【科普】牙齿出现白点,竟是蛀牙的“信号”!
不知道你身边有没有这样的现象,比如,孩子枕秃了,给孩子补钙;孩子睡不好,给孩子补钙......甚至孩子牙齿不好,也要补钙~
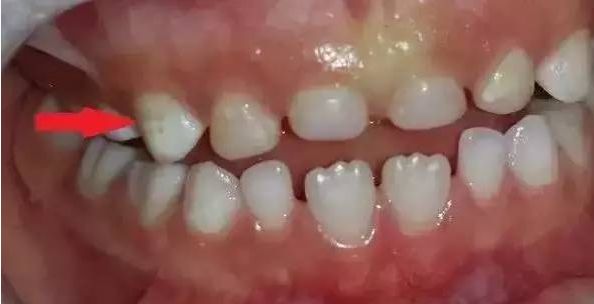
虽然,钙对于孩子的身体成长作用真的非常大,但是,钙不能乱补。就比如说孩子牙齿出现白色斑点,很多家长就觉得孩子可能缺钙,要补钙!其实孩子牙齿出现白斑并非缺钙,而是牙齿脱矿!


为什么牙齿会脱矿而产生白斑?
牙齿表面的最外一层是牙釉质,当我们的牙齿没有及时清洁干净,牙菌斑就会在牙齿表面堆积。
当我们吃东西的时候,食物里面所含的糖分遇上牙菌斑里的细菌,细菌简直是因喜若狂。因为细菌可以利用糖来释放侵蚀牙齿的物质——酸,这些酸会使牙釉质脱矿。也有很多人把脱矿称之为脱钙,因为在这个脱矿的过程中,牙釉质的钙离子会流失。

因为牙釉质中的钙离子减少了,牙齿表面的色泽就变成了像白色粉笔状的色斑(白琧),也就是我们俗称的白斑。
我们从牙齿表面看白斑,只是颜色有变化。但在显微镜下观察,牙齿的表面下方已经在偷偷改变了坚实的结构(牙釉质的结晶——羟基磷灰石的溶出),这是牙齿发生蛀牙的噩梦起源。
所以,牙齿的脱矿(脱钙)并不是因为孩子缺钙而造成的,而是因为牙齿没有得到清洁,被糖与细菌的共同侵蚀所带来的后果。至于孩子有没有缺钙,光凭牙齿是不能作出准确判断的,得让医生来检查判断。

牙齿脱矿产生白斑,有什么后果呢?
牙齿脱矿是其实是肉眼所能见到的最小的龋病状态,是龋齿的前兆。牙齿表面就像城墙一样,如果出现了破损,那么细菌就很轻易的攻破城门,破坏牙齿的结构了。牙齿出现脱矿后,如果处理不好,就很容易发展成龋齿。

轻度脱矿是可逆的,早期脱矿只是牙齿颜色的改变,形态没有缺损。通过一些医学上的修护处理,脱矿情况可以得到抑制,牙齿也能恢复健康。而龋齿是不可逆的,一旦牙齿出现了龋齿,那么就只能修补或拔除,牙齿再也不能恢复自然健康了。

牙齿脱矿该怎么办?
当我们看到孩子牙齿表面有白斑出现,一定要及时带孩子看医生,进行及时处理:
1、牙齿涂氟:
就是用一种含氟的物质,对每一颗牙齿表面进行氟化处理,氟化物是一种能使牙齿重新矿化,从而变得坚硬、不容易被酸腐蚀的物质,因此牙齿涂氟能够对早期牙齿脱矿问题进行有效修复。
儿童最好从3~4岁开始,每半年涂一次,直到12岁左右。建议每隔3个月、6个月,或1年复查。

2、注意保持口腔卫生:
特别是在饭后的时候,应清洁口腔,适量使用含氟牙膏刷牙,至少也要进行饭后漱口,将残留在牙齿间隙的残留物及时清理出去,以免对牙齿造成侵蚀。
3、定期看牙医,及时了解口腔状况:
尤其对于儿童,宝爸宝妈可以尽早发现孩子口腔状况,做好预防治疗措施。对于3岁以上的宝贝,可以进行窝沟封闭和全口涂氟,有效保护宝贝的牙齿,预防龋齿。

牙齿的治疗,远比你想象中的复杂。当牙齿出了问题时,不能光听那些所谓的“经验”,正确的做法应该是及!时!看!医!生!


