是什么影响了全瓷牙的寿命?
现在越来越多的人开始使用全瓷牙!
因为:全瓷牙无金属内冠,生物相容性好,色彩形态逼真,美学性能高,是目前理想的一种修复体。
因为:透光性与真牙类似,磨牙量少,一定程度上保留了牙齿组织,不必担心瓷崩的情况。
因为:牙龈边缘无黑线、厚重感及红肿出血等现象,相比金属烤瓷牙更加美观、自然。
因为:佩戴更舒服,导热性能低,仅为黄金的十七分之一,更有利于保护牙髓健康。因此成为目前影视明星牙齿美容的首选。

然而全瓷牙虽好,
能使用一辈子吗?
所以,全瓷牙的寿命,
也成了我们不得不关注的问题。
是什么影响了全瓷牙的寿命?
(1)全瓷牙的材料会影响到使用寿命。在其他情况都一样的时候,当然选择密度和强度更高的材料使用寿命更久一些。维乐指出二氧化锆全瓷牙是目前强度最高的全瓷修复体,其强度比EMPRESS二代高1.5倍。
(2)全瓷牙的使用寿命也和个人的日常使用情况有一定关系。应尽量少吃坚果、骨头等硬食,则寿命长。
(3)全瓷牙的使用寿命也和牙齿本身的情况密切相关,真牙齿的缺损情况、牙周状况都影响全瓷牙的使用寿命。
(4)与个人的口腔卫生状况有关。良好的口腔清洁,有利于牙周病的预防。否则,全瓷牙是完好的,但是下面的压根因为牙周病而松动了,这颗牙也保不住了。
(5)口腔医生的水平也会影响到全瓷牙的使用寿命。一个专业的口腔医生经过严格、规范、严谨的设计,制作出来的全瓷牙,在使用寿命上相比非专业的医生来说更有保障。
全瓷牙如今已经成为患者最为喜爱的一种修复体,几乎可以以假乱真,而全瓷牙的寿命有多久?性价比是不是真的令人满意,这也是值得探讨的问题。

什么是全瓷牙
全瓷牙,又称全瓷冠,是覆盖全部牙冠表面,且不含金属内冠的瓷修复体。由于内冠不再使用金属,而采用与牙齿颜色相近的高强度瓷材料制成,因此较金属基底烤瓷修复体更美观,半透明度与天然牙近似,修复后牙龈边缘表现更加自然,可达到仿真效果,且具有对周边组织无刺激等。

根据制作材料不同全瓷牙又可分为两种:
1、玻璃陶瓷类全瓷牙。如:热压铸瓷冠,玻璃渗透瓷冠,及采用CAD/CAM技术研磨完成的玻璃陶瓷冠等。
2、氧化铝、氧化锆全瓷牙,通过应用CAD/CAM技术研磨完成氧化铝、氧化锆内冠,再通过分层堆瓷技术添加外层饰瓷,制作完成的全瓷牙或无外层饰瓷的全锆冠。

一般来说,全瓷牙就分为以上两类,而由于材料坚固,稳定性强,因此奠定了经久耐磨的基础。一个经过正规医师严格、规范、正确的操作、设计、制作的烤瓷牙,戴在口内的使用年限,普通合金烤瓷经研究得出,65%左右能使用20年以上。全瓷牙的寿命比普通烤瓷牙要长。如果你平时悉心呵护你的全瓷牙,那么寿命能更长,甚至能用一辈子。反之,全瓷牙的寿命也会减少。
哪些因素会让全瓷牙“折寿”
1、全瓷牙的材料会影响到使用寿命。其他情况都一样的时候,当然选择好的材料可以使用的更久一些。一般来说,贵的材料更好,一分钱一分货。不过也不完全,适合您的材料是最好的。二氧化锆全瓷牙是现在最好的全瓷牙。
2、全瓷牙的使用寿命是多久和您牙齿的本身情况关系密切,一般来说,如果您本身的牙齿是那种又粗又长的,做了全瓷牙以后使用的时间就长。
3、个人的使用情况有一定关系。每天全瓷牙喝稀饭和每天用它啃骨头那肯定是不一样的。
4、牙医的水平也会影响到全瓷牙的使用寿命。这个不难理解。要是医生的水平比较高,做出来的全瓷牙肯定使用的更久.
5、经济情况和个人的忍耐力当然也会改变全瓷牙的使用寿命。

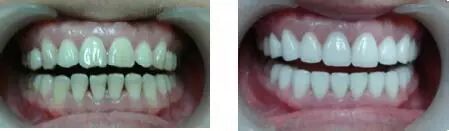
(全瓷牙修复前后对比图)
A、美观逼真:治疗后的牙齿的颜色可以喝真牙颜色一样,而且永久不变色,在外人看来会跟真牙一样。
B、范围广:它适合各种不满意的牙齿,如个别牙不整齐,出现牙缝过宽、断牙、缺牙等都可以通过这种方法来弥补。
C、所需时间短:做二氧化锆烤瓷牙很方便,一般的一个星期的时间即可完成,只需要就诊两次,在第一次时把牙体准备好,第二次安装。
D、生物相容性好:在治疗后不刺激口腔组织,易清洁,生物相容性好,一般不会出现组织过敏。
E、极高的强度:这是通过高温,把金属与陶瓷粉结合在一起后,可以有足够的力量来承受口腔内的咀嚼力,耐磨耐用。


