口腔贴面粘结与贴面病例分享
贴面修复是通过粘结材料将修复体固定到患牙的唇面, 以遮盖前牙唇面缺陷的修复方法。贴面粘结至关重要。瓷贴面的粘结实际上就是瓷与釉质的粘结。
贴面粘结分为2步:牙面处理和贴面处理。(一般贴面修复体在制作时已经做了制备处理,如没有,瓷贴面内侧请用9.5%氢氟酸酸蚀牙面15-30秒,树脂贴面的内侧面应用喷沙器或气体磨损器进行粗糙化)。
【牙面处理】

【贴面处理】

贴面粘结最重要是认真细心地按步骤进行操作,目前市面上各大厂家(例如Bisco choice 2,3M,Variolink N等) 的贴面粘结剂都有操作说明,多操练几次,贴面粘结技术就会得心应手。
【温馨提醒】
1、慎用遮色效果强的粘接剂材料(避免不透明效果、不均一效果、边缘白线)
2、粘接剂:最好选用透明的粘接剂,减少粘接变色环节的影响。
【贴面病例分享】
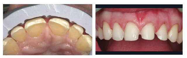
1、数据采集,术前牙齿形态

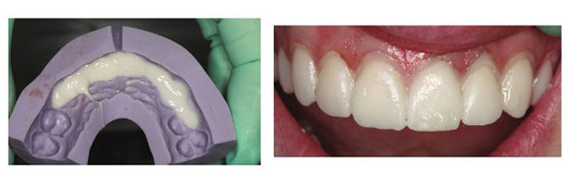
2、制作诊断蜡型和外形导板,进行医患术前沟通

3、患者条件允许者,建议备牙前先用自凝制作诊断临时冠,让患者试戴1-2周,给患者亲友看效果。

4、试戴临时冠度过适应期后,与患者沟通,制定一个患者满意清晰有效的制作方案。

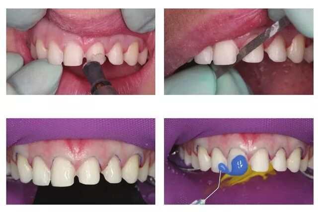
5、备牙后,利用外形导板进行检查

6、牙面处理


7、粘结,需把牙列上贴面同时就位,同时用极小的粘结剂粘结固位每个贴面后,才开始逐个粘结。

8、贴面完成。

病例摘自《Porcelain veneers: Treatmentguidelines foroptimal aesthetics》By Christopher CK Ho, BDS (Hons)。

