能不能做矫正,跟年龄没关系,而是取决于它
”你笑起来真好看,像春天的花一样……”
笑是一个人最好的名片
有些人一笑起来,整个世界都变得温柔
但如果牙齿不齐,龅牙,地包天
不仅颜值大打折扣,还影响口腔健康

虽然知道牙齿影响颜值
但很少人愿意去改善
原因竟是认为
年龄大了,没啥效果,难得折腾
......

???
年龄大了就不能做矫正了?
变美的路都是艰难的
不改变的理由也很多
但众多原因中,唯独年龄不是理由
所以想美想瘦就赶紧行动起来
不辜负这大好时光

很多人认为,未成年人正处于发育过程,这段时间做矫正效果好、速度快,是矫正的最佳时期。
但你不知道的是,成年人虽然已经发育完成,但并不代表矫正没效果。和儿童矫正相比,成人矫正只是花的时间更长一些而已。
在我们临床上,年纪最大的矫正患者有近60岁的。年龄并不是区别是否可以矫正的关键因素。


并且成年人的依从性往往较青少年更好,成年人的知识系统更丰富,在配合度上更易达成医患共同的目标。
在这种情况下,成人矫正的效果甚至可能比儿童矫正效果更好。
矫正没有年龄限制,但能不能做矫正,还要看你的口腔情况,比如牙周健康状况,即牙齿是否牢固,口腔卫生是否正常。
如果牙齿有大范围严重的龋病,是不能做矫正的。戴上牙套后,牙齿清洁难度加剧,有可能引起更严重的龋病。所以矫正时的口腔清洁一定要做到位。

成人矫正在临床中,男性常见的困难是,因为抽烟饮酒及口腔卫生下降引起的牙齿变色、松动等风险,女性常见的风险则是因为激素水平的变化引起的牙周风险、因为生活状态变化引起的就诊困难(结婚拍婚纱照、怀孕无法就诊)等。
这些问题,在矫正之前需要自己考量清楚,是否有毅力在两年之内听取医生的安排建议,坚持到最后。一旦找到专业的医生,这些问题并不是无法解决。
很多人觉得矫正就是排齐牙齿,让自己看起更好看。所以有这种"我都结婚有娃了,美不美也就无所谓了"想法的人不少。
其实这是矫正的误解。
矫正严格上来说,不仅仅是为了美(当然,美肯定是大家做矫正的主要原因),更重要的是,对口腔健康的影响。

咬合影响对口腔健康影响巨大。如果牙齿不齐会让上下牙咬合受力不均,不仅会造成牙齿磨损,还会使得牙齿容易松动、脱落等情况,从而影响正常咀嚼。
而经过牙齿矫正后,牙齿彼此排列改善、上下牙正常咬合,咀嚼功能正常后,消化食物,营养吸收也就不是问题了。

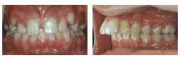
牙齿矫正后,龅牙,地包天,牙齿拥挤,深覆合等牙齿问题,最直接的影响就是颜值。通过矫正,牙齿排齐后,同时让脸型线条更加精致,颜值瞬间提升。

牙齿不整齐,食物残渣和牙垢容易在牙缝内堆积,一般的刷牙都无法清洁到,容易导致牙齿龋坏等问题。牙齿矫正后,牙齿彼此排列整齐,口腔保健清洁更加容易,能有效防止口腔疾病发生。
所以说矫正效果堪比整容,是真的不夸张。同时还可以让牙齿更加健康,也确实是省钱又省力了。

