明星都钟爱的“牙贴面”,到底有什么魅力?
好看吗?
树脂贴面:
早期釉质龋、正畸后牙齿脱矿、轻度氟斑牙者。
瓷贴面:
漂白效果不佳的牙变色,如重度四环素牙、前牙重度磨耗致牙本质暴露着色。
总的来说,就是牙齿变色不好看,做个白白的贴面挡一下达到美白功效。
当然,瓷贴面修复可不仅仅是美白,还可以应用于:
要求改形的恒牙,如锥形牙▼
而瓷贴面与树脂贴面相比,色泽好,形态好,接近真牙,是治疗牙体缺损、牙列缺失的主要方法。
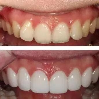
▲牙齿及充填材料着色,瓷贴面效果
瓷贴面的最大优势,是没有改变牙齿的舌腭侧形态。超薄贴面,甚至能做到无需磨牙或微磨牙,不需要杀神经,尽可能的保存天然牙的牙体组织。
瓷贴面不含有任何金属成分,由模仿天然牙的材料制成,结合光学性能的特点,显得非常自然逼真。

