瘦脸针、垫鼻子?其实还不如“整牙”!
有许多小仙女总觉得自己五官不够立体,想去打个瘦脸针、隆个鼻。其实仔细看,她们五官并没有硬伤,都是牙齿的惹的祸。
牙齿不齐、“龅牙”、地包天……牙齿的问题,影响了整个面部的美观。与其选择医美,不如先正畸!
今天,我们就来聊聊正畸前后的变化!

今天给大家带来一组动图,这组动图涵盖了我们牙齿矫正的常见8种情况,而且是全流程动图哦,包你看完能明白,牙齿究竟是如何一步步发生变化,一步步变得整齐!
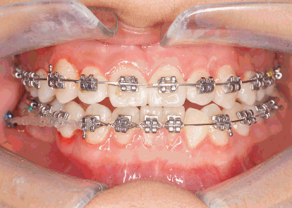
前牙移位

丨症状表现
牙齿缺失、牙周疾病等导致相邻牙齿无秩序前突。
牙齿过多

丨症状表现
超出正常牙齿颗数,造成牙齿排列不齐,一般需要拔牙。
牙列拥挤

丨症状表现
牙齿过多,牙槽骨过窄,使牙齿没有足够空间生长,就会造成牙齿排列不齐,需根据情况判断是否拔牙。
开颌

丨症状表现
通俗来讲,就是咬牙时无法紧闭,上下牙齿中间有缝。
上牙深覆合

丨症状表现
上牙边沿覆盖下牙超过1/3,俗话说的天包地。
后天牙列稀疏

丨症状表现
疾病外因等造成的牙列稀疏,牙槽骨过长或牙齿缺失,导致排列太宽松,零零散散。
前牙反合

丨症状表现
下牙边沿覆盖上牙超过1/3,俗话说的地包天。
天生牙列稀疏

牙齿矫正是根据生物力学原理,借助特殊的装置来调节口腔内外环境的力而产生综合作用,使错位的牙齿发生移动,并按人为的意念重新排列的一门学科。

牙齿矫正的目的,是恢复正常的咀嚼功能,增强自信,重现你的灿烂笑容。
一起来看看,做矫正有哪些方式吧!
1、金属托槽矫正
适合人群:经济实惠,适合学生一族;
技术特点:
1、价格便宜,绝大多数人群都可以采用这种托槽来进行矫正。
2、材料优质,具有金属刚性及弹性,不易断裂变形。
3、舒适稳固,独特自然的弯曲程度,提供最大限度的接触面和舒适度。
4、矫正效果好,缩短复诊次数、治疗疗程,且性能基本达到使用要求。
5、传统矫正方法,历史悠久,价格低廉。
2、自锁托槽矫正
适合人群:对舒适度和矫正时间要求高的人群
技术特点:
1、疗程缩短,通过计算机设计,使您的牙齿移动得更快,矫正时间更短。
2、佩戴舒适,平滑、模铸的边缘,提供更好的舒适度。
3、复诊次数少,自锁式设计使得治疗的时间大大缩短。
4、牙套易清洁,没有橡皮圈绑在牙齿上,牙套更易保持清洁。
5、2—3个月复诊一次,正畸疗程短。
3、透明托槽矫正
适合人群:性价比高,青少年隐形正畸首选;
技术特点:
1、性价比高,比隐形矫正更经济,比金属托槽矫正更美观。
2、舒适无痛,陶瓷矫治器表面光滑圆润,佩戴无明显异物感和粘。
3、隐形美观,玻璃陶瓷制作,呈乳白色半透明,与牙齿色泽一致。
4、方便快捷,佩戴舒适,拆卸方便,复诊次数减少,更节省时间。
5、透明、轻薄、美观、无异物感、正畸疗程短、佩戴更方便。
4、透明隐形矫正
适合人群:注重形象美感或个性的人士
技术特点:
1、透明隐形,适合演艺界明星、教师等对形象要求高的爱美人士。
2、舒适无痛,没有传统托槽和钢丝装置,矫正过程舒适无痛。
3、摘带简便,自行摘戴,不影响进食、刷牙、社交等日常生活。
4、薄如蝉翼、量身定制、厚度不足1mm,无异物感,被誉为牙齿的“隐形眼镜”。
所以,传统矫正和隐形矫正,到底该如何选择呢?
小提醒:表格内容仅作参考哦,最终方案将由专业人士确定!
想要改变,那就赶紧来找我们吧!

