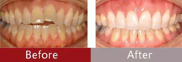
隐形矫正 让您的牙齿悄悄变美
很多小伙伴面对问题牙齿, 想进行牙齿矫治,却望而却步, 迟迟没有付诸行动… 原因是不希望变成别人眼中的 “钢牙妹”OR“牙套弟”, 心理需要足够强大, 还要忍受吃饭说话的不舒服
REC
对于以上情况, 正畸医生会建议选择隐形矫正 其矫正器是透明的,不易被人察觉 可自行摘戴,方便清洗 随着时间的推移,这一系列透明牙套 逐渐把牙齿矫正到合适的位置 赋予你自然整洁的笑容
大多数人对隐形矫正的了解甚少 今天咱们就来谈一谈 隐形矫正是如何进行的?
每天佩戴隐形矫正器22小时 (不少于20小时) 吃饭和刷牙时可以摘下矫正器
随着时间的推移 牙齿逐渐发生改变 每两周左右 更换一副已经制作好的矫正器
按时到牙医处复诊检查
按时到牙医处复诊检查

整个疗程从1-2年的时间
(根据个人情况而定)
隐形矫牙“进行时”,需要注意什么?
每天早晚及三顿饭后都要刷牙,每次不少于三分钟。要选用毛软头小的优质牙刷,保证隐形矫正器及牙面上不能有食物残留。吃零食及喝较甜较酸的饮料后,需及时漱口。
清洁矫正器
每天早上、睡前必须清洗牙齿矫正器,彻底清洁牙齿后再戴上。不配戴时,牙齿矫正器必须放在清水中。
日常饮食
避免咀嚼较硬的食物(如棒冰、排骨、鸡腿、牛肉干和带核带壳的零食),避免咀嚼较黏的食物(如口香糖,糯米制品,奶糖等),尽量不喝含糖量高的饮料(如可乐,雪碧,果汁等),把水果(如桃子、苹果等)切成小块吃或者榨成果汁。
隐形矫正疗程较长,在此期间,求美者必须很好地与医生配合,有问题及时跟医生沟通,才能达到满意的效果。
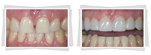
牙齿隐形矫正 让您悄悄变更美
隐形牙齿矫正器,它既能满足矫正牙齿的需要,又同时避免了传统托槽矫正能看到“钢牙”的缺点。
它是一种近乎隐形的治疗方案,采用专有SMARTForce,可为您量齿定制一系列可自行摘戴的矫治器。这些矫治器是由近乎隐形的高分子医用塑料制作而成的,只需坚持佩戴,并按时复诊,牙齿就会逐步移动到理想位置。
他们都在悄悄改斜归正
有了隐形矫正 让你不再是“铁齿钢牙” 看不见的牙套,看得见的美丽 为您的美丽笑容保驾护航

