牙片也是有分种类的,
不同的情况拍不同类型的牙片!
作为最基础的牙片,根尖片一般的普通门诊医院都可以拍,费用也相对低廉。
其优点在于
1
:
1
比例,真实再现口腔内牙齿牙龈牙骨等的相对位置等情况,不会把牙齿放大缩小,缺点是一次只能拍到
1-3
颗牙齿。
它可以帮助牙医确定个别牙齿龋坏
(
龋齿,俗称蛀牙
)
程度、炎症扩散范围、牙齿周围骨头状况、隔壁牙齿情况等等。
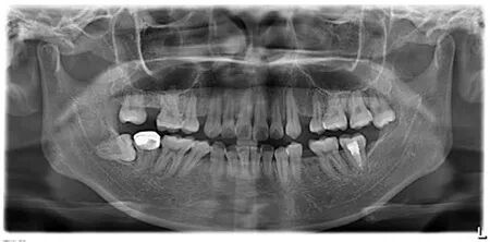
曲面平展片在一般门诊或医院也都可以拍到,它的优点是可以展现出整个口腔里的牙齿,及口腔周边解剖结构颌骨,但缺点在于图片上的牙齿容易失真。
曲面断层片一般用于全口牙齿的检查及颌骨的检查,相对小牙片的龋病检查,曲面断层片更适用于检查智齿的生长情况,种植牙的术前检查等等。
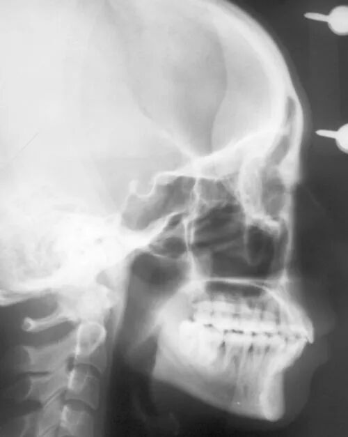
侧方位展现牙骨位置,通常拍摄曲面断层片的机器也可以拍摄头颅侧位片。
这种牙片在正畸邻域应用最为广泛,诸如正畸(牙齿矫正)前的数据分析,制定矫正计划等,头颅侧位片则是重要参考依据。
CT相对其他牙片来讲,不管是功能还是设备上都是比较高级的,在一般门诊或医院无法拍摄,只有专门口腔医院里才能见到。
牙科
CT
主要用于植牙前对牙槽骨
(
上、下颌骨包围和支持牙根的部分
)
高度、宽度、神经管的位置、植入种植体的长度等准确诊断。
牙科
CT
检查提高了牙科手术的准确性,更重要的是可在电脑上进行模拟种植,使颌骨阻生牙和埋伏牙可以在拔除前确定手术切口方向,减少盲目性,避免损伤下颌神经。
在根管治疗时,也可以确定根管数目和根尖病变范围、有否根折及根冠钙化等情况,为准确寻找根管及治疗结果的预测提供参考。