智齿焦虑?不用怕,我来给你叨叨智齿那些事儿~
当代年轻人,除了工作焦虑、知识焦虑......还有一种焦虑,叫做:智齿焦虑。
“啊,我的智齿好像要长出来了”
“天惹,不敢去,我的是阻生,拔的话也太恐怖了”
“你看到了吗,拔2颗智齿,价格2w1!!!!!”
害怕智齿长出来,害怕拔掉会疼哭唧唧,害怕拔牙价格掏空钱包......好在,我来了,跟大家详细说说关于智齿那点事儿。
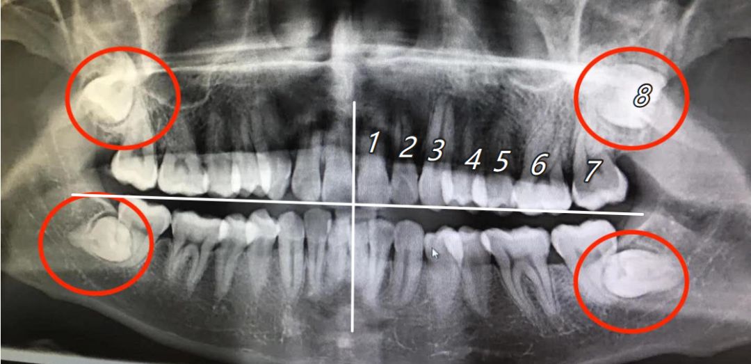
① 智齿的位置
智齿又称“智慧齿”,现代人类的牙齿通常是28颗,上下左右各7颗,长出的第八颗牙齿通常称之为“智齿”。

红圈内为智齿
② 和聪明真没什么关系
江湖传言,智齿是“智慧”的象征,如果长了智齿,就代表你聪明???
智齿和聪明并没有关系,脑瓜子里几斤几两自己还不清楚么?(#^.^#)
原始人类吃的食物是粗糙的,带来的结果便是颌骨发育充足,能容纳所有的牙齿需要的牙齿,而随着人类的进化食物也越来越精细,食物精细,颌骨发育退化,但是牙齿没有和颌骨一起同步退化,所以颌骨就容纳不了牙齿了,才会发生智齿的阻生。
一般人会长1-4颗智齿,终生一颗智齿不长的人很少。一般在16-30岁的时候,智齿可能就会趁你不注意,偷偷从牙槽最后面冒出来。

而智齿先天缺失的人,其实是进化的表现,去适应退化了的颌骨。
③ 智齿通常可分为两种,阻生智齿和非阻生智齿
阻生智齿是指在颌骨内位置不当,不能萌出到正常咬合位置的智齿。

非阻生智齿则是健康生长的“三好学生”。
现实中阻生智齿的比例远超非阻生。如果你恰好是非阻生智齿,堪比中彩票的幸运!
很多朋友对智齿最大的问题便是:到底拔不拔?拔智齿真能瘦脸?我的智齿不疼是不是就不用管了?
针对这些疑问我也给大家总结了应对方法:
①这样的智齿需要拔:
丨智齿反复发炎
常见的智齿冠周炎,就是指牙冠周围软组织与牙齿之间形成盲袋,会引起食物、细菌的积存,人的抵抗力下降时就容易诱发。
丨智齿没有咬合
如果完全萌出的智齿没有相抗衡的智齿来对咬的话,有时会发生智齿过度萌发,进而影响咬合。
丨智齿引起其他牙齿问题,例如邻牙龋坏等
智齿不仅自己不乖,还要带坏旁边的好牙齿!阻生智齿通常萌出空间不足。
一般智齿如果倒在第二磨牙上,鸠占鹊巢,会先导致牙根吸收、吸收到一定程度才会疼痛,此时去看诊,基本是要么得做根管治疗,要么这颗牙齿就阵亡了。
以上这些情况,我建议大家,统 统 拔掉!
当然了,也有罕见的超乖智齿,可以不拔。如果你上下对应的两颗智齿都长出来了,而且位置很正,吃东西时能使上劲,同时你又很讲口腔卫生,那你可以不用拔。
但这种情况真的非常少。如果你的智齿是非阻生的,你就是一条非常幸运的锦鲤。
注意,很多智齿是无法肉眼判断是否存在的,需要去牙科诊所拍片才能判断,定期检查牙齿真的很重要。
②拔智齿,你得注意这些:
如果你不小心被智齿选中,要去遭受一趟拔牙之痛的话,一定要记得以下几点:
1)拔智齿毋庸置疑是痛的,但痛苦的其实是拔完之后的恢复期,需要看个人体质。
我身边有拔完第二天就吃吃喝喝毫不影响的,也有一周了依旧肿着腮帮子的,但无论哪种情况,只要拔的好,都是会恢复的。
2)一定要上正规、专业的牙科机构拔。一般智齿的位置相对隐蔽,结构较为特殊,拔智齿的难度较普通的拔牙难度更大,相当于一场小手术,不能儿戏。
3)如果你有备孕打算,备孕前一定要做口腔检查,把有隐患的智齿拔除。
对于孕妇而言,智齿就如同不定时炸弹。女性怀孕后,由于激素水平改变,牙龈炎、智齿冠周炎等口腔问题,相对于普通人群更容易发生,但孕期又无法进行彻底的治疗,轻在牙疼、严重了还可导致流产。
如果存在阻生智齿,及时在孕前拔除,能有效减少孕期的牙源性痛苦。
4)遵医嘱,要你咬止血棉就咬、不吃辛辣就不吃、该用冰袋敷就敷,医生说啥就照做,不要作死。
③关于拔智齿,这几个谣言不可信:
丨拔智齿瘦脸
拔智齿并不能瘦脸,有人会觉得脸瘦了,只是因为拔牙脸消肿后形成了瘦脸的错觉。
丨拔智齿会让其它牙齿松动
正常情况下拔智齿不会使邻牙松动!牙槽骨可不会无缘无故就让牙齿乱跑。
最后,还有个大家关心的问题,智齿和矫正到底有啥关系?为啥正畸医生拔掉了我的智齿?
① 给矫正腾地方
隐形矫正中,拔掉智齿常常作为提供间隙的方式,也就是我们常说的:推磨牙远移。就是充分利用了智齿的空间。
简单来说,磨牙远移就是“让牙齿逐个往口内深处移动”,以此来解决拥挤、排齐牙齿。
如果你本身属于“低角”面型,也就是我们说的国字脸,就特别适合磨牙远移。
因为牙齿在移动时,不止是水平向地移动,它其实还伴有高低的变化。所以当你的牙齿在往后走时,也会带动你面下部发生旋转,拉长你的面部比例。
同时,磨牙远移尤其适合通过隐形矫正来操作。对比起钢丝牙套,隐形矫治推磨牙远移操作简便、牙移动控制精准高效。
一个案例:

这个女生矫正前有一定的拥挤,并且伴有深覆盖。
仔细看侧面的口内,她的牙齿上牙咬合太往前了。所以矫正方案采用远移上颌磨牙,使咬合稳定(磨牙及尖牙中性关系),并排齐牙列。
前牙配合邻面去釉解除拥挤,原本“翘起来”的龅牙也完美内收了进去。
② 变废为宝
当然,也并不是所有矫正都需要拔智齿,有的智齿还能作为替补出场,代替坏掉的大牙。拔牙+种植,简直省下一大笔钱!
最后,对于想矫正牙齿的你来说,如果本身智齿阻生的话,从健康角度,正畸医生通常都会建议拔除,而如果智齿位置较正,如何处理则是取决于医生对你的方案设计。
①智齿是人类进化中逐渐退化的牙,除非特殊情况,一般来说是用不到的。
②阻生智齿很容易引起一系列口腔问题,一定要定期去正规医院检查牙齿,适时拔掉。
③拔智齿并不会瘦脸、也不会让牙齿松动。
④智齿还能为矫正腾地方,假如你的智齿长的特别好,还能变废为宝替代其他坏掉的磨牙。
⑤关于拔智齿的价格,各个地区、诊所价格都会有所差别,但总的来说,阻生智齿的价格会比非阻生贵一些,具体的还需咨询就诊的医院或者牙科机构。
-END-
▼ 点击下面咨询了解更多相关内容 ▼

