无良商家的噱头:女子花60多万做“美容冠”,还写下30万欠条
能担当得起快乐源泉四个字的,只有它了。中国第一社会娱乐真人秀节目——1818黄金眼,除了日常让观众拔草整容、美发、相亲,还是各种黑心正畸医院的天敌。
说出来你可能不信,有人去做了个牙科美容手术,花了60多万,外加一张30万的欠条。
据浙江在线报道,这事就发生在浙江台州的郭先生妻子身上。5月12日,郭先生妻子在杭州芭黎雅医疗美容诊所给丈夫打了通电话,说要整牙,急需用钱,而且数目挺大。
(杭州芭黎雅医疗美容诊所)
郭先生急了:“你不要被骗了,你不要在别的医院乱看。”妻子根本不听,不知什么原因,连郭先生的电话都不接了。
事后郭先生了解到:手术费用原价要80多万元,其中上牙前部6颗全瓷冠25万多,已经完成,剩余9颗贴片17万多元和种植6颗32万多元还没进行,打完折总价要60多万。
当天,妻子通过微信、支付宝和刷卡等方式,把30多万元付给了一位李女士和她名下的公司,并写下了一张30万元的欠条。

(郭先生接受记者采访)
郭先生说:“妻子牙齿不好是先天原因 ,之前就有手术的打算。”
(妻子治疗前)
之前在一个沈阳过来的医院宣传交流展会上,认识了李女士。
这位李女士自称是杭州一家美容院的负责人,5月10日陪妻子一起去了沈阳。得知手术费要九十多万后,最终妻子没有决定在沈阳进行手术。李女士推荐了一家杭州的医院。
(左二为李女士)
郭先生 :“就是这家芭黎雅医院,她说价格应该很便宜,我有内部价,结果过来的时候先报价是八十多万。
(妻子的医疗账单)
郭先生的妻子说:“前面做牙齿价格很贵,他们说这边有熟人(打折要六十多万)可以给我打折,当时说打折有可能打三折,或者四折 。
(妻子的转账记录)
他说:“前面给你弄起来肯定很漂亮的,里面也就是说可能一个月就可以好了。他们意思你现在不做牙齿永远弄不好,现在牙齿困扰你这么多年,现在刚好有机会在,刚好有熟人在。”
最终的折扣是八折 ,郭先生的妻子先付了三十多万,又写了欠条,并在当天进行了手术。
(妻子的欠条)
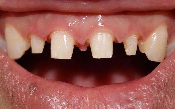
这几天,她明显感觉牙齿不太舒服 。
郭先生的妻子说:“麻药退了之后上面的一排牙齿整个都是外凸的,所有人看到我的牙齿都说不好看 ,过来问医生,说你的牙齿按照自己的牙骨已经是最完美了。”
(妻子牙齿治疗后)
郭先生 :“我知道这个事情的话,我就感觉整个牙冠的报价很离谱,好像美容也不应该涉及牙齿的整形,牙齿的医治。”
记者与郭先生来到诊所内,前厅标注着“芭黎雅医美抗衰老中心”,没有在前台发现相关资质的公示。
(芭黎雅医美抗衰老中心刘经理)
随后,工作人员把郭先生一行带到了“芭黎雅”对面—《浙江鑫禾实业集团大承医疗投资股份有限公司》的会议室,并先和郭先生单独进行了沟通。
记者问该工作人员,李女士与公司的关系。对方回答:不太清楚。
记者再次询问:“郭女士妻子给李女士及其公司打了30多万元,收到的收据却是医院的名称。李女士是否有把钱转给医院?”
刘经理回答:“我告诉你的就是我们所用的东西,所做的流程都是没有任何问题的。”
记者致电李女士,听到是记者,对方挂断了电话。
目前,郭先生已经将情况反映给上城区卫生和计划生育监督所。
婶看完这则新闻,深吸了一口气,感到深深的震惊!这么坑的诊所竟然会有人相信还往里不停地打钱!

最可气的是,患者在黑心诊所的“1个月就能矫正牙齿”的忽悠下,做了天价的美容冠,这种黑心机构利用顾客急功近利的心态,给患者的带来了不可逆的牙齿损伤!
无独有偶,演员刘涛也曾中过招。
她曾在微博说:
希望以我的经验教训告诉大家、自己的牙如果健康千万别想着去换美容牙,最多也就贴个薄片,像我这种经历几次全口重建的真的好崩溃!

而让刘涛“崩溃”的美容牙就是“美容冠”。
美容冠的丑陋面目
有的人牙齿特别错乱,像龅牙、地包天这些人们经常形容一个人丑陋外形的词语,非常伤害人的自尊心,想一朝之内改头换面的人不在少数。
毕业之后急着找工作面试,忙着相亲,如果这类人缺少专业知识,的确很容易受到诱惑。
非专业“牙医”往往会这么做:把你所有错乱的牙齿都磨小——通常磨除的量非常大,谁让你的牙齿这么错落有致呢——然后在外面套上一排“帽子”,帽子非常白,而且异常整齐。

于是你的面试信心突然就高涨起来,面试时口若悬河,露出了自信的微笑……
然后,看似成功的面试结束了,暂且不管你是不是成功赢得了面试官或相亲对象的欢心与芳心、登上人生巅峰,接下来,痛苦就要开始折磨你了。
不可逆的牙齿损伤
1.牙髓损伤
每一颗牙齿内部都包裹着一种叫做牙髓的组织,它们提供牙齿营养,产生感觉。
之前把牙齿磨小戴“帽子”的时候,过多地磨削了外层的牙齿硬组织,因为高速旋转的车针产生的高热和粘接剂的刺激,通过仅剩无几的“牙本质”激惹到牙齿核心的牙髓。
牙髓一旦产生炎症,基本不可能通过药物控制,可能发生急性或者慢性牙髓炎,也可能发展为根尖周炎,牙齿会从此痛下去,若是放着不管,无休止的流脓就要开始了。

2.远期的牙周损伤
然而痛苦并未结束,因为“美容冠”制造者从不考虑远期口腔健康,忽略了白色帽子对于牙龈的压迫。
另外有些部位很难通过刷牙漱口清洁到,食物的残留将会导致牙龈的炎症,继而更深一层,侵害到牙周的健康。
开始只是牙龈出血。渐渐地,就会发生牙齿松动、牙槽骨变薄、变短。
这个时候,还会产生牙周炎患者常见的牙龈红肿、口臭、溢脓。
——现在,你大概又要回到最开始的时候,又不敢开口说话了。要不然,不仅同事领导会嫌弃,对象还怎么跟你亲亲啊?

类似地,有的人牙齿颜色偏黄,看到“快速牙齿美白”的广告语就上钩了,“美容冠”制造者就忽悠患者把牙齿磨小,戴个白帽子。
这会儿大家该知道了,黑心的商家,只会两件事情:“忽悠”和“戴帽子”。
牙不齐的正确做法
牙齿不整齐的话,应当在正规医院、诊所的口腔科(口腔正畸科)就诊,进行正规的正畸治疗。
区别于“美容冠”制造者,口腔医生肯定不会跟你打“登上人生巅峰成为人生赢家”的包票。
他会告诉你治疗过程中会出现的所有问题,其中包括可控和不可控的不良反应;会告诉你平时的清洁卫生方法;告诉你治疗结束后会获得的效果,并且需要你每隔一段时间复诊。
再说一遍,“美容冠”作为一个商业噱头,炒作出来的“治疗方法”没有任何适应症。
药不能停啊!

这是虚假广告!
【END】

