看牙就看牙,到底为什么还要拍片呢?
很多人都这样觉得:
看大病拍片我还能理解,看个牙齿也要拍啊?
没必要吧,而且有辐射,对身体也不好。

通常,我们肉眼只能看到外层的一点牙釉质,如果牙齿里面出了问题,是无法观察到的。

牙医不长透视眼,当然不能透过现象看到牙齿本质。
因此,为了对牙齿进行全面的了解,拍个牙片还是很有必要的。
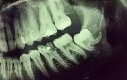
先放几张图,让你们涨涨姿势。不拍片,其实根本不知道牙齿长得会有多“奇葩”!
▼

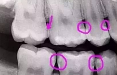
下图圈出来的地方,或多或少都有点龋齿。但是,有些你并不能看见。这些龋齿还浅不会让你有什么感觉,顶多吃东西塞牙,和冷水敏感而已。

暗的部位说明龋齿已经非常严重了!
▼

下面这个是接近牙髓了。
▼

牙齿的牙根,是埋在牙槽骨中的。
医生没有透视眼,为了解患牙的牙根的形态、走向、长度及根尖周有无病变及病变大小,或者怀疑有肉眼无法确认的其它牙科问题,都会建议患者去牙科的X光,甚至口腔CT,来全面性地确认问题,以制定合适的治疗计划。

人体接触X线有一定的潜在的损害,依照目前国际放射防护委员会的推荐,一般民众辐射限值为每人每年不得超过5毫西弗(mSv)=(5000微西弗 (μSv))。
其实,我们每时每刻都生活在电磁辐射中。我们生活中所接受到的大部分的辐射(约85%)是来源于自然环境的,如太阳、土壤等。
而来源于医疗诊断与治疗的辐射量,占14%左右。
美国牙医协会也给出数据,在医疗辐射中,来源于牙科的辐射仅占到约2.5%。

关于牙科放射量,儿童放射学会给出更为清晰的对比:
拍一张曲面平展的辐射量,相当于约3天的自然环境辐射量;
拍4张牙合翼片的辐射,相当于约0.6天的自然环境辐射量。
总之,拍牙片的辐射量其实是较小,大家不用担心。
牙片对于口腔疾病的诊断尤为重要,且辐射量很小,所以只要有必要,大家就不要再排斥拍片诊断啦~

在某些口腔疾病治疗的紧急状况下,孕妇可能不得不在宝宝出生前拍牙片,因为未经治疗的牙科感染会构成胎儿的潜在威胁。
一般不主张孕妇在怀孕初期(前三月)拍牙片,毕竟胎儿比正常人更娇嫩更敏感。
孕期三个月过后,如孕妇必须接受X光拍摄时,可以穿防护服(铅衣)以防放射线危害孕妇及胎儿。

只要不是直接对准腹部,或其附近部位的高剂量辐射,对胎儿的影响几乎微不足道,准妈妈们不必过于担心。
此外,儿童在拍牙片时都会采用低剂量、以最优化的剂量达到临床要求,同时进行必要的防护,大人们也可以不必再纠结于孩子的辐射伤害。

牙片(牙科X光),有助于牙医直接观察到普通口腔检查难以发现的牙齿和牙周组织问题,是早发现早治疗口腔问题的关键!
希望大家一定要认识到牙片的重要性,拍片没有很大的风险,大家不用担心哦!

