牙齿美容,让你成为这条Gai上最靓的仔
走在马路上
是不是梦想自己就是这条街上最靓的仔?

梦想还是要有的
万一实现了呢?
要想成为这条街上最靓的仔
那么就从拥有这条街上最靓的牙开始吧

关于牙齿美容,有正畸、修复、美白、牙龈整形等方法,针对改善牙齿“色、质、形”方面的问题。生活中有的人牙齿是“大黄牙”“四环素牙”,有的人是“缺失牙”“牙齿不整齐”,那么这各种问题的牙齿应该采用什么美容技术呢?下面就给大家详细介绍下常见的牙齿美容技术:
01
冷光美白技术

介绍:目前最为流行的冷光美白,是一项通过FDA认证的安全、有效的牙齿漂白技术,该技术使用的过氧化物不仅可以去除牙齿表面的色素沉积,同时可进入牙齿深层达到脱色的效果。根据临床实验表明,使用冷光牙齿美白技术,其效果可提高5~14个vita色阶,其神奇的美白效果使“大黄牙”成为历史,让你hold住全色号口红不是梦。
医生指导:在国外,冷光美白不单纯是一种治疗手段,而更倾向于是一种常规美容手段,在很多国家牙齿美白已经和洗牙一样普遍,要想使牙齿始终洁白如玉,一般需要每2年做一次冷光美白。
治疗时间:完成一次冷光美白治疗一般仅需30分钟,快速便捷。
适合人群:牙面外形没有缺损,有美白牙齿诉求的人群。
02
渗透树脂

介绍:无需磨牙,改善釉质表面白垩色或棕色病损,防治早期龋坏,同时达到美白牙齿的修复效果。
优点:以龋病早期防治为目标的封闭性树脂,是一种现代龋病微创治疗。它无需麻醉和磨切牙齿就能加固脱矿釉质,保留了更多的健康牙体硬组织,从而延长了牙齿寿命。同时该治疗增加釉质微硬度,可恢复牙齿光滑亮白。
治疗时间:每颗牙齿20分钟左右。
适合人群:牙齿釉质表面有白垩色或棕色病损人群。
03
树脂贴面

介绍:口腔医生在短时间内,使用纳米树脂材料,一次性直接完成牙齿色泽匹配、牙形态雕塑、面型协调等复杂的牙齿美学修复方法。
优点:短时、高效、微创、仿真,且费用相对较低。
治疗时间:每颗牙齿30分钟左右。
适合人群:氟斑牙、四环素牙、牙釉质发育不全,需即刻美容牙齿的人群。
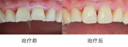
04
瓷贴面

介绍:采用粘结技术,在四环素牙、着色牙、变色牙和畸形牙等表面覆盖瓷修复体,以恢复牙体的正常形态和改善其色泽。
优点:可根据瓷贴面的色谱,针对每个患者的个体情况及需求,选择最适合的颜色,透光性好,看起来完全可以达到以假乱真的效果。该治疗磨切牙齿少、牙髓刺激小,且具有良好的生物相容性、耐磨损等优点。如果护理得当,牙齿做贴面修复的效通常可以维持数十年。
治疗时间:初诊30分钟/牙,一周后复诊粘接瓷贴面。
适合人群:四环素牙、着色牙、变色牙和畸形牙等需永久美容牙齿的人群。
05
瓷全冠

介绍:用陶瓷类材料制成的全冠修复体,用于修复牙体缺损,也叫全瓷牙。
优点:色泽稳定自然、耐磨损、生物相容性好。而且,对于金属烤瓷冠而言无需金属结构,不透金属色,牙龈边缘无黑线。不影响患者做核磁共振检查。
治疗时间:初诊30分钟/牙,一周后复诊粘接瓷全冠。
适合人群:外伤牙缺损、龋坏、死髓变色牙等需永久美容牙齿的人群。
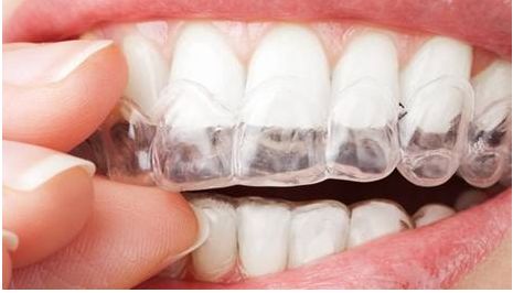
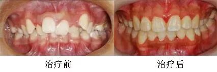
06
隐形矫治

介绍:隐形矫治,佩戴者戴的是透明压模式矫治器,在日常生活中周围的人看不到唇侧有钢丝和托槽的存在,因而称之为“隐形”。隐形矫治已经在全球范围内广泛地应用于临床,并且被认为是最具创新的正畸矫治技术。

优点:该矫治运用了牙颌模型数字化技术、计算机辅助设计等先进技术,制作“个性化”矫治器,且复诊时间可间隔3~6个月/次,解决了在外地工作、求学患者的频繁复诊问题。
治疗时间:通常需1~3年时间,根据患者牙齿排列情况而定。
适合人群:美观要求高的人群;需个性化治疗人群;在外地工作、求学人群。
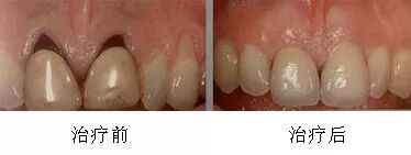
07
牙龈治疗

介绍:通过牙周膜龈手术改变牙龈的美观异常,促进影响牙周组织的健康和长期稳定性。
优点:可消除天然牙或修复的“黑三角”、牙根暴露等问题,使患者拥有美观、健康的牙周组织。
适合人群:有牙龈萎缩、“黑三角”、修复义齿的牙龈的人群。
以上就是几种常见的牙齿修复方法,大家可以根据自己的具体情况采取适合自己的牙齿美容方法。
如果有其他的问题,可以识别下方二维码联系我们,我们将为您全面的解答!

