牙病自己就能查?别让牙掉了再去查!
俗话说,病从口入。如果口腔这道防线被攻陷了,全身都可能受到影响。因为口腔是食物进入人体的首个通道,口腔的好坏与全身健康密切相关。既然口腔健康如此重要,那我们该如何了解自己的口腔状况呢?今天就让我们按照下面的步骤,自己给牙齿做个“体检”吧:
根据分数自查牙周病:
0分,说明现在没有牙周病。仍要坚持刷牙,定期做牙科检查来维持现状。

1~4分,轻微牙周病的症状,说明即将得牙周病,或已具备得牙周病的条件。务必每天认真刷牙,如果出现口臭、牙龈不适应及时到牙科检查。


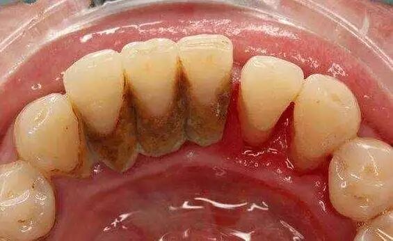
5~9分,中度牙周病。说明很可能已经罹患牙周病,需要去牙科就诊。


中度牙周病的处理方法:
①尽快接受洗牙,以清除牙石及牙周袋内的牙菌膜。牙石给清除后,患者要清除牙菌膜就会更容易、更彻底。
②治疗期间,每天早晚用牙刷、牙线等口腔护理用品彻底清除牙菌膜,防止病情恶化。
③经牙科医生治疗后,患者要保持良好的口腔护理习惯及定期往见牙科医生,接受口腔检查。
10分以上,严重牙周病,说明牙周患病程度不轻,必须马上诊治,饭后要认真刷牙。



①洗牙以清除牙石;
②进行牙根刮治或牙周手术,以清除牙周袋内及牙根表面的牙菌膜和牙石;
③牙科医生会视乎情况处方抗生素供患者服用。
(2)治疗期间每天早晚用牙刷、牙线等口腔护理用品彻底清除牙菌膜以控制病情。经牙科医生治疗后,要保持良好的口腔护理习惯,及定期往见牙科医生接受口腔检查。

上述检查项目中,7~12项是牙周病的重要诱因,而4~6项是牙周病加重的标志,若符合其中任意一项,都要尽快去做牙科检查。




