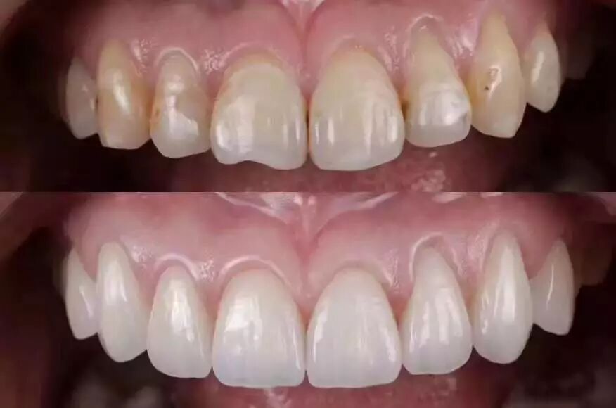
烤瓷牙换全瓷牙,和牙龈黑线说拜拜!
提起烤瓷牙,很多人一肚子气,自从戴上烤瓷牙冠,经常牙龈红肿流血,还不到一年牙龈边上就黑黑的,有条黑线,难看极了。
随着牙科技术的发展,现在全瓷牙已经逐渐替代金属烤瓷牙,成为爱美人士首选的牙齿修复方式。
全瓷牙完全由陶瓷切削烧制而成,少了不美观的金属层,让患者佩戴更舒服,全瓷牙它可以达到与自然牙一样的透明度和美观。那么全瓷牙的种类有哪些呢?它的寿命又有多长呢?
1
全瓷牙的种类
全瓷牙可分为铸瓷、二氧化铝全瓷、二氧化锆全瓷,三大种类,不同的材料,有着不同的优缺点。
1、 铸全瓷
优点:透光性最佳,美观性最好,使用广泛。
缺点:强度不足。仅适用于前牙。
2、二氧化铝全瓷
特点:密合度好,遮色好,价格比较经济。
缺点:美观性和透明度没铸瓷好。
3、二氧化锆全瓷
特点:是目前强度最高的全瓷修复体,且能达到高度美观,适用范围非常广泛。
缺点:价格较昂贵。
2
全瓷牙的寿命
全瓷牙因为材料坚固,稳定性强,较为经久耐磨。一个经过正规口腔医师严格、规范、正确的操作、设计、制作的烤瓷牙,戴在口内的使用年限,65%左右能使用20年以上。全瓷牙的寿命一般会比普通烤瓷牙要长。而如果平时有做好对口腔的护理,全瓷牙的寿命也更加的延长,反之,全瓷牙的寿命也会相对的缩短。
3
哪些因素影响全瓷牙的寿命
1、全瓷牙的材料会影响到使用寿命,因此选择好的材料会使全瓷牙的使用寿命更久一些。
2、牙齿本身的情况与全瓷牙的使用寿命密切相关,天然牙齿的缺损情况、牙周状况都影响全瓷牙的使用寿命。
3、全瓷牙的使用寿命也和个人的日常使用情况有一定关系。平时应尽量少吃坚果、骨头等硬食。
4、口腔医生的水平也会影响到全瓷牙的使用寿命。一个专业的口腔医生经过严格、规范、严谨的设计,制作出来的全瓷牙,在使用寿命上相比非专业的医生来说更有保障。
5、全瓷牙的使用寿命与个人的口腔卫生状况有关。良好的口腔清洁,有利于牙周病的预防。使全瓷牙的使用寿命延长。

