想整牙?不急,先看看这篇!
想矫正牙齿的你,一定攒了一肚子疑问吧,今天我就来为大家揭开它的神秘面纱~口腔正畸学的从无到有,从古至今的发展,从原理到正畸材料,争取一一给大家讲清楚~
其实矫正牙齿的需求已经在很早就有了,美国牙齿正畸协会称,考古学家曾发现木乃伊的牙齿用粗糙的金属片包裹,专家推测缝隙处的羊肠线起到就是现代牙齿矫正弓丝的作用。
看来咱们现代人和几千年前的祖先们,审美默契还是有的,那就是对于一口整齐又健康的牙齿的热爱。
固定矫治器的发展史
现代口腔正畸学已发展 100 多年,正畸界的鼻祖同时也是界上第一位正畸专业医师 Edward H. Angle 在 1892 年宣布牙齿矫正技术从其他牙科治疗中分离出来成为一门独立的学科,井于 1890 年提出的 Angle 错合畸形分类法至今仍在世界各国广泛应用。
他先后于 1907、1912、 1916 年提出了E型弓、钉管弓、带状弓矫治技术。
1928 年,安格又设计出方丝弓矫治器,这种新的矫正装置能达到理想的治疗效果。确立了固定矫治器的矫治体系,方丝弓矫正技术至今仍是世界各国广泛应用。
确切的说 Angle 更像是一位矫治器的发明者,矫治技术和理论的开创者。
这种临床理论和技术的产生不会是纸上谈兵凭空想出来的,第一批接受现代正畸治疗的“小白鼠”记是患者,也是医疗技术进入临床前的受试者,没有他们大胆的尝试也没有咱们现在舒适又有效的矫正器的发明。
在 Angle 创办的世界上第一所正畸学校里还包含大名鼎鼎的 Tweed 方丝弓矫治技术开创人 Tweed 医师及 Begg 细丝弓矫治技术的奠基者 Begg 医师。
无论是西方还是东方我们都相信老天爷给我们的每一颗牙齿有是有用的,所以口腔正畸的初始概念里是没有拔牙的。
后来 Tweed 在治疗了大量患者后发现勉强把拥挤的牙齿排列整齐造成的后果一方面是嘴部的突出,而另一方面就是稳定性,牙槽骨就那么大,排不下就是排不下,勉强排齐后矫治器拆掉很容易再次形成拥挤错乱,也就是我们常说的复发。
这不就是白做了吗?
所以,经过 Tweed 的临床观察和思考,开始尝试拔牙矫正,召回了过去那些应该拔牙却没有拔牙的患者们开始二次矫正。
直到今天拔牙矫正依然是正畸治疗主要解决牙齿拥挤和前突的方法。
这些技术上专业词汇大家看看就好,大家只需明确矫正器一直在实践中稳步发展,不舒适不实用的方法早已被时代淘汰,放宽心去矫正就好啦。
矫正一定要拔牙吗?
这也是很多人对矫正望而却步的一个重要原因。拔牙是提供间隙的常用手段但非唯一手段。除了拔牙可以创造空间、有效解决牙列拥挤和牙齿前突外,临床上还有前后向或左右向扩展牙弓、片切(适度把牙磨窄)等很多手段可根据病情选择。
通过正畸发展史我们也了解到,不拔牙矫正在 100 年前曾风行在牙科界。矫正后由于很多病人复发了,甚至脸型更糟糕。
目前医疗界共识为:是否需要拔牙,拔几颗牙,是具体到每个人身上,经过实际测量与影像测量决定的,绝不是一两颗不拔牙承诺能认定的,该拔的牙肯定跑不了,不该拔的牙也绝不能乱拔。
除了是否需要拔牙,还有人担心戴牙套会腐蚀牙面
在牙面上粘接矫治器,目前是采用口腔专用的釉质粘接剂,在清洁处理过的牙面上固定两年左右,这是牙科里应用 40 余年非常成熟的粘接技术,治疗结束去除后也不会对牙齿表面产生影响。所谓的腐蚀实际上主要是因为口腔卫生不好导致,不应由牙套背锅。
矫正原理
清楚了解牙齿矫正的原理后才能更好的配合医生来进行治疗。
移动≠松动
有人怕矫正完牙齿之后牙齿会变松,掉牙早,让下定决心矫正的人不禁犯嘀咕,矫正过程中,牙齿在移动,跟松动完全是两码事。牙周病才是牙齿松动的真正凶手,牙菌斑又是牙周病的致病因素。
简言之,无论你戴牙套与否,不注意口腔卫生,时间久了牙齿松动那是必然的。
牙齿为什么可以移动?
牙齿在受力后其位置是可以发生移动的,矫治牙在牙槽窝中移动时,对牙齿本身和其支持组织不会引起病理性损伤,而是近似生理性的牙齿移动,这又是什么原因呢?
牙齿之所以能在口腔中移动,主要是因为牙槽骨重建的特性。牙槽骨的重建作用,类似于“拆东墙补西墙”。
牙槽骨的可塑性
人的骨组织的可塑性是很大的,亦具有很强的适应性,而牙槽骨是人体骨骼中代谢、改建最活跃的部分。改建包括增生和吸收两个过程,两者处于一个动态平衡的状态,这是正畸治疗的生物学基础。
▲牙齿在牙槽骨里踽踽前行
牙骨质的抗压性
在相同的正畸矫治力的作用下,牙槽骨逐渐吸收,而牙骨质却没有吸收或仅有少量浅层牙骨质吸收。牙骨质这种耐受吸收的主要原因是牙根表面总是覆盖着一薄层尚未钙化的类牙骨质,其对压力吸收较牙槽骨具有更强的抵抗力,对深层牙骨质有保护作用。
每一根弓丝,都是一名倔强的战士!
当牙齿向前移动,持续的压力作用到牙槽骨上时,受力部分的牙槽骨会逐渐被吸收,给牙齿的移动开辟了空间。
而包绕在牙齿后侧的韧带会受到牵拉,提示它需要修复因牙齿移动所产生的缝隙啦!这么一吸一补,牙齿就能在牙槽骨中稳稳地移动啦~
为了让弓丝再接再厉,口腔医生会定期调整弓丝,给予它新的力量。所以,这也是为什么正畸治疗中需要患者配合,定期复诊,日常也要注意避免托槽脱落。
了解了矫正原理,我们再来看看如何选择适合自己的牙套
矫治器的选择
关于矫治器的好坏,不应该妄下定论。每种矫治器都有各自的特点,需求不同,每个人对它好坏的定义也就不同。
今天w 就来给大家介绍一下,各种常见的矫治器它们究竟都有什么特点。
正畸基本材料从国产到进口,方丝弓到自锁,金属到单晶,源头成本差距很大,再加上患者牙齿的畸形程度,矫正的难度和医生的经验等,这些都是决定矫正价格的因素。所以,当有患者上来就问 xx 矫正方式多少钱时,实在无法给出准确价格。
现在主流的牙齿矫正器大致分为固定托槽矫治器和隐形矫治器。
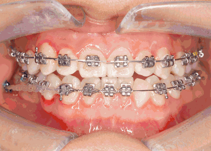
固定托槽矫治器
最普通最常见的金属牙套,托槽需要粘在牙齿表面,在矫正过程中是不能随意拆卸的。
固定矫治器根据材料种类不同主要分为金属托槽、陶瓷托槽。
陶瓷托槽是金属托槽的透明版,具有和天然牙相近的色泽。
优点是美观性较好,粘接较金属托槽更牢固,只要医生手艺够好,治疗中不会存在托槽脱落的问题;
缺点是咬硬物及受力过大时托槽会碎裂,牙齿移动过程中摩擦力较金属托槽大,移动速度相对较慢。
根据结扎方式不同,固定托槽分为自锁托槽和非自锁托槽。
--------▼非自锁托槽▼--------
这种矫治器需要靠结扎丝来固定托槽与弓丝,结扎丝的打结对医生的技术和经验都是一个考验,经验丰富的医生打结的结扎丝很少出出现扎嘴的现象。
--------▼自锁托槽▼--------
这种托槽有着免结扎避免结扎丝末端对口腔的刺激;
体积小更有利于保持口腔卫生;
摩擦力减小,相对加快牙齿移动、缩短矫治周期等有点,但价格相对略贵一些。
还有一个舌侧隐形矫治器,曾在九十年代比较流行,不算主流。
舌侧矫治器粘接在牙齿的内侧,在外观上完全看不到托槽钢丝,适合对美观有追求的小伙伴,缺点也比较明显。
正畸期间口腔清洁难度大,容易导致牙周疾病的发生,大家想想,在牙齿外侧的托槽都不是那么容易清理,更何况内侧,并且舌侧是所有矫治器里最不舒适的一款,对软组织刺激较大。对舌头造成的异物感较强,其次是影响发音、再就是价格比较高,同样的价钱,完全可以选择隐形矫治器了。
隐形矫治器
隐形无托槽矫治器近年深受大家的欢迎,矫正期间可以自行摘下,舒适美观,几乎完全隐形,不影响美观和工作、社交。
口腔软组织几乎无刺激,较舒适,患者可自行摘戴,刷牙和进食时可以取下矫治器,不影响吃饭和口腔清洁。
复诊间隔较长,适合异地或者经常出差的患者,每 1-2 周更换一副矫治器,牙齿受力均衡柔和,因此治疗期间牙齿疼痛感降低。
由于可自行摘戴,这就需要对患者高度自律,不按时佩戴矫治器则无法达到矫治效果,重度牙齿畸形患者不适合做隐形矫治。
隐形牙套需要将牙颌模型三维成像,医生设计方案在计算机上进行三维图像处理,并用 3D 打印出来透明牙套,不断小范围移动牙齿,正畸效果可预测。
还有一种适用于儿童的矫正方式,MRC 肌功能矫治系统▼

简单而言,MRC 肌功能矫治系统是一套专门针对 3-15 岁的小朋友的矫治方法,因为这个时候小朋友们的面部颌骨还处于生长发育期,通过正确的引导,可以为成长中的孩子们带来良好和正确的口周肌功能和习惯,让他们拥有整齐的牙齿和漂亮的容颜。

MRC 肌功能矫治系统可以用来纠正不良口腔习惯。一些肌功能习惯,如吐舌头、异常吞咽、口呼吸等,是造成错颌的一个原因。MRC 可以帮助孩子将唇舌体、颌骨、肌肉等调整至正常的位置,达到正常的平衡状态,从而达到矫治牙颌畸形的目的。
MRC矫治器适应症
2-5岁乳牙期
乳牙期,有口呼吸、吐舌、咬唇、咬手指习惯的孩子。
5-8岁乳牙恒牙替换期
帮助开颌牙齿不齐的孩子进行早期干预矫正,减少以后的矫正难度。
8-12岁恒牙期
用于恒牙期改善不良习惯及异常肌肉运动。对于已经戴上托槽矫正的孩子,可以辅助使用避免口腔黏膜损伤并缩短正畸时间。
12-15岁恒牙期
在恒牙期,用于正畸治疗之后,作为口腔习惯矫正与保持器一起使用。矫正后反弹患者使用。
可以说是先知先觉,防治牙齿畸形于未然了。MRC 还有一个作用就是防止矫正初期托槽脱落,深覆合患者在牙齿排气整平阶段,由于夜间磨牙,托槽容易脱落,MRC 可以避免磨牙,减少托槽意外松脱发生▼

图 1

图 2
比起材料来,医生的技术水平才是决定矫正牙齿成功与否的重要因素,更是产生价格差异的决定性因素。
牙齿矫正的核心在于医生,医生的方案设计占据 60%的重要性,医生的操作(如托槽定位、咬合精调等)占据 30%!
真正的矫正报价是这么算的:

一个优秀的正畸医生必须具备丰富的临床经验、扎实的理论基础,每个周期每颗牙齿的移动方向和速度他都算过,还要催着你复诊,鼓励你坚持。
牙齿矫正是一个高超技术含量的诊疗过程,需要先进的设备进行细致地术前检查和诊断,更需要高明的医生为每个人制定合理的矫正方案。
对于有经验的正畸医生来说,矫治器只是矫治的工具,就像士兵手中的枪,并不存在矫治效果的差异,使用哪种矫治器,要从个人的牙齿状况、治疗时间、美观需求、经济水平等各方面考虑。
了解了口腔正畸学发展的历史,有助于大家破除对正畸的偏见。清楚了解牙齿矫正的原理后才能更好的配合医生来进行治疗。对比矫正材料的优势和不足,选择最适合自己的才是最重要的。
-END-
▼ 点击下面咨询了解更多相关内容 ▼

