氟斑牙患者前牙贴面修复(案例)
上前牙的牙体缺损或颜色异常,严重影响整个颌面部的美观。较小的缺损可通过树脂充填得到解决;涉及切角的较大缺损或牙齿颜色异常,树脂充填常难以获得令人满意的效果,因此大多数患者会选择修复手段治疗。随着人们对口腔科学的逐步认识,保护牙体组织的观念越来越强,因此,大多数患者会选择磨除牙体组织极少的贴面修复。瓷贴面以其美观程度高、效果稳定等因素,逐渐取代树脂贴面而成为首选。与大家分享一例氟斑牙伴牙体缺损的单颗中切牙铸瓷贴面修复的案例。
治疗过程
患者基本情况

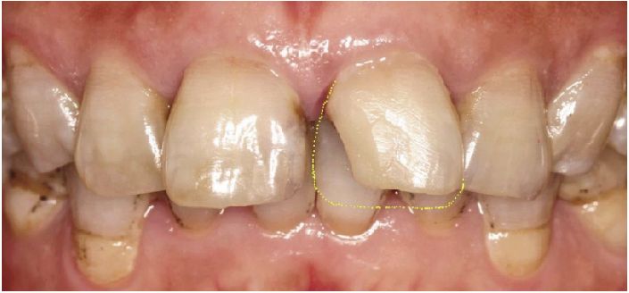
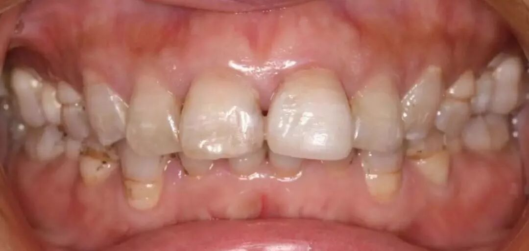
图1 修复前21近中邻面累及切角的大面积牙体缺损
患者女,53岁。
现病史:左上中切牙近中龋坏近十年,反复充填、脱落数次,缺损范围渐扩大,2天前再次脱落后牙体医师拒绝充填,建议修复治疗。
临床检查可见:21近中缺损达临床冠颈部1/3、切端近中1/4,可见屡次树脂充填形成的釉质短斜面,切端短于11。牙髓活力正常,无叩痛,不松动,龈缘高度对称,无明显红肿。11近中静止龋,发黑,唇面黄白色氟斑条纹。
沟通后患者为了最少量磨除牙体组织而选择瓷贴面修复。
患者天然牙为明显的氟斑牙,修复前充分沟通,患者表示能够接受瓷贴面修复后与邻牙差异明显的结果。
拟行瓷贴面修复。
病例分析

图2 拟恢复21形态
难点 该病例中,牙体大范围树脂充填,釉质损失多。患者天然牙位氟斑牙,仅修复21难度大。
易点 患者期望值适当,可以接受修复体与邻牙轻微色差。

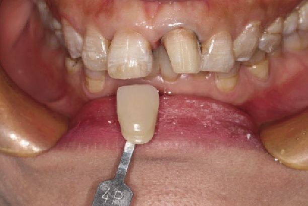
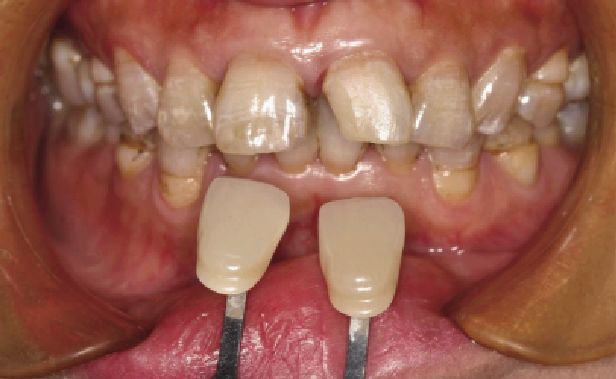
图3 修复前与同名牙比色

图4 排龈后牙体预备

图5 牙体预备后基牙比色

图6 取硅胶印模

图7 制作石膏模型




图8 与技师沟通修复细节

图9 修复体唇面观

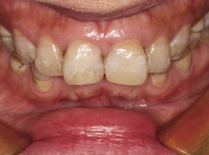
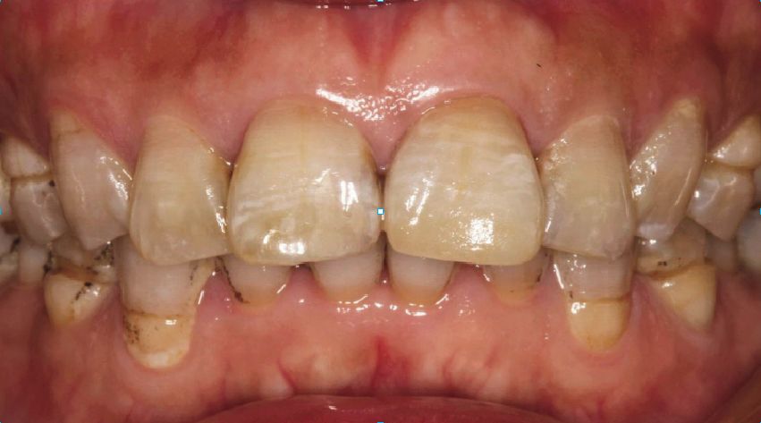
图10 临床试戴,与同名牙相比,除颈部外,其余部位色差较大

图11 拍照并跟技师沟通

图12 与技师交流需修正的具体情况

图13 修复体唇面

图14 修复体舌面

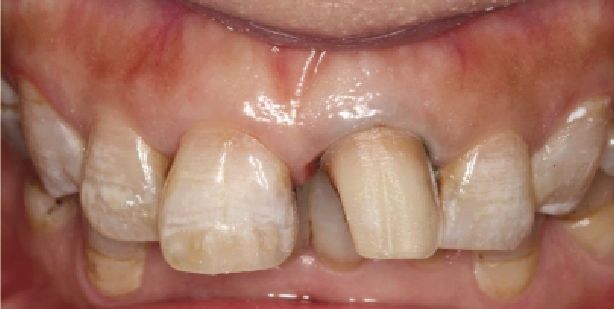
图15 调改颜色后的贴面粘固后的效果

图16 贴面舌侧边缘与基牙密合

图17 3个月后随访

