碳酸饮料喝多了究竟会对牙齿造成多大伤害?


众所周知
饮用含糖饮料可能会导致龋齿
实际上碳酸饮料对牙齿的伤害
比你想象中的更加糟糕
碳酸饮料中含有大量酸性物质,这类饮料会让口腔长时间处于酸性状态,对牙齿产生脱矿作用。

然而
可口可乐、雪碧、芬达
已深入我们的日常生活

碳酸类饮料的酸性度虽然极弱,但在长期饮用,摄入量多且频率高又不注意防护的情况下,也会造成累积性的侵蚀作用,特别是儿童期乳牙及恒牙钙化程度较低,很容易患上这类病症;碳酸饮料中含有大量糖分,糖被口腔中的细菌利用又产生酸性物质,使龋齿发生或者加速。
酸蚀症的临床表现往往最初正是牙齿硬组织无明显实质缺失,仅有感觉牙齿对冷、热、酸、甜等刺激敏感,长期往后逐渐产生牙体实质缺损。

研究人员为证明碳酸饮料对牙齿的侵蚀曾做过以下两个试验:
试验一:
对年龄介于14岁至19岁的青少年做关于果汁,运动饮料和甜味碳酸饮料以及其他食品摄入量的问卷调查,并请来牙科医生判断了这些青少年牙齿的侵蚀磨耗情况。
试验结果:
少年中牙齿被侵蚀的概率高达31.7%,其中牙齿侵蚀程度最大的正属于碳酸饮料组。要知道,牙齿侵蚀度通常被认为是降低一个人的牙齿白度以及健康度的一个重要危险因素。

实验二:将牙齿浸泡于不同饮料中两周时间,研究其不同侵蚀程度。
试验结果:普通含糖汽水与不含糖汽水对牙齿腐蚀程度并无太大差别。试验中浸泡于可口可乐组中的牙齿,牙釉质以2.8mg/cm²的程度溶解,而浸泡在健怡可乐中的牙齿甚至比可口可乐在相同的时间内溶解得更多,3mg/cm²。
浸泡在橙汁中的牙齿牙釉质硬度下降了84%,并显着提高了其粗糙度;浸泡在柠檬和青柠汁中的牙齿侵蚀几乎是电池酸液的程度了。

不过,并不是所有饮料对牙齿的“友善度”都如此。在大部分日常饮料中,矿泉水和啤酒对牙齿的影响最小,其次是红茶和咖啡,浸泡在这些饮料中牙齿侵蚀度均低于0.4mg/cm²。
另外,牛奶也是一种相对安全的饮料,因为它有助于唾液回归到中性的pH值。

喝饮料的习惯对牙齿的危害程度密切相关。如果碳酸饮料饮用的频率多、速度慢、将饮料含在口腔内时间长、睡前饮用多,饮料对牙的危害程度将明显增加。
问题分析
1、酸蚀是在破坏什么?

饮料中的酸性成分,会与蛋壳的碳酸钙(CaCO3)发生反应,形成微溶于水的柠檬酸钙,这种反复脱矿、再矿化的过程不断重复,造成了明显的变形。
脱矿,也叫脱钙,指人的牙齿牙釉质表面的钙磷脱落,因而使牙齿色泽改变,呈白色或微黄的斑点,影响美观。更严重的,牙釉质脱落,牙齿上有明显的浅凹陷或细沟。
在同一种酸的前提下,酸性越强,形变越明显,酸蚀性也就越强
在pH值相近的前提下,它们的破坏力:
可乐(磷酸)>宝矿力(柠檬酸)>红酒(鞣酸)
2、除了直接酸蚀,还有一种可能是饮料中的发酵糖在作祟

食物残渣或者发酵糖经过口内厌氧细菌的代谢,产生牙垢,逐渐形成牙结石,充满孔隙的牙结石成为细菌的安乐窝,细菌代谢过程中产生强酸,逐渐腐蚀牙釉质发酵糖扩散到牙菌斑,经微生物发酵产生酸,引起持续酸蚀。这也是为什么很多人糖吃多了或者甜饮料喝多了,容易蛀牙的原因。
那么饮料究竟能不能喝?

首先,饮料还是可以喝的。
不过饮料中的酸蚀和色素沉淀,是“谋杀”我们牙齿的元凶;而牙釉质是保护牙齿最强的贴身保镖。
所以,当你酣畅淋漓喝饮料的时候,也要关心下自己的牙齿,比如:
长期喝含色素的饮料,多多少少都会造成一定的色素沉着。
喝完柠檬汁、橙汁等酸性果汁后,可以用清水漱个口,缓解牙齿的压力。
在吃很酸的食物后,吃点奶酪,平衡口腔的酸性环境,同时还能补充钙、磷等微量元素。
偶尔喝点茶、葡萄酒能帮助保护牙齿。
任何饮料都不能代替水,每一天请喝满8杯水。
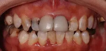
如果你长期没有节制地喝饮料,同时不注意清洁牙齿,那么首先牙齿会变黄变黑,接着牙齿表面开始脱矿,牙釉质受损;从而引发蛀牙,若是处理不当,最终牙齿将一去不复返。
因此,保护牙釉质、牙龈十分重要,切记平时认真刷牙、用牙线清洁、定期洗牙,保护口腔卫生!

