持3个月的口内像,可以看到矫治效果是比较稳定的。







治疗后头影重叠图可见47牙大量前移关闭拔牙间隙,下颌前上旋转;下前牙少量伸长解决开合,下前牙少量内收、直立。
拔除磨牙并有大量前移的病例,如何预防磨牙前倾?
1. 减小磨牙每步的前移量,每步小于或等于0.1mm;
2. 优化移动设计,分散牙齿移动;
3. 磨牙前移时垂直向与冠轴倾度的过矫治;
4. 避免矫治器在牙弓长度的缩短中,对前移的牙齿过大的拉力;
5. 矩形附件增加矫治器对牙齿的固位 ;
6. 尽量多的矫治器包裹接近拔牙间隙两侧牙的牙面。
磨牙前移时如果已经倾倒,如何应对?

1. 配合局部牵引,给予垂直向分力;
2. 以矫治器作为引导,片段弓辅助排齐;
3. 重启矫治,竖直牙根后再关闭间隙。

