小孩子磕磕碰碰,牙外伤怎么办?
最新流行病学调查资料显示,学龄期儿童牙外伤的发生率为5.3%~21%,其牙外伤发生高峰为7~12 岁。
牙外伤多发生于上颌中切牙,且男童发生率较女童高。
引起牙外伤的主要原因是跌倒、碰撞、咀嚼硬物、外力直接撞击或交通意外,而上颌前突、上唇过短、唇无力、张口呼吸等则是牙外伤的敏感因素。
成人的病因较多为运动和交通事故,儿童多为学步和校园意外。
1.牙外伤类型复杂,其中恒牙中牙折最常见,而牙脱位常见于乳牙外伤。
2.损伤累及多种组织,可能伴发牙髓牙周损伤,影响牙根的正常发育,甚至导致牙齿丧失,不仅会影响儿童的咀嚼、美观、发音,还会影响其牙颌面发育与心理健康。

•不要让儿童在没有保护的情况下使用溜冰鞋;
•在玩耍时不要用重物敲打他们的牙齿,要照顾好自己与朋友的牙齿;
•提防可能会被绊倒的障碍物;
•玩闹时请勿推动对方;
•保持坐在秋千上,在秋千运动时不要跳下;
•从游泳池出来时,请走泳池梯子;
如果孩子参加足球、篮球、橄榄球,骑自行车,冬季运动(即滑雪),滑板或任何可能对面部造成潜在创伤的活动,请确保孩子使用头盔或护口器(mouthguard)。
必须在事故发生后立即看牙医!及时有效的治疗措施有很多优点:
1、保存牙髓活力的可能性更大
2、将采取保守治疗措施
3、预后较好
4、避免了将来的并发症和高成本的治疗
精确诊断、规范化治疗和应急处理对牙齿创伤性损伤是至关重要的。
当外伤导致牙齿脱落发生时,第一件该做的事情就是检查孩子掉了的是哪颗牙齿,及时找回脱落的牙齿,使用合理的保存方法,即时就诊。
•找到牙齿。握住牙齿的牙冠(白色部分),而不要握住牙根(黄色部分)。
•如果牙齿存在污染,请用冷水冲洗一下,然后将牙齿放回(牙槽窝)原位。这可以由儿童或成人来完成。
•将牙齿固定到位。咬手帕以将其固定在位,并立即去看牙医。
•如果您无法放回牙齿,请将其放入一杯(冷)牛奶或生理盐水中。当没有牛奶或生理盐水时,将牙齿放在孩子的嘴里(在脸颊和牙龈之间)。
•立即寻求专业的牙科治疗。

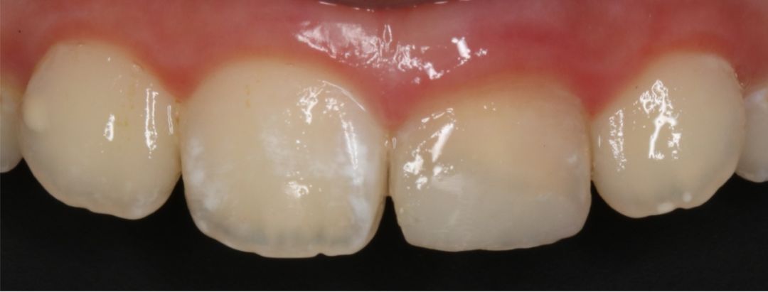
治疗前

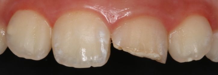
治疗后
牙外伤的并发症不一定会立即出现,往往发生在外伤后几个月甚至几年,因此需要长期随访观察。

牙外伤的预后受多重因素影响,但良好的口腔卫生在愈合期间是绝对必要的,需要帮助孩子掌握菌斑控制方法。
值得注意的是,儿童处于生长发育过程中,牙、牙髓、牙列、牙槽骨未发育完全,治疗存在特殊性。
口腔医生会根据儿童的牙髓牙周组织的状态,从生物、功能和美学的角度全面评估,选择个体化的治疗方案,进行综合序列治疗。
医生提醒:
不论发生何种牙外伤,都建议第一时间去专业的口腔医疗机构就诊,将专业的问题交给专业的医生。相信时间就是愈合力!
完整图解来啦![]()


