笑不露齿,其实并不是因为害羞……

现如今


又有各式各样的聚会了~


而此时


自然少不了各种自拍合照了


但!是!


从小到大,我都是一个笑不露齿的宝宝

有时候还要捂着嘴做娇羞状


你以为我真的娇羞了吗?

其实我是


因为牙齿太黄了!!


不敢对镜头露出自信笑容……

牙齿不美观


不仅影响我们的容貌,


更会对我们自信心造成极大的影响。


不少人为自己牙齿泛黄的问题感到苦恼……

俗话说


“貌美牙为先,齿白七分俏”,


现在越来越多的人开始寻求美牙方法,


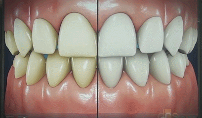
目前流行的“冷光美白技术”


是大部分人的选择!

冷光美白,不仅可以去除牙齿表面的色素沉积,同时可进入牙齿深层,达到脱色的效果。且对牙齿结构及珐琅质不会造成任何伤害,操作过程仅需30分钟,无副作用,美白效果可维持两年以上。


根据临床实验表明,使用冷光牙齿美白技术,其效果可提高5-14个vita色阶,是公认的目前最有效及最安全的牙齿脱色美白技术。


但还是有很多人对牙齿的美白,存在一定的认识误区与心理障碍,想做又不敢做,结果白白浪费了最佳的治疗时机,留下不可挽回的遗憾。

那么,冷光美白到底怎么做呢?


冷光美白具体步骤详解


第一步:涂抹牙龈保护剂


使用光固化树脂牙龈保护剂,将牙龈边缘彻底封闭,充分保护牙龈。

第二步:凝胶固化


​通过特殊光学处理,使凝胶快速固化!

​第三步:涂抹美白凝胶


在牙齿表面均匀涂抹美白凝胶,美白剂的主要成分过氧化氢,安全使用在牙齿脱色上已有数十年之久。

第四步、冷光照射


使用冷光牙齿美白仪,每次光照12分钟左右,每疗程共照射3次。另外,也会根据牙齿变色的原因、患者对牙齿的美白要求以及牙齿在照光过程中的舒适度,酌情调整光照时间及次数。

第五步:清理牙齿表面残留

​第六步:美牙完成


整个过程仅需30分钟,可提高5-14个vita色阶。

​冷光美白适合人群


1.外源性色素粘染(烟渍、咖啡、可乐等);


2.内源性色素沉着(四环素牙、氟斑牙等,效果欠佳);


3.先天性色泽不均,以及诱因不明引发的齿面黑黄色变等;


4.随着年龄的增长,牙齿变黄。

迷人的笑容


自信的谈吐


独特的气质


都需要一口洁白的牙齿

微笑是人与人之间最好的语言,


笑容是世界上最美的符号


愿你拥有一口好牙


自信笑容,让生活更美好!


上一篇:美颜先美牙,牙齿亮白才能更自信!
下一篇:牙黄不敢笑?没事,有它在!