想要牙齿和明星一样的闪亮?这个步骤少不了~
你有没有被人嫌弃过牙齿黄?怕影响形象不敢随意张口?抛去难看不说,妹子们都没法好好涂口红了。口红色加上发黄的牙,简直就是西红柿炒鸡蛋!
在美牙技术越来越受大众青睐的今天,想达到唇红齿白的美人标准,其实你只要做个瓷贴面就好了。
什么是瓷贴面
瓷贴面是一种牙齿修复体。在相对少磨牙的情况下,对牙体表面缺损、着色牙、变色牙等用瓷修复材料粘结覆盖其表面,恢复牙体的正常形态和改善其色泽。
适用于哪些牙齿问题
一般只用于前牙的修复,主要是解决美观问题。釉质发育不良、四环素牙、氟斑牙、畸形牙、牙间隙过大、邻面龋坏和切端缺损等。
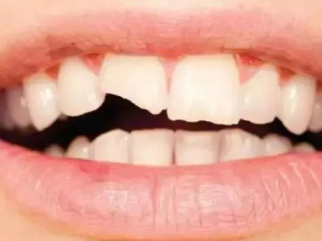
修复前
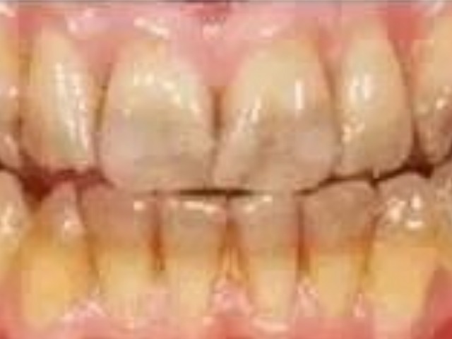
修复后
瓷贴面的主要优点
(1)瓷贴面技术磨牙量相对烤瓷牙减少很多,有些病例甚至可以做到不磨牙。
(2)相对于烤瓷牙,增加牙髓保留可能性。
(3)瓷贴面美观程度高,可以达到良好的美容效果。
瓷贴面实战流程:
第一次就诊:取研究模型,拍X线片,牙周治疗,拍数码相片,比色。
第二次就诊:制作Mock up,备牙,比色,拍照,取模,制作临时修复体。
第三次就诊:试戴,粘接,拍照。
第四次就诊到第N次就诊:贴面的维护和修补。
第一次就诊:治疗计划
1.取两幅研究模型
一副送给加工厂做美学蜡型,另一副留作对比,通过对比告诉患者牙齿目前存在的问题以及修复后将要达到的效果。
美学蜡型是一定要做的,在后期的牙体预备中,最重要的就是对釉质的保留。通过美学蜡型翻制的硅胶导板,能对牙体预备起最准确的引导,否则哪里备多了,哪里备少了,你根本不知道,而且你也不知道修复后,究竟会是什么样子。
2.拍摄x线片
第二次就诊:Mock up和牙体预备
取下临时修复体,彻底对牙面进行清理和抛光,要完全去处临时材料和粘接剂。
对贴面进行略微调整,使之完全就位,选择合适颜色的粘接剂进行试粘接,满意后再进行永久粘接。
贴面的粘接一定要在安装橡皮障的情况下,一个一个的粘接,绝对不能同时粘接多个贴面,贴面修复不是难在牙体预备,而是粘接,有时粘接四个贴面甚至会花掉三个小时甚至更长时间,这个过程很需要耐心啊!
第四到第N次就诊:贴面的维护和修补
-END-
▼ 点击下面头像了解更多相关资讯 ▼

