烤瓷牙,该做?还是不该做?
据初略不完全统计,中国每年有上千万颗烤瓷牙被戴入患者口中,市场额保守估计约数百亿元。当前,中国的缺牙患者,只要走进牙科,经过来回几次折腾,大概率是要戴几颗烤瓷牙出来的。烤瓷修复的方式,如果说它不合规,那是冤枉,口腔医学教材上都有全面系列教学。如果说它很好,那也不确切,它非常突出的弊端日益显现。
那么,烤瓷牙,到底是个什么东东,对于口腔健康,它扮演着什么角色,本文将以专业的视角,循证的理念,科普的态度,无偏倚地把烤瓷牙的前世今生扒拉一下,希望能给中国的牙病患者一份诀择前的掂量与深思。
烤瓷牙,从上世纪八九十年代开始进入中国口腔医学领域,弥补了银汞合金,塑料桩冠,活动义齿等等传统修复方式的美学或便利上的缺陷,渐渐获得中国牙医的头号青睐。
临床上大部分烤瓷牙的制备,是建立在把牙齿磨小的基础上,再套上一个完整的牙冠进行修复,牙冠即烤瓷牙,由加工厂制作,依材质不同可有金属烤瓷牙,全瓷牙之分。


关于烤瓷牙材质的优劣选择不是本文的重点,毕竟不同材质只影响光泽,透明度,美观等等细节,而烤瓷牙该做,还是不该做,什么情况下做,却是更关键的核心,因为不同的选择带来的是健康与生活质量的差异,而有些影响,可能会伴随终身。
我之所以这么说,是长期在“烤瓷牙吧”和“烤瓷吧”等等贴吧里面深切体会了大量患者的倾诉,多数是年轻人,那种欲哭无泪或歇斯底里,生不如死抑郁寡欢,对生活对自身完全失去信心的绝望,以及在临床上每每拆除某些不良烤瓷修复体后残留的惨不忍睹的牙床,无数个揪心的病例,都让我意识到,必须进行一次深度科普,让大家全方位地了解烤瓷牙,才能有针对性地选择与取舍。
首先,谈谈极为常见的缺牙修复方式——烤瓷桥。烤瓷桥曾经热到什么程度,宋丹丹在1999年春晚就那句“准备把俩门牙装上,装个好的,烤瓷的”,相当于给全国人民普及了观念——镶牙就镶烤瓷牙,又高级又时尚。那么,这种烤瓷牙是怎么个镶法呢?简单而言,就是把缺牙区两侧的正常牙磨小些,形成桥基,再套上牙冠和桥体连为一体的烤瓷桥修复体。再简单说,缺一颗牙就要磨两颗好牙,戴三颗牙进行修复。下图仅作示例:


烤瓷桥在口腔医学上属于固定义齿(固定桥)的一种,它相对于传统的活动义齿修复有非常显著的优势,比如,便利性好,不用每天摘戴,色泽佳且稳定不变色,没有异物感,咀嚼功能强等等,但是,它同时也有显著的缺点,即正常牙被磨小后潜在的急性或慢性牙髓刺激症状,并不完全可控的长期并发症,牙髓源感染和根尖周病变造成后期处理的难度,一旦出问题就累及三颗牙的尴尬境地,拆冠或拔牙后继续磨更多的牙做更长的桥形成恶性循环。
烤瓷桥,虽然也有完好使用15年甚至20年以上的病例,但并不常见,这种镶牙方式是建立在对天然牙最宝贵的釉质和牙本质的破坏基础之上,任何一位牙医,就算严格按教科书规范进行磨牙,也根本无法预料什么时候就牙髓炎了,什么时候就牙龈瘘管了(流脓),什么时间就得拆除了。
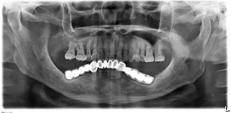
那么,除了烤瓷桥,就没有更好的修复方式吗?我可以非常认真而肯定地回答:有。那就是种植牙!种植牙在近十年以来因其技术成熟稳定已经被口腔医学界公认应作为常规缺牙的首选修复方案,成为继乳牙,恒牙过后的“人类第三副牙齿”,并且已经在多数公立医院和牙科诊所相继开展。种植牙原理是通过手术方式在缺牙区牙槽骨植入人工牙根(纯钛),待其与牙槽骨融合后在上部接牙冠(也是烤瓷冠)进行修复,对相邻的天然牙完全无伤害,视频示意如下:
国外有一个视频,关于烤瓷桥和种植牙的比较,是非常形象的科普,虽然这种转归并没有必然性,但基本反应了很多临床问题,大家体会一下。
对烤瓷桥,我们应保持理性看待,医学是不断向前发展的,十年前甚至七八年前,中国从事口腔修复的牙医,基本上都做过烤瓷桥,我也不例外,而且都会告诉患者要磨小正常牙,能接受才可以做,对于不愿戴活动义齿的患者来说,在种植牙技术并不成熟或普及的那个年代,烤瓷桥是唯一的选择,自然也就成为主流修复方式,医生们也是将教科书上学到知识应用于临床,而并不是贴吧里面各种喷的“被牙医忽悠磨去了两颗好牙”。

而随着时间流逝烤瓷桥的问题渐渐显现,口腔大夫们也是在多年的临床观察中有了更多体会,口腔医学教材的方向也在更新,而现代医学区别于传统医学的,就是建立在新的技术不断淘汰旧的技术而推动医学进步,而这种淘汰机制,有多种因素制约其进程。
几十年前,氨基比林,安乃近作为退热药被广泛使用,因为副作用大,当今已被更安全的布洛芬取代,这种淘汰机制比较彻底,因为对医生而言只需要观念上的更新即可。而种植牙不同,它的两大硬伤限制了其临床普及速度,一是技术敏感性高,烤瓷桥对牙医的最低要求只需把牙磨小,较高要求是磨得规范,但总体要求并不高,而种植牙的技术准入标准和心脏支架置入术一样严格,需要医师完善的理论支撑和序列的手术操作实践,种植医师在牙科市场上是无庸质疑的香饽饽。
第二个硬伤是价格昂贵,每单颗种植牙收费在几千至几万元之间,而且不在医保报销范畴,各城市对种植牙普及有时间先后的差异,与各地居民的收入水平呈正相关,高昂的价格令相当一部分缺牙患者犹豫,既不愿戴极不美观舒适的活动义齿,又不想做烤瓷桥损伤正常牙,种植牙又贵,更不能缺牙,在无法选择的情况下,多数仍然会回到烤瓷桥上,所以,在中国现阶段,烤瓷桥仍然将在相当长一段时间内占据缺牙修复的半壁江山,那么我今天的重点之一来了,那就是医患沟通中的知情告知!
当前有这样的现象广泛存在:非种植医师,尤其是基层口腔医师,可能会尽量夸张种植牙的手术风险和疼痛反应(其实和拔牙差不多),将烤瓷桥的伤害轻描淡写,用一种并非客观的导向留下患者(否则可能转诊失去客户)而促成自己的一单烤瓷桥生意,误导了一部分经济条件尚可,有较高健康需求的患者作出了对其并不合理的选择(极少数骨质条件奇差不宜种植的患者则无可厚非),也就是说,表面上看,给了患者知情权和选择权,实质上,这种知情权却夹带私货。随着人们生活水平的提高和对口腔健康的长久规划与需求,对各种口腔修复的方式及优缺点有必要也有权利充分获取与权衡。
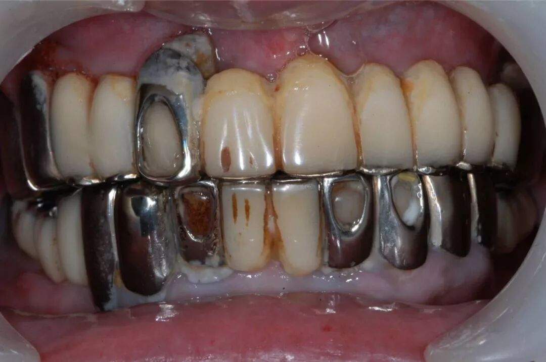
另外,烤瓷桥中的极品——“长江大桥”现象,则是普遍存在于中国各城市各基层牙科的不规范现象,与普通烤瓷桥不同,其本质是一种违反口腔生物力学原理的设计,其最常见的转归是全口牙报废,临床上很多先在基层做,两三年后去医院拆,对口腔健康的影响令人咂舌。













这样的病例实在太多,公立医院和部分高端民营口腔机构每年都要拆除很多例,后续治疗则费时费事费钱费脑筋,而且此类患者来源于社会各阶层,我见过的病例包括一些同事医生(非牙医)的父母,医生的健康意识不代表其家人,而你无法想象其中一例是拥有几百亿资产的企业家,医疗信息不对称应该是主要因素。
接下来再谈谈另一种不太与时俱进的烤瓷修复方式,即四环素牙和某些牙色不佳患者的全口烤瓷美容,同样的道理,十几年前因技术局限而造成相当部分患者被磨小了全口牙齿戴了烤瓷牙,以牺牲牙质的代价换取了阶段性的美观,后期乃至一辈子都在为不断出现的并发症而伤透脑筋。我们可以百度一下“明星做烤瓷牙”,百度虽说在涉及医疗的资讯上很不靠谱,但涉及明星的个人颜值信息搜索上却是相当全面。
全口牙磨小后是个什么状态,烤瓷以后又是什么效果,因人而异,但无论美观上做得多好,长期隐患如同不定时炸弹,多磨一颗牙就多一分风险。




这种全口烤瓷,以前的病例非常多,无论是公立医院还是私人诊所。但今天,微创的瓷贴面技术逐渐成熟,在理念上渐渐取代了烤瓷,可以达到磨牙量少(部分甚至完全不磨牙),对牙髓保护佳,美观自然的修复效果。


那么同样的矛盾是,全口烤瓷是否应该被瓷贴面彻底淘汰,答案依然是否定的,瓷贴面技术具有和种植牙几乎雷同的两个硬伤是制约其推广的壁垒,更不利的是,四环素牙等等类型病例量比缺牙者少,使瓷贴面技术的宣传与推广并不象种植牙那样深入人心,一些基层牙医甚至都不了解“超薄全瓷贴面”的技术流程和成熟度,依然还停留在“贴上去会脱落”的顽固印象中。
其实,随着现代牙体粘接技术的不断进步,瓷片脱落的发生率已经属于极低了。但从另一个角度讲,牙科治疗方案的选择有很强的个性化,从来都没有哪一种方案包治百病,某些既颜色欠佳,又排列欠佳,又伴缺损的复杂病例,则需要综合权衡各种修复方式的利弊而科学制定方案,知情告知,微创原则,风险把控,长期效果,心理预期等等都对医生的技术,沟通与人文情怀提出了更高要求。
如果说烤瓷桥和全口烤瓷美容修复只是一个时代的象征,本质上不是忽悠的话,那么,另一种烤瓷牙方式——“美容冠”,则是彻头彻尾的大忽悠!首先,无论口腔医学本科教材,专科教材还是研究生教材,都没有美容冠这一概念,医院和正规牙科诊所都没有这项业务,它是纯粹的商业包装的产物,只存在于美容院等等医美机构,一般都以“七天正牙美容冠”,“纳米仿生美容冠”等等诱人的字眼吸引患者尤其是女学生,其操作流程是将患者不整齐的牙齿磨小或齐牙龈截断,通过套上烤瓷牙或全瓷牙达到牙列整齐美观的效果。
这些患者本来可以接受矫正治疗,既不伤牙髓又不用戴假牙,可得到既健康又长久而且自然的美学效果,却被美容院那些全无口腔执业医师证的美容师们忽悠。美容师都是抓住患者嫌矫正太慢急于求美的心情,而避谈美容冠的各种弊端,最终坑了那些花季少女。而被忽悠的她们,也成为后期在网络上各贴吧烤瓷吧里对烤瓷牙声泪控诉的绝对主力,因各种并发症而到口腔科检查时那种“恨不相逢未治时”的哀怨声几乎从未绝于耳。


这种被美容冠伤害的患者,在中国可以说是不计其数!仅仅在贴吧逛一逛你会发现大量吐槽。
既然谈到美容院,就顺带提下她们的另一主打坑爹产品——3D炫彩浮雕牙,甚至还有4D/5D/6D纳米炫齿,6D美白齿雕等等,比TM的iphone升级还撩人,这玩意魔怔到什么地步呢,网上好多小姐姐们想做浮雕牙因不知到底选3D,4D,5D还是6D而纠结,让人不能不佩服医美市场的营销能力。关于这个产品,可以写一整篇文章,因为与烤瓷牙无关,我就不展开了,只说一下,口腔大夫最怕接诊来拆除这种浮雕牙的活,打磨费车针,可以拆得让你怀疑人生。
对美容冠或3D齿雕感兴趣的可以自己去百度一下,尽量直接跳过第一二页,虽然万恶百度为首,但多搜一搜兴许能发现专业信息,只是对于医学门外汉,对正反两种信息充斥的网络,未免倍感迷茫,所以,疾病找专业医生诊疗永远是最可靠的选择。对于牙科资讯来说,给大家一个小窍门,那就是越玄乎迷人的字眼,你越远离就对了。
附带啰嗦一句,切勿在美容院里洗牙,当心乙肝艾滋病交叉感染,因为洗牙涉及牙龈出血,那里的消毒,没有专业规范也没有监督!说到洗牙,又联想到那些网红力推的产品“美牙仪”,属于微商至爱,本人朋友圈里竟有十几个卖美牙仪的微商,比卖面膜的还多,淘宝一搜…

这个话题偏离烤瓷牙,不想多谈,只在专业领域提醒一下,美牙仪的确可以让牙变白,而且比医院快,它使用的是超医用浓度的强氧化剂,连牛仔裤都可以漂白,使用时无法严格隔离牙龈,后期的牙龈损害及萎缩概率很大,而超强氧化剂漂白的牙齿因脱矿而易脆裂,光泽度降低,冷热敏感性增强,毕竟牙釉质已经失去了一层保护,相当比例的人用美牙仪后牙齿出现剧烈酸痛。
其实我经常琢磨,为啥到处都有坑牙齿的存在,罕见坑眼晴坑耳朵的呢!只能说因为坑牙齿属于低风险高回报,大不了拔光,而坑眼晴坑耳朵,一弄就是个残废,搞不好就要进局子。丫的黑心商们贼机灵!
好了,回到烤瓷牙话题,大家看了这么多,是不是感觉烤瓷牙都是缺点呢?其实不然,有一种情况却是烤瓷牙的最佳适应症:根管治疗后的冠修复。根管治疗是国际公认的治疗牙痛(牙髓炎,根尖周炎)的最佳方法,是现代牙科最基础的治疗方法,根管治疗后的牙齿由于失去牙髓营养供应,脆性增大,抗折裂能力差,极易因咀嚼而崩裂,那么给它做一个烤瓷冠罩上,可以起很好的保护作用。
虽然也需要把牙齿磨小一些,但因为已经没有了牙髓,且根管治疗完善,后期没有牙髓源感染的隐患,与正常牙磨烤瓷桥不可同语,所以但磨无妨。当然部分病例也可以考虑嵌体修复,涉及更专业不在本文探讨。对于前牙折断露髓的患者进行根管治疗后再行桩冠修复也是一个非常正的适应征。



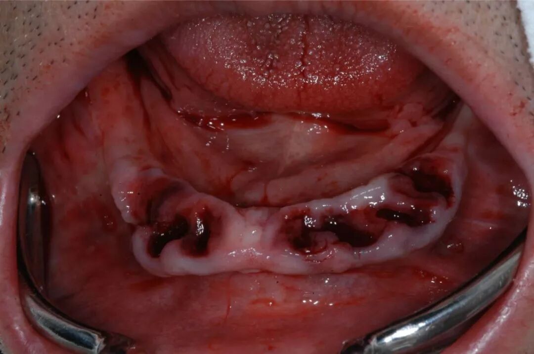
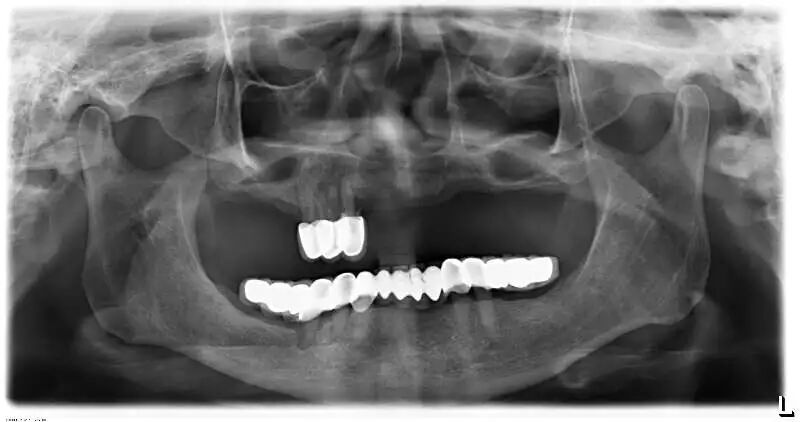
然而,中国的口腔医疗现状是,很多做完根管治疗的病人,就不愿做冠修复了,这里面的原因很多,有医患之间的不信任,或者百度搜到了烤瓷牙的负面信息,对磨牙齿的担忧及抗拒,因价格问题而揣摩医生的趋利意图,对牙齿健康的侥幸心理,不愿麻烦花时间复诊,甚至牙齿不痛就忘了此事,等等因素,不做冠修复,让失去保护的牙在口腔咀嚼中裸奔,崩裂的概率非常大,一旦裂开,只有拔牙,然后首选种植牙修复,根管治疗白做不说,钱白花,后期还得十几倍的花费,在牙科,“早知今日,何必当初”的病例,从来都不在少数。这是某天下午连续拔除的两例未做冠修复的折裂牙,可窥一斑。




大家如果能耐心看完至此,应该对烤瓷牙已经有了一个相当全面而客观的评价。
衷心希望今天的科普能真正帮到那些在漫漫求医路上彷徨犹豫,迷茫不知所措的牙病患友们!
切勿因不当的选择而最终落个
食海无牙苦作粥,无齿下流!
愿所有的牙病患者们
牙口无炎,笑口常开!
-END-
▼ 点击下面咨询了解更多相关内容 ▼

