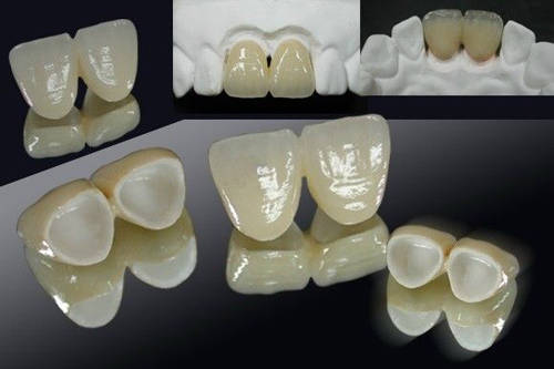
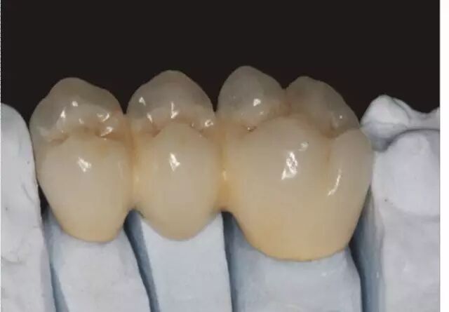
二氧化锆全瓷牙的七大优势
辐射小:
二氧化锆烤瓷牙是自然界中以斜锆石存在的一种矿物。医用氧化锆经过清洁加工,在锆中保留的少量α射线的残余,其穿透深度很小,仅60微米。

密度大、强度高、无金属内冠:
二氧化锆烤瓷牙密度和强度很高。
(1)强度比EMPRESS二代高1.5倍。
(2)强度比INCERAM氧化锆高60%以上。
(3)独一无二的抗破裂性及破裂后强韧的固化性能。
(4)可制作6个单位以上的烤瓷桥,解决了所有全瓷系统不能做长桥的问题。
美学效果优异:
成功的全瓷牙修复外表逼真美观、坚固耐磨,色泽近似于天然牙,容易清洁,既能回复牙齿的功能,又有美容的作用。尤其是对美观要求高的患者更加重视其色泽自然这个优点,因为这样就使修复体同健康牙齿浑然一体,很难区分了。
可靠性最强:
如果口腔中镶嵌的假牙是包含有金属的烤瓷冠,遇到需要做头颅x线、CT、核磁共振检查的时候,将会受到影响甚至拆除。非金属的二氧化锆对x线却无任何阻挡,只要镶入二氧化锆烤瓷牙,日后需头颅x线、CT、核磁共振检查时都不需要拆掉假牙,省去很多麻烦。

生物相容性好:
作为高科技生物材料,二氧化锆烤瓷牙非常优秀。生物相容性好,优于各种金属合金,包括黄金。二氧化锆对牙龈无刺激、无过敏反应,很适合应用于口腔,避免了金属在口腔内产生的过敏、刺激、腐蚀等不良反应。

减少磨损:
二氧化锆烤瓷牙材料与其它全瓷修复材料相比其强度上的优势使医生不用过多的磨除患者的真牙,就能达到极高的强度,号称陶瓷钢铁。

品质极高:
二氧化锆烤瓷牙具有极高的品质,说其品质高不仅因为其材料,设备昂贵,更因为其运用了当今最先进的计算机辅助设计、激光扫描,再由计算机程序控制研磨制作而成,尽显完美。

