牙齿又白又齐,一笑却露出大片牙龈?
你是否有这样的困扰:
明明牙齿又白又整齐
为什么笑起来总会露出牙龈?
照着镜子时
总是觉得自己的脸型不够好看?
会有这样的困扰
那可能是你忽略了一个小问题
那就是牙齿深覆合
在大家潜意识里,似乎矫正牙齿只需要把牙齿排的整整齐齐就好,但其实除了整齐之外,牙齿的咬合排列问题也很重要,也会影响颜值的哦!
今天我们就来好好地聊一聊:
牙齿深覆合的秘密
01
什么是深覆合?
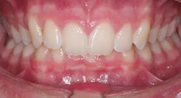
深覆合,其实指的是我们的上前牙盖过下前牙牙冠长度1/3以上,或下前牙咬合于上前牙舌侧1/3以上。
听上去有点复杂?那就看看下图,检查一下自己是否有这样的情况吧!

再说的通俗一点,就是前牙太长了,后牙太短了。从正面来看,似乎下门牙被上门牙遮住了很多,甚至完全露不出来。
比起一眼就能发现的「地包天」,「深覆合」可以说是非常低调、不起眼了。它就隐藏在我们的周边,举个比较明显的例子,那就是龅牙,龅牙在很多时候都表现为前牙的深覆合。
那么,我们为什么会出现深覆合的现象呢?
其实,更多的还是归结于小时候的一些影响因素。宝妈宝爸们可要注意了,趁着宝宝还小 ,更要多多注意哦!
NO.1 遗传因素
父母如果有深覆合的情况,那么孩子继承的概率会比较高。
NO.2 不良习惯
小时候,孩子们总会有一些口腔不良习惯,例如吮指,咬下唇,这些都会造成深覆合的可能。
NO.3 乳、磨牙早失
当孩子多颗乳磨牙或第一恒磨牙(六龄牙)提早缺失的时候,会降低了牙床与牙床之间的距离,导致咀嚼力刺激的缺乏,从而影响牙床(颌骨及牙槽)的发育。
02
深覆合对牙齿的影响
深覆合毁掉的,可不仅是颜值哦,它更会毁掉牙齿的健康!
01
牙齿咬合关系紊乱
很多时候,深覆合会导致上排和下排前牙拥挤,上排前牙直立而且往内倾斜,进而导致牙齿咬合紊乱。
02
慢性牙齿问题
严重闭锁型深覆合,会让患者经常咬伤上排前牙靠上颚一侧的牙龈,或下排前牙靠嘴唇一侧的牙龈,从而引起急性、慢性牙周炎,甚至会造成牙床(牙槽骨)吸收,牙齿松动等。
03
牙齿磨耗问题
此外,深覆合还会导致下排前牙的切端(切缘)被过度磨耗。
03
深覆合是否可以预防
除了遗传性的深覆合,其他的深覆合情况都是可以预防的。
而且,儿童时期的防治,效果更佳哦!
01
胎儿期
千万别小看了胎儿期的防治,这个时候可是妈妈加强营养,为宝宝增强体质的关键期。
02
婴儿期
当宝宝出生的时候,母乳喂养是一个较佳的选择,它可以让宝宝的下巴做合适的下巴前伸运动,让宝宝的面部肌肉得到协调发育。
必须注意的是,此时应注意宝宝的不良口腔习惯,避免造成深覆合的情况发生。
03
儿童期
此时的孩子,正处于生长发育旺盛期,不仅要注意适当提高饮食营养,还要注意食物的硬度,让孩子的口腔各部分结构得到充分刺激,提高咀嚼功能,让牙床(颌骨及牙槽)的正常发育。
总之,深覆合非小事,一定要从小开始预防!
若是你现在就有“深覆合”问题,那就赶紧联系我们吧!面对深覆合不用怕,及时“拯救”才是关键哦!

