比脱发更可怕的,是牙坏了!
生活压力让人觉得疲惫
发出警告的
除了飘落的秀发
还有松动的皓齿
现代社会
我们开始越来越注重个人形象
大部分人总认为
早晚刷牙就能保证口气清新了
可是!我只想说
你太天真了!!

难道你没有发现
自己每天刷牙,饭后漱口
还是会牙龈出血
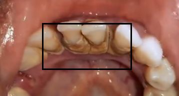
你的牙齿内侧还是像这样?

对不起,有点重口味了...
每天早上“chua”“chua”两下
就刷完牙的你
有对照镜子好好观察自己的牙齿吗?
如果没有,
现在,立刻,马上
拿出小镜子,打开手机前置相机
看看自己的牙齿有没有被牙结石包围...
因为洗牙,是去除牙菌斑和牙石特别有效的方法。
而牙菌斑和牙结石日积月累后就会导致龋齿、牙龈萎缩、牙龈红肿、牙周病等一系列牙齿、口腔问题。
洗牙不但可以改变你的生活,而且可以防止你美好的生活被改变。
很多人疑问,那牙结石不就像盔甲一样,能保护牙齿及牙龈吗?
其实,这都是“假象”。牙结石是由牙菌斑堆积而成,其中的大量细菌会不断生长、繁殖,侵蚀牙龈,引发牙周炎等疾患。
如果长期不清理,牙龈会萎缩得越来越厉害,只会缩减牙齿的使用寿命。
简单总结:牙菌斑→牙结石→牙龈炎→牙周炎→牙齿松动。。。
每半年到一年洗一次牙,可有效预防牙周疾病,有助于保持口腔健康。
但因为种种顾虑,人们对洗牙总是谈得多、做得少。

01:洗牙会把牙缝牙齿洗松
牙石的堆积、牙龈的炎症会导致牙龈的局部肿胀填塞牙缝,而洗牙后去除了牙石,牙龈肿胀逐渐消退,所以牙缝就变得明显了,其实这是牙齿的真实面目,绝非洗牙所造成的。
洗牙会把牙石去掉,这样就终止了牙周炎的进展,让牙齿不再继续松动下去。

02:洗牙时很疼,会流血
洗牙的过程通常会有点酸痛,如果牙龈炎症比较严重,洗牙时会出血,出血是炎症程度的反映,只有认真刷牙、洗牙才能消除炎症,炎症控制或消除后出血会减轻或消失。
03:洗完牙以后牙齿变得敏感
洗过牙之后,很多人都反映牙齿变得比原来敏感。请注意,如果真的有这样的感觉,表示可能已经患有或轻或重的牙周炎了。

洗牙仅是牙齿敏感的诱因,真正的根源还是牙周病。如果因为害怕敏感而不敢、不愿洗牙,那么将会导致牙周病愈演愈烈,最终牙齿松动脱落。
01 预防牙龈方面的疾病,有助于较早地发现牙科问题。
02 有助于维持身体健康,不经常洗牙导致口腔卫生不良,可能会诱发心脏病发作和中风。
03 是口腔其他治疗的基础,比如牙周炎、镶牙、正畸治疗、口腔手术等。
04 经常洗牙有助于防止口臭,是消除口臭的理想途径。
当你的口腔健康出现以下问题时,就该重视洗牙这件事了。
01:牙周不健康者
刷牙出血、牙床肿胀等症状都属于牙周问题,有这些情况的患者应当及时去专业牙科洗牙。
专科医生会根据牙齿的实际病情进行针对性治疗,以达到理想效果。

02:备孕中的准妈妈
洗牙会增加流产风险,可见怀孕后出现牙周问题治疗起来比较麻烦。
因此这类人群应在备孕前到口腔科检查口腔情况,根据检查情况决定是否需要洗牙,以保证孕期口腔牙周健康。
03:需要假牙镶复者
镶牙前进行洗牙及其他牙周治疗,健康的牙周情况,可保证假牙在镶复后正常使用。
04:矫正牙齿者
戴牙箍后,如果刷牙不仔细,很容易有卫生死角,使牙菌斑滋生导致龋齿,也更易长牙结石。
因此在矫正之前要进行牙周检查,进而判断是否需要进行洗牙。此外,在矫正过程中,也要加强对牙周的检查。
洗牙频率多久比较好?一般半年到一年时间去洗牙一次,是保证牙齿干净的好习惯。
在这里要提醒下,洗牙是口腔治疗的基础治疗,这并不表示它可以很随意实施。保证健康的前提下洗一次彻底的牙,最好前往正规的专业医院诊所。
定期体检已经成为我们普遍接受的常识,但牙齿也是我们身体的一部分,定期洗牙同样非常重要。
定期洗牙不仅是一种日常保健,也是一种生活态度,就让我们带着一口健康的牙齿相约80岁共同啃玉米吧!


