妹纸:牙齿不好看,其实还有这么多选择~


人们常说:貌美牙为先,齿白七分俏。
如果我有一口好看的牙齿
我肯定会笑容满面 走路都带风!
20 好几的人了
总是在想,该拿什么拯救
 我的小丑牙 
 我的小龅牙 
 小黑牙 
 小牙缝 
有多少人跟这一样
以为错过了矫正牙齿的黄金时期
还继续“被蒙”在“牙”里!
如果你的牙齿不整齐、不好看?
那么
来了解一下~
仅仅因为牙齿不好看你错过了什么?


  下面采自粉丝自诉:


“其实我长的很美,但是我基本上从来不笑,特别是拍照,因为牙缝大,吃肉塞牙,吃菜塞牙……每次部门聚餐,大家都在吃肉,我却只能喝汤,这体验感,都想打人!”
 


“别问我牙不好是种什么体验,接吻都尴尬!别问我是怎么知道的,就不告诉你!”
 


“恩,一口黄牙,不敢启齿......是这样,没错了”
 


你的牙齿还好吗?


作为食物进入人体的第一道关卡
颜值评判的主要担当
牙齿的好坏
直接影响着我们的
饮食、情绪、生活质量
美观以及身体健康
毕竟
牙好胃口才好,吃嘛嘛才香
……身体才倍儿棒
然而
据第三次“全国口腔健康流行病学调查”
数据显示
我国年龄段的人
都被口腔问题困扰
 其中
儿童最常见的是龋齿和牙颌畸形;
18-45岁人群以色素牙、畸形牙为主
45岁以上的中老年人最常见的是缺牙。


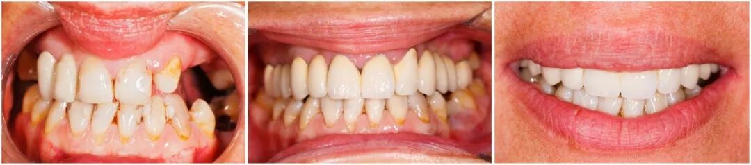
3 种常见的牙齿问题,你中招了没?


1

颌骨突出、短下巴、突嘴、露龈笑



牙齿不整齐

牙齿畸形其实非常常见,只要我们仔细观察,就可以发现身边很多人都有一些畸形的症状,比如牙不齐、牙齿拥挤、龅牙、牙缝大、地包天等。


2

四环素牙、氟斑牙、可乐牙、咖啡牙



黄黑牙、牙齿不好看 

“为什么天天刷牙,牙还是黄?难不成是牙膏不好用?”事实上,再高级的牙膏,对于氟斑牙、四环素牙,以及长期吸烟、喝茶、喝咖啡等引起外源性色素牙,也无法起到让牙齿真正起到变白的效果!


3


意外缺牙、单颗/多颗缺牙、骨质疏松、烤瓷牙失败


人未老牙先衰,缺失牙

“每天喝粥度日活受罪!”“恶心、呕吐,什么都嚼不动,吃什么都不香,真是折磨人!”据统计,我国45岁以上中老年人中79%以上都有不同程度的牙齿缺失。
事实上
很多人认为,牙齿问题并不是什么大问题
只是影响美观而已
但实际上
牙齿对健康的影响也很大
牙齿不齐或龋齿、畸形
很容易形成了不易清洁区
滞留牙菌斑、食物残渣,引起其他并发症


因此
当牙齿出现以上问题时
就有必要及时进行矫正的治疗了


相信我,
不管你是 10 多岁,
还是 20 岁、30 岁……
拥有一口整齐洁白健康的牙齿
绝对是不会后悔的事情!
因为我们可以
开心就开怀大笑,不开心就过会再笑!
面对难看牙、缺失牙,正确的处理办法


1
不戴牙套矫正



适用人群:

针对 18 岁以上龅牙、牙齿拥挤、牙齿稀疏、鼠牙、色素牙等人群。

解读:
很多人担心“拔牙痛”,“戴牙套难看”,“影响工作”,不戴牙套矫正技术,颠覆传统牙套矫正技术,具有不戴牙套、不拔牙矫正牙齿的优势,是明星和上班族矫正牙齿的首选技术。



牙友A:当天牙缝就不见了,龅牙也都平整啦,盈盈一笑,露出一口大白牙,看起来年轻精神好多,哈哈,整个人都不一样。


2
全隐形矫正




适用人群:
针对地包天、龅牙、牙齿拥挤、牙列不齐、对颌开颌等人群。

解读:
很多人担心“钢牙不好看”、“影响工作”,这逐渐成为阻碍大家矫正牙齿的最大因素。

全隐形牙套矫正技术,真正透明的牙套无惧近距离接触,摘戴方便、清理简单、卫生舒适,成为更多年轻人矫牙的时尚之选。


牙友B:一口整齐大白牙正式上线,颜值和气质直线提升, 笑起来太美啦~

3
3D 全瓷超薄贴面



适用人群:
牙釉质发育不良、四环素牙、氟斑牙、畸形牙、牙缝大等。

解读:
超薄牙贴面,0.2 毫米,好莱坞明星美牙首选的技术,轻松还原牙齿健康、自然美观的形态。


牙友C:牙贴面 效果还真的不错,牙齿白白的让我感觉自己就是小仙女!


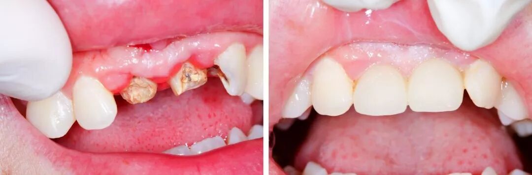
4
精密种植牙



适用人群:
天生缺牙、意外断牙、龋齿拔牙、松牙拔出、多颗牙缺失、全口牙缺失、残冠残根、假牙佩戴不适者等。

解读: 
  种植牙,对年龄上限没有严格要求,种出坚固好牙,非常适合牙齿缺失的牙友。



医生根据口腔 ct 拍片,结合其骨骼、骨量、牙槽骨情况,为您量身定制了种植牙方案,当天种好牙齿,恢复咀嚼力。

一口靓丽坚固的牙齿,让你乐得合不拢嘴!

·end·


上一篇:备孕的你,千万别忘了检查牙齿!
下一篇:吃什么都受罪,牙齿敏感在作祟!