美白牙齿一次,最高能保持8年以上,来了解下!
照照镜子看看牙,你有没有曾被人嫌弃过牙齿黄?有没有过怕影响形象不敢随意张口?唇红色加上发黄的牙,简直就是西红柿炒鸡蛋!今天让我们来聊聊牙齿美白~
更简洁高效的
牙齿美白
很多人都误以为冷光美白的意思就是“光是冷的”,其实它只是相对温度较低的光源,冷光美白机就像一个给美白剂加热的“大台灯”,它不仅会在美白作业过程中使牙齿较大程度地脱水,也会让你感觉“好像没有昨天刚做完那么白了。”

目前,更多主流牙医更加青睐于用不需要任何光照的美白剂,摒弃了美白领域用了几十年的“大台灯”。活化的40%过氧化氢能方便地通过输送器递送并放置美白凝胶进行美白。而独特的PF配方增强釉质结构,不仅降低牙敏感,更可以预防龋齿。
01
案例一
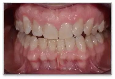
患者: 男,40岁
病史:幼年时服食了四环素,引起轻度四环素牙,没有禁忌症。








02
案例二
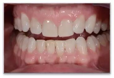
患者:女,28岁
病史:前牙严重的牙齿着色和缺损十余年,重度氟斑牙。








看了上面2个案例,是不是感觉这样的美白方式更高效、便捷呢?
问
这种美白方式与传统冷光美白的区别?
答
1.适应症
适应症广泛:重中轻度的四环素牙,氟斑牙,黄牙,灰牙,牙色异常等等。
传统需光照美白:一般黄牙,牙色异常。
2.牙齿美白效果
色泽:健康白,自然洁白,富光泽、透明感强。
传统需光照美白:牙齿脱水后的钙化白,亮白,一般光泽。
3.口腔保护
美白剂:好。含专利PF配方,能增强牙釉质结果,降低牙敏感,预防龋齿。容易看到的红色凝胶,易于去除。
传统需光照美白:较好,但酸疼感较强烈。
4.损伤
美白剂:无光照,无损伤。
传统需光照美白:减低16%的牙髓活力。
5.舒适度
美白剂:适宜。治疗灵活,有各种浓度,口味的牙齿美白产品。
传统需光照美白:低。
6.酸疼期
美白剂:无,因为含有20%水量。
传统需光照美白:3~5天,光照使牙齿脱水,酸疼期较长。
7.维持时间
美白剂:3-5年,甚至达8年以上。PF配方可以防止脱水和牙齿再次着色。
传统需光照美白:1-2年。
-END-
▼ 点击下面咨询了解更多相关内容 ▼

