戴上口罩,挡住了我的“尴尬”......

一场疫情,让全民开启了口罩时刻,你一瞧我一瞅,万千感情尽在双眼中。
口罩,不仅为我们阻隔了病毒,其实还有很多意想不到的好处,比如终于没人可以看见你的牙齿——
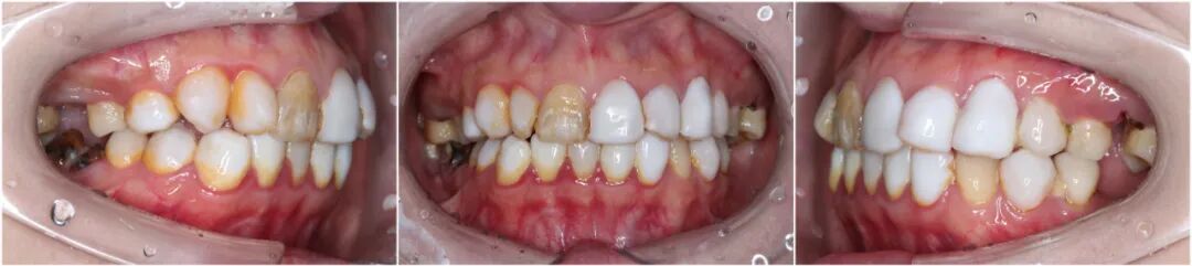
不太整齐、又有点泛黄 的牙齿。
普通美容冠难救缺陷牙

有的朋友天生一口氟斑牙或者色素牙,很容易被人误会是对牙齿的爱护不够,个人卫生习惯不好。

而且,这些牙齿通常都大大的降低了个人形象,都会让人觉得非常苦恼,恨不得把这些牙齿都给拔了。



牙齿肯定是不能随便拔的,拔了还容易因为缺牙造成面容凹陷。

一般来说,严重的氟斑牙和色素牙都是做美容冠来修复的,但是一般的美容冠都有比较明显的缺点:


· 不是特别耐磨。


· 色泽对比真牙太白,显得很不自然。


· 有的美容冠里面有金属离子,会让周围牙龈变黑。




(普通金属牙冠)


美容冠的危害,就连刘涛也曾经深受其害,用自己的血泪史为大家避雷:



(图片来源:刘涛微博)

瓷贴面:保护牙齿+修复美牙 



想解决氟斑牙、色素牙等一系列牙齿烦恼,只能做牙冠吗?

近年来,作为一种保存性修复治疗的手段,瓷贴面技术走进现代口腔治疗,并已广泛应用与临床,尤其是前牙美学修复中。

口腔课堂:瓷贴面

瓷贴面修复,是通过磨去牙齿表面的0.2-0.5mm厚度,然后将制作好的贴面粘接到牙齿上,从而达到改变牙齿的颜色和形态,获得美观牙齿的效果,也被称为美牙届的“隐形眼镜”。


相比普通牙冠及树脂贴面,瓷贴面具有 极好的透光性,仿真效果好。

而且 只需磨除极少牙体组织 ,可尽可能保存牙体组织,不需要杀神经,基本上就控制了术后牙髓炎症、坏死等全冠修复后遗症的发生,可以保持天然牙齿长期健康。

(名模小丹通过贴面修复一口美牙)
若不想摘下口罩后

“尴尬”重新找上门

那就赶紧行动起来吧

找回自己的美牙,找回自己的自信!

要趁早哦~


上一篇:有了瓷贴面,我的笑容一样可以很美!
下一篇:明星都钟爱的“牙贴面”,到底有什么魅力?