正确看待烤瓷牙,切莫掉入【低价陷阱】

烤瓷牙俗称牙冠、牙套,是由惰性金属和烤瓷制成,内冠是一层金属材料,常见镍铬合金,钛合金,钴铬合金。外冠是瓷粉。通过高温烧结融附而成。烤瓷牙既有金属的强度又有烤瓷的美观性。是目前比较常见的修复牙齿缺损的有效方法。

其实烤瓷牙真的是一个很有争议性的话题,而谈到烤瓷牙,小编建议大家不要仅仅只是为了贪图快速,贪图美观而去选择做烤瓷牙冠。还是需要综合自身的情况,看看自己究竟适不适合做烤瓷牙。更不要因外边宣传的广告而掉入烤瓷牙的“低价陷阱”。

一般来说做烤瓷牙只需要将牙齿表面均匀磨掉约1.5-2mm,这个磨除的程度是不会伤害到牙本质的。如果只是为了美观,就磨掉原先健康的牙齿,那当然是不划算的,但是以下这些牙齿本身有问题的人,烤瓷牙修复就不失为好的选择:

适合范围
            


严重蛀牙做了根管治疗,没有神经的脆弱牙齿                    

牙体缺损较大,甚至单颗牙缺失的                    

牙齿变色或者色调不佳的,如釉质发育不全的、四环素牙、锥形小牙等                    

牙齿形状特异、不美观,同时又不适合做矫正的(异形牙、错位牙)

部分咬合不正常的


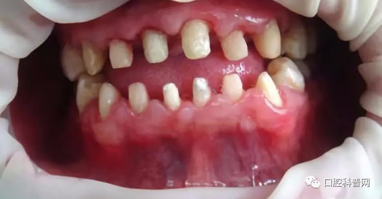
但是,在磨牙过程中,如果医生技术或者材料达不到标准的话,那么就会出现上图这样的惨剧。此外,磨牙还会伤害到牙龈组织或牙髓,甚至会使烤瓷牙与原牙不密合,烤瓷牙边缘刺激牙龈使牙龈肿痛,得牙周疾病。别以为拔牙是小事,有些人半边脸肿得像面包!原因是......

烤瓷牙出现这几种情况,必须拆


1

龈黑线的


这种也是佩戴劣质烤瓷牙后最常出现的情况,因其价格低廉备受欢迎,但是在长期的佩戴过程中会出现牙龈发黑的现象,这是因为非贵金属烤瓷牙在口腔内氧化成灰色氧化物,时间久了沉淀于牙龈,造成牙龈黑线,若不及时拆除,很可能会出现牙龈炎、牙周炎甚至牙齿脱落。



2

引起真牙蛀牙的


如果医生备牙不合格,牙齿模型不精致,烤瓷牙加工厂技术不到位,佩戴后出现边缘不密合的情况,会给细菌提供有利条件,这些细菌进入牙冠里面但是又出不来,你只能眼睁睁的看着牙齿慢慢烂完。真是赔了夫人又折兵,在这种情况下,必须拆。



3

未治疗好牙周疾病的情况下

一些牙医和患者在做烤瓷牙的时候急于求成,对牙龈牙周没有做一个详细的评估,比如本身有牙龈炎症,牙龈红肿、萎缩等,在没有治疗的情况下安装烤瓷牙导致一系列问题的应该尽快拆除。



4

烤瓷牙崩瓷

选择什么样的加工厂,患者是否粗暴对待烤瓷牙?用用就知道了,崩了会怎么样?崩瓷边缘较尖锐,会造成舌头,唇部粘膜创伤,而且崩瓷后金属外露,在长时间的食物摩擦及唾液的作用下发生化学反应,那就一个字,拆!


5

牙体预备失败


总体说来,提醒:千万别掉入烤瓷牙的“低价陷阱”。


劣质的烤瓷牙:


边缘密合性差;与人体的生物相容性差,部分患者配戴一段时间后颈缘处的牙龈组织会出现“黑线”,甚至还有此类烤瓷牙引发过敏反应的病历报道,临床上较容易出现崩瓷现象。

 


烤瓷牙如使用3—5年便开始出现各种症状,如崩瓷、失真透光、色泽欠佳、脱落、咀嚼无力、牙龈出血、牙龈变色、牙周病变等。以上各种情况均属于烤瓷牙失败,其中牙冠边缘出现黑线是非常常见的情况,对于这种情况,应尽早修复,避免二次伤害。

 

在做烤瓷牙之前一定要考虑全面,烤瓷牙用得好,能够解决不少牙齿问题,这就需要咨询专业牙医来为你量身定制。我们看待烤瓷牙要保持理性,不能存在偏见。



上一篇:是什么影响了全瓷牙的寿命?
下一篇:全瓷牙比烤瓷牙贵几倍,真的值吗?