瓷贴面:属于牙医的艺术品!
瓷贴面是指在不磨牙或少磨牙的情况下,应用粘接材料,将薄层瓷修复体固定于患牙唇、颊面,以恢复影响美观的缺损、遮盖变色等缺陷的一种修复方法。因其较冠类修复备牙少,对牙髓刺激小,颜色稳定、美观,具有良好的生物相容性、耐磨损,不易着色及附着菌斑等特点,易被患者接受。尤其在对年轻恒牙、髓腔较大的牙进行修复时更有利于保存活髓。特别适用于严重的氟斑牙、四环素牙、牙齿缺损、牙齿间隙过大、牙齿不齐等。
完美的牙齿不会给你带来尴尬
有了瓷贴面
你不必遮挡你的笑容!

你有没有被人嫌弃过牙齿黄?怕影响形象不敢随意张口?抛去难看不说,妹子们都没法好好涂口红了,口红色加上发黄的牙,简直就是西红柿炒鸡蛋!

在美牙技术可越来越受大众青睐的今天,想达到唇红齿白的美人标准,其实你只要做个瓷贴面就好了。
瓷贴面能修复哪些问题牙?
看看哪些人群在选择使用牙贴面来让牙齿变美:
丨牙齿染色:当牙齿染色过重,比如氟斑牙、重度四环素牙,无法用洗牙、冷光美白等方式来改善,可以使用牙贴面,牙贴面能够遮盖牙齿上任何一处小污点。

丨牙齿受损:过度磨损、过量饮用碳酸饮料、牙齿小缺口以及意外断裂都可能导致牙齿出现严重破损,使用牙贴面可以把上述问题都进行隐藏。
丨过小牙:牙体明显过小,呈锥状形态,邻牙与邻牙之间有角度间隙。

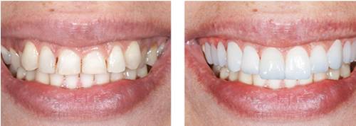
牙贴面前后对比图
丨牙缝过大:牙贴面可以遮盖过大的牙缝,对于不想用正畸的方式来关闭牙缝的人来说,是一种方便快速的方法。
瓷贴面有哪些优点?
1、最新的修复材料和自然牙齿有十分类似的光学性质(反光和透明度),修复后的牙齿看起来十分逼真。

2、最常用的陶瓷贴面材料,几乎不会因为咖啡,红酒,烟草而变色。
3、和配置牙冠相比,贴面修复对天然牙齿的打磨要少很多。
4、和牙齿矫正比起来,治疗过程短。是一种美化牙齿的快捷手段。
瓷贴面可以使用多久?
陶瓷贴面通常能使用5至10年,而复合树脂材料的使用寿命则要短一些。2003年一份权威回顾性临床研究显示15年成功率93%。

但是,无论如何,牙贴面最终都需要更换。虽然牙贴面可以用粘结剂牢牢固定在牙齿上,但贴面松弛脱落的情况亦有发生。
温馨提示:如果发生上述情况,应带着贴面尽快联系医生。为延长牙贴面的使用寿命,你需要保持良好的口腔卫生习惯并且定期看牙。

