口腔常见十大疾病,你真得都了解吗?
我们都知道良好的口腔卫生习惯有助于预防龋病、牙龈炎等,但你知道这些疾病的真正表现及其对口腔的影响吗?下面这些图片有助你了解一些常见的口腔健康问题,平时需要留意的症状以及治疗方法。
请注意:此内容仅供参考。只有口腔医师、内科医师或其他有资格的医疗保健专业人士才能作出诊断。
唇疱疹(单纯疱疹)Vol.01

唇疱疹是一种充满液体的水泡,突发于嘴唇、鼻下或下颌附近,由单纯疱疹病毒1型引起。患上后很可能再次复发。传染性极强,从第一次感觉到症状(如嘴唇发痒或刺痛)到完全康复,都能传染他人。
唇疱疹通常为红色、黄色或灰白色,一般在1~2周内自愈。口腔医师可以在爆发前几天开一些抗病毒药物,促进痊愈。一些非处方药有助于缓解疱疹引起的疼痛、瘙痒和烧灼感。
龋齿Vol.02

据美国疾病预防和控制中心(CDC)统计,美国有1/4的成年人患有未治疗的龋齿,某些时候,几乎每一个成年人都有龋齿
下列情况下,你可能患有龋病:牙痛、食物嵌塞、舌头感觉到牙齿粗糙、吃冷或甜食时感到疼痛。
根据龋齿的严重程度,可以采用充填、冠修复或根管治疗。如果龋损太大,或有神经损伤,有可能需要拔除牙齿。
为了减少患龋的风险,应每天刷牙两次,使用牙线一次,使用含氟牙膏,远离含糖的食物和饮料,定期看口腔医生。
牙齿断裂Vol.03

如果经常嘎嘣嘎嘣嚼一些坚硬的食物,像坚果或冰块,磨牙或嘴部穿刺,那么牙齿断裂的风险将升高。如果牙齿缺损的量较多,还可能会感到疼痛。用舌头沿着牙齿舔一圈,可能会发现牙齿边缘粗糙。
如果发生上述情况,记得看医生。小的缺损可以处理得比较平滑,大的缺损可以用与牙齿颜色相近的充填物,贴面或冠来帮助修复牙齿,重塑微笑。
磨牙Vol.04

磨牙最有可能发生在睡觉的时候,但是如果你感觉紧张、有压力,新的充填体或冠高于其余牙齿,或者咬合异常,则随时可能发生。
长时间磨牙后,牙齿表面会被磨损。还可能出现牙痛、头部或耳朵隐痛、下颌疼痛【颞下颌关节(TMJ)疼痛等】。牙冠外层覆盖的白色釉质被磨掉后,牙齿可能会显得更黄。
口腔医师定制的防护牙托,可以在睡眠时保护牙齿,矫正咬合问题。如果磨牙是由压力引起的,找到一种放松的方法。冥想、心理咨询和锻炼可以帮助减轻压力和焦虑(以及磨牙的可能性)。
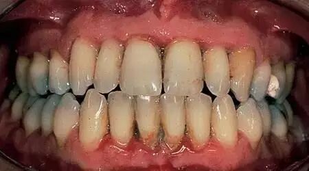
牙龈炎Vol.05

牙龈炎是牙周病的最早阶段,是由牙菌斑引起的牙齿周围组织感染。如果患有牙龈炎,牙龈会变得红、肿、易出血,还可能会有口臭。牙周疾病通常是不痛的,很多人可能不知道自己患病。
如果偷懒不刷牙、不使用牙线、吸烟、牙齿不齐很难清洁、怀孕、有糖尿病或服用某些药物,则更可能患牙周病。在其早期阶段,牙周疾病是可逆的,牙龈可通过口腔医生的专业清洗、日常刷牙和使用牙线而恢复健康。
牙周炎Vol.06

牙周炎是牙周病的更高级形式,是成年人牙齿缺失的主要原因之一。据CDC统计,近一半的美国成年人患有牙周炎。虽然牙周炎早期阶段可以逆转,但拖着不治疗的时间越长,损害可能越永久。虽然牙周炎平常可能感觉不到,但一旦发生脓肿,通常会非常疼痛。
牙周炎的症状包括出血、牙龈肿胀、持续性口臭或口味差,恒牙松动以及咬合改变。随着牙龈和牙槽骨萎缩,牙齿可能会看起来更长。
治疗方法有许多,包括刮治和根面平整等深部清洁。与口腔医生交流,让他给你制定最适合的治疗方案。
鹅口疮Vol.07

鹅口疮是一种真菌感染,看起来像口腔中的白色薄膜。如果患有影响免疫系统的疾病,则患鹅口疮的可能性更大,包括HIV感染/艾滋病、癌症以及使用类固醇药物治疗哮喘等。未治疗或未控制血糖的糖尿病患者也易感染,因为唾液中的糖会促进真菌生长。鹅口疮在戴假牙的人中也很常见。
如果出现鹅口疮症状,马上看口腔医生。医生通过刮拭确诊后,可以通过一些药物来清除它。
牙齿变暗、发黑Vol.08

牙齿外伤后颜色改变可能有两点原因:要么是为了保护神经,要么是已经死了。
如果是保护神经,牙齿可能比邻牙看起来暗一点。如果像挫伤一样改变颜色(从粉红到灰白),意味着牙齿很有可能死亡,可能需要根管治疗后冠修复治疗。在某些情况下,可能需要拔除牙齿。如果是乳牙,可以不用管,直到脱落。
口腔溃疡Vol.09

口腔溃疡是出现在嘴唇、喉后或舌底的小的、白色或灰色的溃疡,边缘红色。溃疡的确切病因不清楚,有些人认为,免疫系统问题、细菌或病毒可能起作用。女性更易发生口腔溃疡。
口腔溃疡没有传染性,通常1~2周后自愈。非处方药膏和漱口水可以暂时缓解。在痊愈前,远离热、辛辣或酸性的食物,因为这些可能会刺激溃疡。
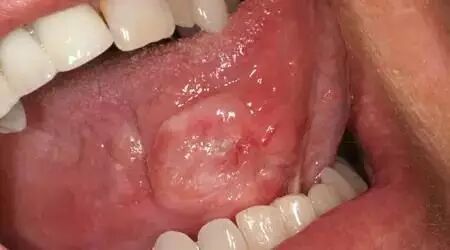
癌症Vol.10

每年大约有40000例确诊的口腔癌、喉癌、扁桃体或舌根部癌症新发病例。吸烟、酗酒和人乳头瘤病毒(HPV)感染都会增加患癌风险。男性患口腔癌的风险比女性高两倍。
在定期检查时,医生会检查口腔中有没有红色或白色斑块、无法痊愈的溃疡以及粗糙、硬实的斑点。如果有任何可疑症状,口腔医生可能会进行更多测试或推荐专科治疗。上面这张图只是口腔癌可能的一种表现

