拼多多买的牙套,不矫正牙反而毁牙, 别再交智商税了!
拼多多上市之后深陷“假货门”,在此小编说句公道话,无论是拼多多或者淘宝,无论是19.9,还是59.9,还是200,自己网购带牙套矫正,你真的认为会有用吗?

拼多多的潜在逻辑在于,工厂剩余的产能对接三四五线乡镇消费者。或许你会认为不放心,那么你在其他网购平台上购买就能放心了?
在淘宝上搜索“牙套”或者“牙齿矫正器”,就仿佛打开了新世界的大门,这些矫正器从几十元到几百元不等,随手点进一家销售过千的店家看买家评论,好评率惊人。
一个买家的追加评论里写道“两颗小虎牙已经完全矫正了”,大哥你才买回来使用6天耶!你牙齿是面粉做的吗?
价格怎么样?便宜!
评价好吗?好评如潮!
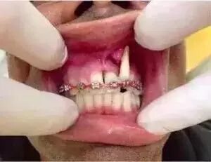
但是你可知,你很可能会成为下一个他!

这是一个国外小哥哥
在网上买了DIY托槽
(看起来专业,实际上)
结果,治废了!
为这位小哥哥的勇气和胆量 点个赞
但对于不把牙齿当生命的DIY行为
只能说
no zuo no die
很傻很天真

你对正畸的力量一无所知
在牙齿正畸矫正的过程中有太多的因素要考量,一定要找专业的口腔正畸医师。
矫正流程大概分为12个步骤:
1咨询医生
制定矫正方案。主要有隐形矫正、陶瓷托槽矫治器、钢丝托槽矫治器,根据自己的情况选择合适的方案。
2拍片
拍X光牙齿及头部颌骨照片。目的是确定颌面及牙列畸形的分类类型,骨骼发展方向等,利于以后制定准确的矫正方法。
3制模
用一种快速定型的取印模胶剂放到你牙齿上,咬1-2分钟就可以取出,翻制成为你的牙齿的模型。备用,为了以后矫正对比方便。
4拍照片
医生在矫正之前给你拍各角度的牙齿照片,备用,为了日后对比和完善病历。
5拔牙
按照医生制定的方案,分批次的拔除需要拔的正畸牙,一般的人大概需要拔4个左右牙齿,部分特殊的,比如智齿多的,牙齿过于密集的也有拔8个左右。(有的人则不需要拔,仅片切就可以了)如果有蛀牙什么的就会先补好,有牙结石的也会先洗牙。(拔牙的目的是为了空出空间,来给那些因牙齿拥挤导致不整齐的牙齿规位,至于拔牙的缝隙到时候会合拢,不用过分的担心)
6分牙
有的分牙是与拔牙同时进行的,有的则是在拔牙后进行,用分牙圈套在上下左右的大牙之间,一般需要分1个礼拜左右。目的是为了使牙齿移出一点空隙,方便将牙套戴到准确的位置。分牙一般来说会有点酸软无力,上下牙齿碰到会有点痛哦。
7戴牙套
分牙完成后就可以直接上牙套了。(戴牙套初期有点磨嘴,第一个星期可能会有牙周酸软感,之后不适症状将会消失。如果有口腔溃疡,可以晚上睡觉前喷西瓜霜,补充点维生素B、锌等。)
8复诊
一般是一个月复诊一次。具体时间医生会与你预约。(复诊一般情况就是给你加力,好让牙齿按照预期进行移动。)
9上橡皮筋
一般来说,牙齿的排齐会因本身的牙齿移动快慢和医生的技术各方面因素而不同。一般1个月左右就会看的出来一些变化,而6个月左右就基本会排齐了。排齐以后就是收牙缝,收拔牙的缝隙,就需要皮筋的帮忙。皮筋在吃饭的时候是要摘下来。皮筋的效果可是非常神奇的哦。
10调型定型
收牙缝的时候也是就调中线的时候,等牙缝收好了,中线也基本对称了,自此就可以展露迷人的笑容了!但这个时候还不能摘牙套,牙齿要再稍微定型一段时间!
11摘牙套
最激动人心的时刻到了!为了更加完美,你可以去洗个牙或者做个美白。让自己更加自信,神采飞扬。
12保持器
可别以为摘了牙套就大功告成了。整牙后是要注意保持定型的,所以保持器是非戴不可的。一般来讲,保持器都是前半年24小时戴,以后就晚上戴。(吃饭可摘下,注意清洁)!!!在坚持一年半左右的时间,牙齿固位稳定,就算大功告成。
·END·

