儿牙早期干预——MRC肌功能矫正,省钱!很省钱!
根据中华医学会的调查结果显示,中国青少年错颌畸形发病率: 在乳牙期(1-5岁)为51.84%
在替牙期(5-12岁)为71.21%
在恒牙期(12岁+)为72.92%
很多家长意识到了宝宝的牙齿不齐
但是大部分家长都觉得
孩子的牙都没换齐
什么措施都不用做,等到大一点
直接做矫正就好了,真的是这样吗?
我们先来了解几个概念
01 什么是牙齿畸形
牙齿畸形是指儿童在生长发育过程中由先天的遗传因素或后天的环境因素造成的牙齿、颌骨、颅面的畸形。如牙齿的排列不齐、上牙前突、下巴后缩、嘴巴歪斜等,一般分为牙性、功能性和骨性错颌畸形。
牙性错颌畸形,是指牙列相对颌骨位置异常所引起的畸形,也就是我们通常说的牙齿排列不齐等;
功能性错颌畸形,为喂养方式、呼吸方式等不良习惯引起的;
-
骨性错颌畸形,则是在成长发育过程中由于先天因素或环境因素导致的,诸如地包天、下颌后缩(小下巴)等。
02 什么是早期干预
小朋友从6岁左右恒牙萌出到12岁左右所有乳牙脱落,这个期间称为替牙期。这个阶段是孩子生长发育的青春前期和高峰期。如果是功能性或骨性错合畸形,那么在这个阶段进行早期咬合诱导,即早期干预,可以充分利用颌骨的生长潜能,通过改正不良习惯,促进或抑制颌骨的生长达到很好的治疗效果。而如果是单纯的牙性错合畸形可以等到12岁左右恒牙全部萌出后正畸治疗。
大家都知道矫正是很复杂的项目
除了时间之外,费用也是一个问题
小编偷偷告诉你
做早期干预会降低后期矫正的难度
有些孩子甚至可以通过早期干预达到矫正的效果
这样来看是省了一大笔钱的
那么,早期干预到底怎么实施呢?
MRC肌功能矫正
早期干预的方法

乳牙期和替牙期使用时存在固位差,所以使用传统矫正器矫正效果很不理想。儿童早期矫治(3—10岁)时,在众多早期干预的方法中,MRC肌功能矫正是一个很好的解决方案。
矫正原理:
通过对口腔内的肌肉等软组织进行控制,以及不良习惯的纠正,提早进行牙齿整齐度的管理和干预,同时,对牙列施加轻度的力量,以帮助牙弓扩张,调整咬合关系,改善孩子面型,以至于解决牙齿不齐和面部发育不足的问题。该技术已在澳洲、美洲和亚洲被广泛应用。
显著效果:
①有助于儿童养成正确的吞咽、摆放舌体、用鼻呼吸等良好习惯。
②及时预防和矫正牙列牙颌。
③促使面部肌肉正常发育,防止面部发育畸形。
引导颌骨生长提供机会,18岁后正畸只改变牙齿状态;
可降低创伤导致的前牙突出风险;
矫正有害口腔习惯;
改善外观,并非简单排齐牙齿;
引导恒牙萌出至更合适位置;
-
创造更美观的牙列、唇和面容外观。
三大优势:
“白+黑”轻松矫正牙齿:白天只需佩戴1-2小时,夜晚睡觉佩戴,只需10个月左右就能拥有整齐牙齿。
佩戴舒适:无毒无味无副作用,体积小、轻便易清洗。
陪伴式治疗:边玩边学边矫正。
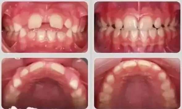
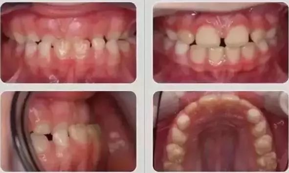
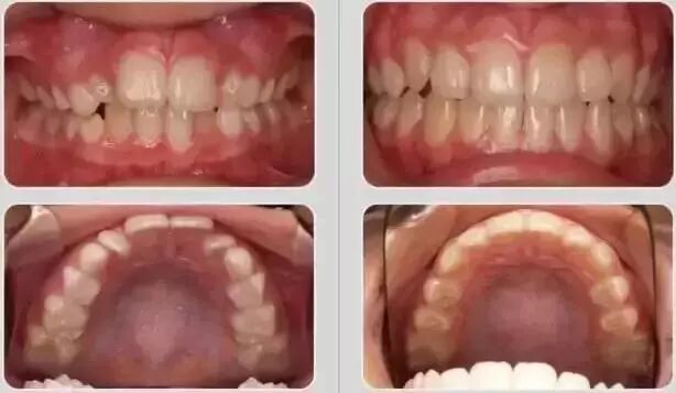
儿牙早期干预治疗对比:

乳牙期效果对比

替牙期效果对比

恒牙期效果对比
家长们,小朋友们牙齿不齐
还是要尽早解决
看牙越早越好,别再拖着啦

