对智齿仁慈,就是对自己残忍
「牙疼不是病,疼起来真要命」
所有在深夜里被牙痛醒过
或是为牙医一掷千金的人
都知道一口好牙有多重要
然而我们很多人的口腔里面
却存在着一个隐患......
对于大部分人
我们的牙齿是一个和谐的 28 口之家
他们相亲相爱,分工合作
但对于 70% 的家庭来说
他们 18 岁那一年
可能是他们噩梦的开始
因为
1 至 4 位白眼狼出生了
它叫做——智慧齿
这位不速之客
从上古时期就与人类为伴
但人类在进步的同时
他却一步步地走向歧途
*大部分人的下颌骨比原始人小,骨头上没有足够空间给智齿。这使得智齿没有咀嚼功能,是多余的「痕迹器官」。但也有少部分人的智齿,可以发挥正常的咀嚼功能。
智齿是如何一步步黑化?
智齿和当代人类的关系
堪比婆媳关系
生活理念完全不契合:
站没站相
智齿从出生的那一刻就注定了
他不同于其他牙齿的一生
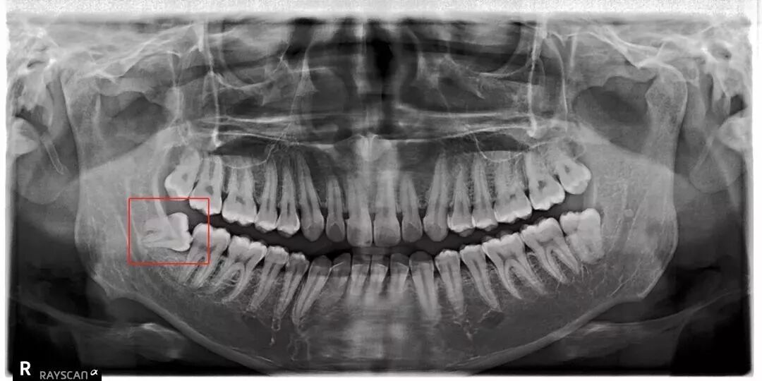
他能各个位置、各种角度窜出来
左划看看他们真实的模样
好吃懒做
别看智齿一脸狠样
却是个不讲卫生的死宅
整天裹着被子睡觉
而且还把各种食物藏在里头
能从里面找到你半个月前吃的
鸡胸肉、金针菇甚至是薯片
骄里娇气
肥宅当久了
智齿比林黛玉还娇弱
智齿冠周炎、龋坏、牙髓炎
全都来了
这个时候你可能会痛到
五官扭曲
黑化完成
智齿痛了一次两次还得不到重视
在这种缺爱的环境下
智齿终于变成了大麻烦
把前一颗牙齿顶坏:
把整副牙齿挤歪:
甚至是导致
间隙感染、心内膜炎感染
但是
人类也没有坐以待毙
一代代的人经历过智齿的折磨之后
人类与智齿的抗争开始了
人类中诞生了专门的「赏金猎人」——
牙医
这群「赏金猎人」
收钱办事,拔牙不眨眼
手段极其「简单粗暴」
暴力拆迁
牙医们最常用的武器是:
他们一挺、一夹
智齿就被拽出坑位
堪比暴力拆迁
但是有部分智齿会顽强抵抗
比方说像树根一样长出很多「根」
扎根在骨头里,死死抓住
还有一部分智齿长期发炎
可能会跟我们的骨头黏连
拔出来的时候可能带出来一块骨头
但这些还不是最难拔的智齿......
一部分智齿学聪明了
学会了藏身
他们躲到牙龈底下躲着
甚至直接躲到了骨头底下
左划看看他们真实的模样
但是依旧躲不过这群赏金猎人的追杀
甚至手段更加的残忍
挖地三尺
他们用刀子划开了智齿表面的牙龈
用电钻挖地三尺
最后面对躺倒认输的智齿
他用电钻将智齿分尸
再一块一块地取出来
画面过于血腥
不宜展示
很多人可能会被拔牙的过程吓到
但不要对智齿
心存侥幸!!!
其实
拔牙的时候是会打麻醉的
理论上不会痛
该拔的智齿不及时拔掉
相当于给自己埋了个定时炸弹:
对智齿的仁慈
就是对自己的残忍
因为,智齿急性发炎的时候,是不能拔牙的!
最后送大家一句话:
早点拔智齿,才是真明智
-END-
▼ 点击下面头像咨询了解更多相关内容 ▼

