这孩子一口好牙,定是来自富贵家庭
《太阳帝国》有一句台词:“这孩子一口好牙,定是来自富贵家庭”,牙齿成了反映生活水平的一个标准。
可在中国,60%的人从来没看过牙医,往往60岁以后牙齿闹危机才重视保养。
说到孩子的牙齿,九成家长表示:
“想让孩子刷牙,太难了!!”
“才两岁就蛀牙了怎么办啊???”
“五岁的孩子带去看牙根本不配合啊??”......要不放弃吧!

孩子就是孩子,给孩子刷牙着实是一件考验耐心又头疼不起来的事情。
他们不太懂为什么要刷牙,也不懂蛀牙哪里可怕,不能集中注意力每天乖乖听话,甚至还不能精确的操控牙刷柄,听到要看医生也是各种未知的害怕~~~
怎么办,家长要教啊!孩子牙齿好不好,拼的是爹妈的本事!不仅要勤刷牙,还要刷对牙。

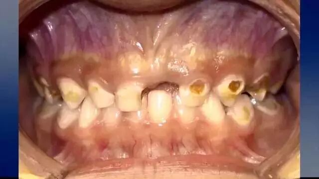
一般来说,蛀牙(龋齿),是孩子牙齿健康的头号魔头
据国家卫计委2017年发布的第四次全国口腔健康流行病学调查结果显示,5岁儿童乳牙龋患率为70.9%,低于全球平均水平,还比十年前上升了5.8个百分点。

孩子蛀牙了,不能全部归罪于“吃糖”。
口腔中残留的糖最容易被细菌分解发酵,产生酸性物质,破坏牙齿!所以严谨来说,吃糖蛀牙的正确说法应该是“吃了糖如果不及时刷牙,容易蛀牙”。
看,刷牙多重要~
接下来是我更想说的,绝大多数给孩子刷牙的情况,都这样:

大都是因为在保护孩子牙齿上束手无策,生无可恋的追刷。
所以你要放弃了吗,刷牙刷不好等于没刷,你更愿意现在扮演严厉监督孩子刷牙的家长,还是等孩子长蛀牙了再花钱治疗?
so,这是一篇值得收藏的孩子口腔日常护理大全!
长大以后,他一定会很感激你!
1、从什么时候开始需要刷牙?
从萌出第一颗牙齿开始,就应该给孩子刷牙了。事实上,在牙齿还没有萌出之前,就可以用湿的软布为宝宝清洁口腔。
在孩子1岁时,应该带去看牙医做口腔检查。美国国家疾病防控中心的报告指出,如果孩子在5岁之前就开始看牙医,那么五年内牙齿护理的开支要节省大约40%。
牙齿萌出后,就应该使用婴儿牙刷和含氟牙膏每天为宝宝刷牙两次。

如果长出两颗牙齿,并且相互接触,就要开始使用牙线了(牙线的使用方法要向牙医咨询,有麻麻也会有牙线会把牙缝弄大的疑虑,这其实是误区)。临睡前要刷牙并且用牙线来清洁牙齿。
直到第二天早上,除了喝水之外,不要再吃任何食物,喝任何饮料。
2、刷牙一般要刷多久?
美国牙科协会规定,家长帮助孩子至少要刷2分钟才能达到最基本的清洁目的。对于刚开始刷牙的孩子或者不合作的孩子,少刷也比不刷强,不需要勉强刷到2分钟。从短到长慢慢延长刷牙时间即可。
3、怎么给孩子刷牙?(附视频)
出生后,爸妈可以用湿纱布包裹自己的食指,帮宝宝清洁口腔、按摩牙床。也可以用湿的软毛牙刷或指套牙刷轻轻刷洗。这个过程一直持续到宝宝长牙。

第二个阶段,爸妈可以让孩子躺在自己的腿上,帮助孩子刷牙。孩子2-3岁时,就有意愿自己动手刷牙了(甚至更早)。
可是要完全独立地刷牙,可能要等到7岁以后,甚至9-10岁。“当孩子可以自己绑鞋带和写字的时候,他们就可以自己刷牙了。”
爸妈记得,要帮助孩子刷牙早晚各一次。不过,大部分孩子都不喜欢刷牙。
不过爸妈不可以随便妥协,有耐心、和颜悦色,但要让他们知道这不是一个能选择和讨价还价的事情。

爸妈可以在刷牙时让孩子手里拿着喜欢的玩具,听喜欢的歌曲,看喜欢的动画片。
下面的视频就详解了如何为宝宝刷牙:第一部分是配合的大孩子,第二部分是不配合的小宝宝。
如果宝宝牙龈会流血,那更是牙龈不健康的表现,尤其需要仔细刷牙龈!牙龈不健康的话,不光会有口气,还会肿痛发炎哦!

可能有的妈妈会说,孩子很抵触刷牙,胡乱刷一下还大哭大闹啊,这么仔细刷那不是哭背过气去了……
那就想想办法嘛,唱个歌儿啊,念个童谣啊,发出奇怪的声音逗一逗啊,实在不行放个两分钟的小视频,也是可以接受的呀!
如果你还是觉得很难坚持的话,就只能这样了:


这一点都不夸张,孩子的牙比大人的牙脆弱,一旦真正发展成龋齿,那烂得可快着呐!到时候娃哭起来,那可跟抵抗刷牙不是一个级别的啊!
在看看这绑着看牙的小朋友,你就要谢天谢地他还没有蛀牙了。
除了认真刷牙外,涂氟与窝沟封闭也是预防龋齿的有效手段。
1.氟化物是如何保护牙齿的?
氟化物是一种天然的防龋物,合理用氟可以对牙齿起保护作用:
A. 促进牙齿再矿化,加速牙齿自我修复。
B. 增加釉质的抗酸性。氟可以和牙齿表面形成氟磷灰石,而氟磷灰石能增强牙齿的抗酸性。
C. 抑制细菌产酸。
2.什么是涂氟?
根据美国儿科协会AAP指南,从孩子牙齿萌出,就可以开始定期涂氟了。
3.涂氟应该多久做一次?
临床指南建议儿童每年至少进行两次涂氟治疗,但个体情况存在差异,涂氟的频率最好由齿科医生检查后,根据孩子的患龋风险来决定。

1.什么是窝沟封闭?
窝沟封闭则是将窝沟封闭材料涂在牙齿窝沟里,让它流入、渗透后固化变硬,形成一层保护性的屏障,阻止食物残渣、细菌等的侵入,以达到预防龋齿的效果。

2、什么时候该做窝沟封闭?
有的家长可能会问:乳牙也要做窝沟封闭吗?答案是肯定的,乳牙从生长到脱落,大概要在口腔内存留 6~10 年,这一阶段正是儿童生长发育最重要的时期,所以乳牙的健康对孩子有重要意义。
乳牙窝沟封闭最佳年龄是3岁左右,第一恒磨牙的窝沟封闭最佳年龄是6-8岁,第二恒磨牙的窝沟封闭最佳年龄是12-14岁。
3.做了窝沟封闭还需要涂氟吗?
两者并不矛盾,对于患龋风险高容易蛀牙的孩子,即使做了窝沟封闭,也需要定期进行涂氟,给牙齿双重保障。
长第一颗牙齿,就要刷牙;
教小孩子刷牙这件事,着实难搞~但是不能偷懒,小心牙齿蛀掉,每天两次刷牙,每次刷够三分钟,姿势要正!
小朋友爱看绘本,记得要买一本关于牙齿的;
你要以身作则。让孩子在很小的时候就看你是如何清洁牙齿的;
一岁时,选择一个风和日丽的美美的日子,去拜访下牙医,这样以后就不会害怕啦;
小孩子刷牙不认真,家长要每天检查监督;
<end>

