做了牙齿矫正,到底会不会变美?

矫正牙齿绝对是

改变人生的大事

萌生了念头

但又真心觉得太麻烦

担心年纪大了来不及

又怕牙齿松动

想带孩子带个牙套

又怕他被同学嘲笑

矫正牙齿,医学上称作正畸,也就是通过现代的科学技术手段,治疗和预防牙齿和面部骨骼的错位和畸形,从而达到牙齿面部的平衡,稳定和美观。

比起无数个不能自信大笑的瞬间,比起正畸后对颜值的提升和健康的积极作用,正畸的过程真的不算什么。

内心戏先收一收,关于正畸,我们搜集了一些大家关心的问题。有请和睦家牙科的正畸专科周磊医生为我们逐一解答。

正畸的作用是什么?

地包天、龅牙、牙齿歪斜、牙列稀疏等情况,建议都可以去做做正畸

 

俗话说"齿白三分俏,貌美牙为先",一口洁白整齐的牙齿对颜值和个人自信心的提升是不可估量的。

 

但从正畸医生的角度来说,并不仅是外貌和心理方面的作用,更多的是对口腔健康的巨大影响。

比如整齐排列的牙齿更利于清洁,可以预防龋齿和牙周病;矫正后获得的理想咬合关系,可以提高咀嚼功能及保护面部颞颌关节等等。完美的矫正是健康,功能,美观和长期稳定的和谐统一。

 

畸的效果堪比整容?

对于成年人来说,正畸治疗主要是移动牙齿。当前牙位置发生改变时,嘴唇的前后向位置和唇齿关系也相应改变,这样就会带来鼻子以下或者面下1/3部的容貌变化。

比如突的嘴唇变平,面部更协调,更美观。这也就是大家所说的整牙堪比整容的主要原因。

成年人面部骨骼已定型,牙齿的移动对面部外貌的影响是有较大局限性的。

但是对于正处于生长期的孩子,早期正畸治疗通过引导面部骨骼的生长,可以最大程度的改善不协调的面型,起到堪比整容的效果。

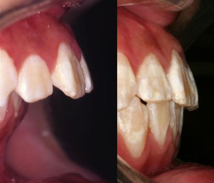
比如下面的“地包天”和短下巴两个孩子的治疗前后对比——

“地包天”治疗前后对比

短下巴治疗前后对比

孩子牙齿没换完就不能做正畸?

不但很多家长这样想,有些非正畸专业的牙科医生也这样认为。

实际上,孩子在乳牙期以及替牙期有很多不良习惯,牙齿畸形, 或面部骨骼发育异常问题,如果家长不能及时纠正或者矫正,将会大大影响口腔面部骨骼的正常发育,造成严重的后果。即使以后再去矫正,不仅浪费时间和精力,效果也会大打折扣。

所以我们(包括美国正畸协会)建议孩子不要晚于7岁做第一次正畸检查,由专业的正畸医生判断每个孩子的矫治时机。既有可能是乳牙期,替牙期的早期矫治,也有可能是换完牙后的综合性矫治。

比如下面这个孩子我们在乳牙期将她的地包天纠正过来,引导面部骨骼正常生长:

 

上学的时候不想做牙套妹,现在上班好多年了想正畸还有机会么?

年龄不是问题,态度才是!

年龄没有限制!美丽没有界限!

请记住——

牙齿矫正不是孩子的专属,成年人同样可以整牙。

成年人正畸的周期会比孩子长,既然错过了小时候的最佳时机,那就现在立马行动,越早越好。戴上牙套确实需要勇气,但越早做,就越早能体会到那种自己正在一天天变美的神奇感觉!

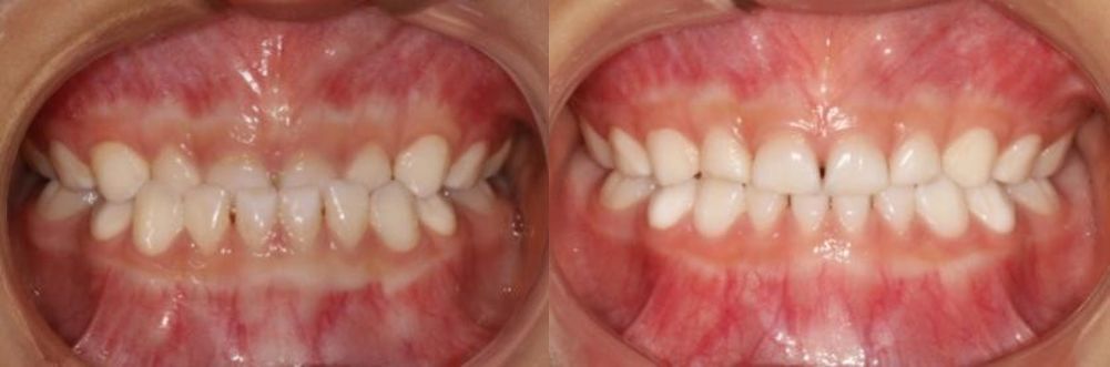
看看下面我们这个成人患者治疗前后笑容的对比:

从专业的角度来说,决定着是否能够接受矫正治疗的关键因素不是年龄,而是牙周的健康状况。如果成年人有牙周炎,需要先及时治疗,治好后才能开始牙齿矫正。

怕疼人士的担忧:正畸会疼么?

怕疼使很多人不敢做牙齿矫正。

其实并不可怕。现在我们使用的轻力矫治技术,可以提供安全舒适的矫正,让患者感觉不到疼痛或仅有轻微不适。

治疗过程中牙齿受力后感觉酸胀和咬合无力也是暂时现象,一般都在可承受范围内,不会影响到吃饭和睡觉,并且在两三天或一周后都会自然消除。

 

正畸只能戴钢牙套么?

那个整牙被旁人嘲笑的年代,早已一去不复返啦!

现在,正畸医生制定好治疗计划以后,有多种牙套可以选择。

除了传统金属材质的钢牙套,还有接近牙色的陶瓷牙套,以及可以自由摘戴的透明隐形牙套,对美观均不产生影响。您可以根据自己的需求做出选择。

至于如何选择,一定要向专业牙科医生咨询哦~

那正畸后会导致牙齿松动么?

不会!

正畸治疗过程中,牙齿会有一定生理性松动,是正常反应。因为牙齿周围的牙周组织在生物力作用下发生骨改建,从而牙齿可以移动到新的位置。但规范的正畸加力不会导致正畸治疗结束后牙齿的松动。

 

牙齿正畸后会不会反弹?

遵医嘱佩戴保持器就不会。

因为在牙齿正畸移动结束之后,牙齿周围牙槽骨的改建还没达到稳固,所以牙齿在新的位置上还不稳定,摘掉牙套后如果不佩戴保持器,就会发生反弹

因此正畸治疗结束后一般需要患者戴保持器,通过保持器保持牙齿在新位置上一段时间牙齿才会慢慢稳定下来。

 

除了以上这些问题,在正畸治疗过程中,还必须坚持和牙医进行常规的口腔检查,和洁牙师进行常规的洁牙,从而保证牙齿和牙龈在正畸治疗过程中的健康状态。

您的灿烂笑容,值得被记住,也配得上所有的精雕细琢! 每个人都期待遇到完美的自己,赶快行动起来,让我们专业的正畸医生,帮您找到您更明媚的笑容!

◆ ◆ ◆  ◆ 

 


上一篇:智齿不疼不用拔?很多人都错了!
下一篇:影响颜值的牙齿,何时矫正才不晚