【少儿齿科】这件事情家长做了,孩子长大后一定会感谢你!
俗话说“女大十八变”
其实不论男孩女孩
很多人小时候长得很可爱
长大了容貌多少都会发生变化
有的人“长开了”
有的人却……“长残了”

扎心问题千千万,长残绝对算一桩。那问题来了,岁月的杀猪刀是如何在你孩子身上留下残忍的印记呢?
原因有很多,小编归列了以下3类。
很多小朋友喜欢用口呼吸
殊不知口呼吸会对面容和口腔带来影响
脸会拉长、烟管变窄
牙齿不齐、下巴向后倾斜

给大家科普一个真实的故事

英国的一对姐妹都有严重的口呼吸
他们的脸上已经开始有了口呼吸的相关特征
▼

之后两姐妹接受治疗
妹妹改变了口呼吸和吞咽方式
姐姐没有改正过来
然后,她们的相貌在青春期时期发生了天差地别
▼

长期吮指、咬手指的习惯
如果没有得到改善
前牙会出现开颌
为什么呢?
把手指放在嘴里吸吮
就像把颌骨向前拉
会让颌骨向前方突出并形成近似三角形
▼

第一种,下牙咬上嘴唇
可能会导致地包天
▼

第二种,上牙咬下嘴唇
可能会导致龅牙情况
▼

虽然牙颌畸形非常摧残颜值,但及时干预、早期矫正也能收到良好的效果。
但不少传统观念认为:孩子小时候歪牙不需要过早矫正,这让很多父母纠结、犹豫……
今天,我们就来谈一谈儿童牙齿矫正的问题。


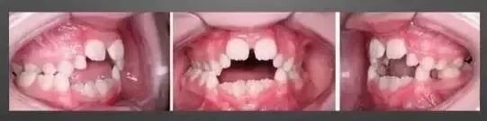
各类错颌畸形,都不同程度地影响容貌外观。

青少年的牙齿在整个面部骨骼生长发育中,类似于“支架”的重要作用。
正常发育排列的牙齿,对颌面部高度、深度及宽度的生长,起着极为重要的支撑、引导作用。
一些严重的错颌,不仅会影响面部骨骼发育,还会影响正常功能,如吞咽异常、双唇不能正常闭合、影响呼吸功能、诱发口呼吸等不良习惯。


牙列不齐难以清洁,引发龋病及牙龈、牙周的炎症,出现牙龈肿胀、出血、口腔异味等症状,久而久之炎症有可能会波及牙槽骨,导致牙齿松动。


牙齿不齐严重影响孩子的成长发育及心理障碍。不爱说话,没有自信。部分资料表明,在错牙合畸形的青少年当中,发生心理障碍的比例增高。

