比起牙冠,或许瓷贴面更适合你!
说起牙齿美容,大多数人的观念还停留在烤瓷牙时代,也就是牙冠。但其实现在有一种更加“轻量级”的美牙技术——瓷贴面。
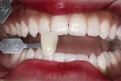
贴面是采用粘结技术,对牙齿表面缺损、着色牙、变色牙和畸形牙等,在保存活髓、少磨牙或不磨牙的情况下,用修复材料直接或间接粘结覆盖,以恢复牙体正常形态和改善其色泽的一种修复方法。
瓷贴面美牙,优在哪里?
01
更安全
与全冠即俗称的烤瓷牙、全瓷牙相比,瓷贴面磨除牙体组织少,有些情况下甚至不需要磨除牙体组织,更不会伤及牙髓,可以保持天然牙齿长期的健康。
02
更美观
仿真效果好。瓷贴面仿真的美容效果,具有与天然牙体组织相同的光学特质,不含有金属成分,具有美学效果。
在进行贴面治疗前, 会先对患者牙齿进行比色,再选择色度适宜的瓷块,同时外染色。临床粘接时,多种不同深浅颜色的粘接剂和白色遮色剂,均可以用来辅助调整瓷贴面的颜色,以达到整体协调的美容效果。
03
更健康
对牙龈刺激小。瓷贴面具有很好的透光性,牙体预备时可以平齐牙龈即可,这样有利于保护牙龈及制取印模和粘结瓷片。与牙龈相衔接的区域也仅在唇侧,对牙龈的刺激更小。
04
更舒适
无口腔异物感。瓷贴面修复基本不需要磨切牙齿的舌侧部分,可以保存大部分甚至全部舌侧的形态,有效地保护了对颌牙。
同时,舌头接触到的仍然是未被破坏的天然牙齿,触觉自然、舒适,避免舌头与传统烤瓷牙接触时的“异物感”。
我适合做牙齿瓷贴面吗?
瓷贴面,以其既能改善牙齿颜色,又能修整牙齿形状的特点,适应症非常广泛!
有以下症状的市民,都可尝试进行瓷贴面修复:
1、形态异常牙、牙釉质发育不良、过小牙等;
2、中、重度四环素牙、氟斑牙等;
3、龋蚀致切端缺损,或牙体表面浅在性大范围龋蚀;
4、牙缝稀疏或牙齿轻度歪扭,不想做矫正但咬合正常的牙齿;
5、药物性变色牙;
6、牙齿有裂纹、残缺、坑洞的严重个例。


