矫正患者必看:牙齿矫正期间,正确的牙齿护理方法!(视频多图)
牙齿矫正期间,保持良好的口腔卫生非常重要,尤其是托槽矫正。由于托槽(粘在牙齿表面的固定矫治器)的形状和安装方式,常常让刷牙这个工作变得更加艰难。
如果每天不认真仔细的刷牙,基本上一张嘴对方就能看出你吃过什么东西。并且,由于长时间牙齿刷不干净,会出现牙菌斑堆积及刷牙出血症状,这就是初期牙龈发炎的表现了。

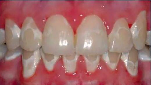
还有者,牙齿表面会出现白色的斑块,这是牙齿表面的釉质脱矿了。一旦脱矿,牙齿表面的白色斑块很难恢复,牙齿就失去了均匀一致的色泽,严重影响美观!
同时,由于刷牙不干净,形成蛀牙的风险也大大增加,如果牙齿排齐了,而牙齿蛀坏了,确实是一个大大的遗憾,这是所有的正畸医生都不愿意看到的结果!

牙釉质脱矿及牙龈红肿发炎
因此,正畸医生在给患者粘上牙套后,都会和患者千叮呤万嘱咐:“每天一定要记得认真刷牙,至少4次以上。起床、每次饭后、睡觉前一定要刷。如果中间吃了水果零食或者喝了高糖分色素的饮料,刷牙也要再加次数啊!“
但凡哪个患者没有做到位,那复诊时一定会如此这般再嘱咐一次。也难怪有人戏谑:在矫正牙齿期间,比妈妈还关心你的,只有牙医了!

那矫正期间,刷牙到底要怎么刷才算是正确有效的刷牙护理呢?今天就好好来和你们讲讲。
首先,介绍正畸过程中刷牙所必须准备的:
1.正畸牙刷:刷头小,且刷毛呈“凹”形,易于清洁粘了托槽的牙齿,样式如下图:


2 牙缝刷及其使用方法:可以有效清洁牙套和牙缝中残存的食物残渣。

牙缝刷使用方法:
3 正畸刷牙方法:
重点是以45度的倾斜角度清洁矫正器与牙龈之间的牙面!!!
正确有效的刷牙方法如下,一定要仔细看视频,下面分5步讲解:
好了,说了这么多,相信大家也都明白了带牙套时刷牙的重要性,以及怎么有效正确的护理牙齿啦!
一定要记住,要想牙齿好,刷牙不可少哦! 祝福每个人,都能牙齿整齐又洁白!

