为什么医生老要我们拔智齿?这组与牙医的对话告诉你!
提起智齿这个磨人的小妖精,大家都是有一部血泪史的。不疼不痒倒也没有什么问题,但是一旦“作”起来,那简直是要命啊。很多小伙伴就会期期艾艾的问我,长了智齿难道就只有拔除这个方案了吗?为什么医生老要我们拔智齿?你是不是也问过牙医下面这些问题?
你
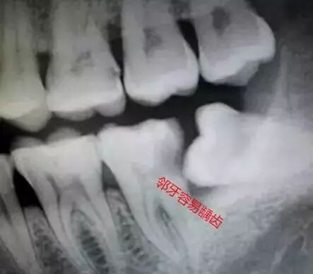
智齿长的很正,为啥还是要拔?
牙医
虽然你的智齿长正了,但是它跟前面牙齿的邻接关系不好,吃东西老是塞牙,时间长了就会影响到邻牙,造成龋齿。

就算不会长“虫牙”,也极可能导致牙龈发炎出血,严重的会像下图一样,导致相邻牙齿周围的骨头破坏吸收,造成牙齿的松动,这就像水土流失一样,树也种不上了,再想“固沙保水”,就会很困难。
你
我的智齿不痛啊,为什么医生你要我拔掉?
牙医
虽然你的智齿不痛,但是位置不正
虽然你的智齿不痛,但是位置不正,虽然它自身没坏,但它把前面的牙齿破坏出一个大洞,好好的大牙就被顶坏了,龋齿了,然后拖着没处理,导致牙髓也感染了,到时候两颗就要一起拔了。

你
拔智齿会不会影响我的智商
牙医
现在医学上并没有“拔智齿后人会变笨”的说法。
智齿和人的智慧的关系是这样的,智齿一般是人成年后才长出来的,这个时候人的生理、心理发育都接近成熟,有“智慧到来”的象征,因此这颗牙才被俗称为智齿,所以并不是智齿带给人智慧,而是智慧到来的时候长出了智齿。

如果智齿这样长期反复发炎,会很容易导致更严重的感染,引起面部肿胀疼痛、颌骨骨髓炎等,或者在面颊部形成窦道而影响美观,就问你怕不怕!
你
拔智齿能瘦脸!
牙医
傻孩子,拔除智齿是不会让脸变瘦的。
智齿是在下颌骨完全成型之后才萌出,是否拔除,对下颌角的角度没有影响,所以为瘦脸去拔除智齿是完全没必要的。之所以有人说自己智齿拔除之后确实瘦了,更可能是因为拔牙术后疼痛和肿胀,进食减少,当脸部消肿,加上一段时间饮食控制,让人产生拔智齿瘦脸的错觉。
当然,拔牙和改变脸型也不是全然无关,但那可就不是“拔掉智齿”那么简单的:想要和baby一样好看?整牙是你的第一步。


拔牙需要注意的事项:
1、尽量上午拔牙。
其实下午也可以拔,主要考虑的问题还是出血的问题,如果拔牙后还是很严重出血,下午大部分医生都在,还是比较好处理的,避免了晚上挂急诊、无法正常睡觉。
2、早上记得吃了早餐过来拔。
没有吃早饭,容易低血糖。在注射麻药或者拔牙操作中容易晕厥,给自己和医生带来不必要的惊吓和麻烦。

3、女性请避开月经期。
国内各个版本的教科书都是写着月经期拔牙可能会引起代偿性出血。部分学者查文献获知,该结论并无直接证据。为了个人的健康,还是妥善为佳,除非是必须处理的急症。
4、拔牙后请遵医嘱。
拔牙后棉球咬30分钟以后吐掉;拔牙后2小时可进食,尽量吃凉一点软一点的(大夏天的,吃个冰激凌不错),避免用患侧咀 嚼;不要去舔伤口;24小时以内吐口水有点血丝是正常的,不要惊慌,如果出血很严重,请及时就诊;拔牙后24小时以内不要刷牙不要漱口,因为会破坏血凝块,引起出血。

5、孕妇在孕期之前拔牙。
对于孕妇,原则上是不能拔牙的,即便是在孕期中3个月。创伤会引起一些不必要的麻烦。怀孕前3个月易引起流产,后3个月易引起早产。所以,对于育龄期的女性,建议还是先处理好个人的口腔问题,再考虑怀孕吧!不仅仅是为了你自己,还有你的宝宝!


