全民“窝居”期间,如何应对孩子的口腔急症问题?

立春刚过,本该走上街头去好好感受久违的春意,而事实却是全国上下14亿人积极响应国家和政府的号召,一起开启了全民“窝居”模式,共同为对抗疫情而努力。

那么,如果此时,宝宝的牙齿却出现了“小状况”,应该如何解决呢?
接下来给各位家长整理分享一些常见儿童口腔急症的应对办法,希望能够帮助孩子度过特殊时期。
01


孩子牙龈上长个脓包怎么回事?

一般在牙齿根处粘膜部位发红或有肿胞,这是蛀牙已经很严重,造成了牙神经坏死、根尖周炎,炎性渗出物穿过牙槽骨和牙龈所形成的脓包。

特殊时期,如果不疼不痒,可以在家观察,同时注意口腔卫生,必要时可电话咨询医生。
02


孩子突然说吃东西牙疼?

“窝居”期间,孩子进食糖果、零食、饮料过多过频,很容易引发龋齿。

如果出现进食后说牙疼,这可能是深龋或早期牙髓炎的表现,可以马上给孩子的甜食减量,有食物进入龋洞后用牙签将食物轻轻挑出。同时,进食后一定要漱口刷牙,坚持每日使用牙线,以减慢患龋的速度,疫情解除后及时到诊处理。
03


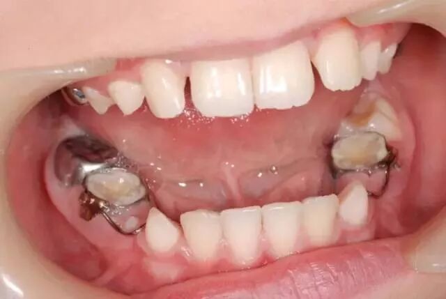
间隙保持器掉了怎么办?

间隙保持器是指在儿童牙齿早失后,为了保持这个空缺,维持正常的生理间隙,防止邻牙向丧失部位倾斜而制作的一种装置,用粘结剂粘结于邻牙上。

如果发现保持器出现松脱现象,家长不要担心,可以从口中取出,防止孩子误吞,并妥善保存,疫情解除后到诊处理即可。

04


孩子不小心把牙齿磕掉了怎么办?

如果是乳牙外伤,孩子年龄在2、3岁左右,比如乳牙挫入,可以在家观察,牙齿有自行萌出的可能。
如果乳牙完全脱出,孩子年龄6岁以下,只要未伤及恒牙,也可以自行观察,不用特殊处理,相当于乳牙提前“下岗”。
宝贝年龄在7、8岁以上,恒牙受伤,牙齿全脱出,可以迅速捡起脱落牙齿,手持牙冠,用生理盐水冲洗干净后将牙齿放入孩子舌下或者牛奶、生理盐水中保存,30分钟内到营业的口腔机构就诊。就诊时一定要佩戴好口罩,做好防护。
05


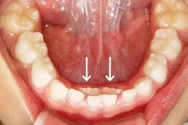
孩子长了双排牙需要拔吗?

遇到这种情况家长常常非常着急,其实这个问题很容易解决,疫情解除后到诊将滞留的乳牙拔掉即可。

温馨提示:出现双排牙的主要原因就是日常饮食过于精细,为了避免这种情况出现,建议让孩子多去啃苹果、鸭梨,坚果,促进乳牙牙根的吸收。

06


孩子牙齿松动了怎么办?

5岁以后的孩子牙齿出现松动可能是换牙的迹象,如果恒牙没有长出,可以先观察,不用太担心,疫情过后到诊检查即可。若新牙已经长出,可以在家尝试晃动,如果感觉牙齿还比较牢固,可以先等一等,疫情结束后到诊拔除。
特别提醒:一定不要在家自己拔除,以免操作错误引发感染等问题发生。
07


正畸期间托槽掉了怎么办?

如果是非自锁牙套,可以立即将托槽取出,以免误吞小部件。如果是自锁牙套,托槽脱落会挂在钢丝上,吃东西的时候要注意,不要吃太坚硬的东西,速度也要慢一些。必要时可电话咨询医生。
08


正畸期间钢丝戳出来怎么办?

若钢丝扎嘴可以先将正畸保护蜡或者口香糖搓成小球状先保护好戳出来的部分,进食尽量选择流食或者容易咀嚼的软性食物,疫情解除后及时到诊处理。


上一篇:影响孩子的“隐形杀手”,你注意到了吗?
下一篇:【科普】孩子咬嘴唇,“萌”的背后竟是健康隐患!