舌尖上的秘密!哪些疾病征兆能从舌头上看出来
中医有个说法:“舌是外露的脏腑,舌是脏腑的镜子”。舌和心、肺、肝、脾、肾等五脏六腑有着紧密的联系。在中医看来,舌头是人体健康的一扇窗户,无论外形还是颜色,都透露着身体的疾病征兆。

(舌诊脏腑部位分属图)
望舌内容可分为望舌质和舌苔两部分。
舌质又称舌体,是舌的肌肉和脉络等组织。望舌质又分为望神、色、形、态四方面。舌苔是舌体上附着的一层苔状物,望舌苔可分望苔色望苔质两方面。
舌头的各种症状分别代表哪些意思?榄医中医与您说
舌色篇
01
正常舌象的特征是:舌色淡红鲜明,舌质滋润,舌体大小适中,柔软灵活;舌苔均匀、薄白而润,简称“淡红舌,薄白苔”。正常舌下络脉仅隐隐可见,呈紫红色线状,绝不粗胀。大多为单枝干,络脉直径最粗不超过2.7mm,长度大多不超过舌尖与舌下肉阜连线的3/5。

02
淡白舌多见于阳虚寒盛、气虚血少之证。本图舌色淡白,舌苔薄白而润,提示气血两虚。

03
舌色及龈、唇皆无血色,称为“枯白”。本图舌色枯白,舌干皱缩,无力伸出,是舌无神气的表现。提示精气衰败,病情危重。

04
红舌见于外感热盛或阴虚火旺之证。本图舌色较红,舌苔薄黄,舌质纹理粗糙,提示气分热盛。

05
舌尖红多见于心火上炎,上焦有热之证。本图舌尖红赤起刺,其余部位淡红而润。提示上焦热盛。

06
舌色深红,称为“绛舌”,为热盛之象。在外感病为邪热入营的标志;在内伤杂病阴虚火旺重症亦较多见。本图舌色深红偏暗,舌面有叶脉状浅裂纹,苔少。提示热盛、气血壅滞,正气已伤。

07
舌色青紫,由气血运行不畅所致。本图患者为慢性支气管炎继发感染、肺气肿、心力衰竭,舌色紫暗,苔白腻。提示痰饮内停、肺肾气虚,血行瘀滞。

08
淡紫舌多见于阳虚阴盛之证。本图患者为肺原性心脏病,舌淡紫,苔薄白而湿润。提示阳气不足,血行不畅。

09
本图患者月经不调(痛经),舌色淡紫,舌上有较多紫色瘀点,舌苔薄白而润。提示阳气不足,寒凝血瘀。

10
本图患者素体阴虚,舌红少苔,因肺部感染、心力衰竭,舌色紫而偏红,伴有发热、喘咳。提示邪热内盛,气血壅滞不畅。

11
舌色红绛而紫,舌尖起刺,提示痰热壅滞。

12
舌有瘀斑或瘀点,均为血瘀之征。本图见舌边和舌旁有形态不规则瘀斑,是肝经血瘀的征象。

舌苔篇
正常舌苔是由胃气、胃阴上蒸于舌面而生成,病理性舌苔则是胃气挟邪气上蒸而成。《图谱》以苔色为纲,结合苔质变化,介绍各类常见的舌苔变化。
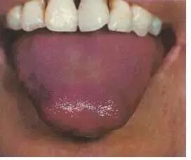
01
本图为正常舌苔。苔质滋润,干湿舌中,透过舌苔能见到淡红舌质,称为“薄白润苔”。提示胃气旺盛,津液充盈。

02
舌苔上水湿过多,扪之湿而滑利,甚则伸舌涎液欲滴,称为“滑苔”,多为水湿、痰饮内停。本图舌面过于湿润,舌苔薄白,根略厚,舌体胖嫩,舌边齿痕。提示阳虚不运,水湿内停。

03
腻苔的特征是:苔质颗粒细腻致密,紧贴于舌面,刮之不脱,多因湿浊、痰饮、食滞所致。

04
本图患者为慢性支气管炎,舌苔白腻,舌上水湿过多,舌色淡紫,舌尖部有瘀点。提示阳气不足,痰饮停积。

05
腻苔上复盖一层垢浊滑腻的粘涎,称为“粘腻苔”。提示湿浊之邪较盛,脾胃阳气被遏。

06
本图患者为肝硬化腹水,舌色淡紫,舌苔白腻,中部较厚,提示体内阳虚阴盛,水湿停聚,血行凝滞不畅。

07
舌苔由腻逐渐变松,颗粒变粗,浮堆于舌面,刮之能去,提示阳气来复,渐化寒湿阴邪。

08
本图患者为慢性支气管炎,原为白厚腻苔,现舌上大部分白腻苔化燥,苔质干裂,舌中有一块苔剥落,边缘白苔尚未化燥。提示痰饮郁而化热,胃气、津液渐伤。

09
本图为黄腻苔满布舌面,舌苔的中前部腻苔正逐渐化燥,提示内热炽盛,湿邪化燥。

10
本图患者为呼吸道感染发热。舌质稍红,舌苔薄黄,提示表邪入里,气分热盛。

11
黄腻苔多见于湿热、痰热、食滞化热、暑温、湿温、腑气不利等。本图患者为流行性感冒后,舌苔淡黄厚腻,胸闷纳呆,提示湿热中阻,脾失健运。

12
本图患者胆道感染,舌苔黄腻,提示肝胆有湿热蕴结。

13
本图患者为肝癌,舌质红,舌苔黄厚腻,舌尖红点,提示湿邪与郁热交阻。

14
本图患者为肠梗阻,舌苔黄腻,舌面上还罩着一层黄色粘涎。是因腑气不通,湿浊之邪上泛于舌所致。

15
黄苔亦可见于寒湿证,其特征是苔黄而湿润多津,舌质胖嫩,舌色多淡白,或兼见舌边齿痕。提示阳虚,痰饮或寒湿内停。

16
本图患者为肺部感染,舌苔由白转黄(舌边尚有白腻苔残余),苔质干裂,舌红不鲜。提示疾病由寒湿化热、化燥,津液已伤。

17
舌面十分干燥,舌苔黄厚干裂,颗粒粗糙,舌前部有裂纹。提示邪热炽盛,津液耗伤。

18
舌苔剥落处,舌面光滑无苔,称为“剥苔”。提示胃阴、胃气已虚,或气血不足,不通续生新苔。

19
本图患者为胃溃疡,舌苔多处剥落,剥落处舌面仍有新生乳头,称为“类剥苔”。提示气阴不足,舌苔复生较慢。

20
舌粘腻乳头萎缩,舌苔全部退去,舌面光滑如镜,称为“镜面舌”提示胃气、胃阴枯涸。多见于热病伤阴后期,内伤阴虚、气血两虚等证。本为红绛镜面舌,由热盛阴液枯涸所致。

21
舌苔浮于舌面,刮之即去,其下不能续生新苔,是由胃气、胃阴大伤,舌苔失养所致。本图患者为肝癌晚期,舌质红绛,舌面起刺,舌苔黄浊,不刮自脱。提示内热炽盛,胃阴大伤。

22
舌象的动态变化,对于判断疾病的进退和转归具有重要意义。两图是同一患者在不同时间的舌象。疾病初起时舌苔薄白,数日后,邪渐入里化热,舌苔亦变为黄厚腻。

(薄白苔)

(黄厚腻苔)
舌诊是中医学诊断疾病的特点和宝贵经验,是望诊中不可缺少的重点部分。病之“经络”、“脏腑”,“卫、气、营、血”,“阴、阳、表、里、寒、热、虚、实”,皆必形之于舌,舌为辨证的重要依据。

