牙齿变色的原因及对策,一文道尽
洁白的牙齿对社交形象的贡献巨大,不少人发现自己的牙齿越来越黄、甚至变黑,牙面上出现了一些白色斑点或细线,这是为什么呢?有没有预防或治疗的方法呢?本文就和大家详细讲讲牙齿变色的原因和对策。
牙齿颜色由外层的牙釉质和内层的牙本质共同决定。牙本质本身是淡黄色的,牙釉质是半透明的,牙釉质发育得越好,半透明性越高,所以正常牙齿的颜色是泛淡黄的白色,明星款好莱坞式大白牙并不是天然的牙齿颜色。
影响牙齿颜色的因素大致可分为两大类:外源性和内源性染色。除此之外还包括遗传、疾病、外伤等。
外源性染色
外源性染色发生在牙釉质表面,通常通过足够时间的刷牙可以去除,但若混合了酸、焦油或尼古丁后,色素极易粘在牙面上,便很难再通过刷牙去除。
1.深色食品和饮料:如红酒、咖啡、可乐、巧克力、深色调料以及含色素的冰棍和糖果等。
2.水果和蔬菜:一些蔬果汁色原度高,易生成色素。如葡萄、蓝莓、樱桃、甜菜和石榴等。
3.吸烟和咀嚼槟榔:烟草中的焦油和尼古丁是极易染色的化学物质,吸烟和咀嚼槟榔会使牙齿变黑,并难以清洁。另外,这两者还是口腔癌的致病因素。

槟榔咀嚼人的牙齿
4.茶和葡萄酒:葡萄酒和茶中有一种叫单宁(Tannin)的酸性物质,也叫鞣酸,会蚀刻牙釉质,使色素更容易粘在牙齿上,从而促进染色。
① 使用吸管以防止其浸入牙齿。
② 使用滴管服用液态补铁剂时,将其滴到舌头上吞服后喝水。
③ 服药后进行足够时间的刷牙。
6.长期服用中药汤剂。
7.不良口腔卫生习惯:牙齿清洁不足会导致牙菌斑堆积,从而导致变色。

不良口腔卫生习惯导致的牙面软垢堆积,牙齿发黄
1.避免外源性染色的最好方法是进食可能导致染色的食物后及时刷牙。确保您每天至少刷牙两次并使用牙线清洁。
2.控制易染色食物的量和进食方法。如喝茶时加少许牛奶(牛奶中的蛋白质可中和茶中的单宁);尽量用吸管喝果汁、苏打水、运动饮料和碳酸饮料,最大程度地减少液体滞留在牙齿表面的时间,如果没有吸管,可在进食后喝清水或漱口,咀嚼无糖口香糖,帮助中和口腔中的酸。
3.多进食高纤维食物。如豆类和绿叶蔬菜可促进口腔产生更多唾液,并且纤维可以“擦洗”牙面,利于牙齿自洁。
内源性染色
内源性染色发生在牙本质中,需要专业的方式去除。
1.药物:儿童8岁前服用四环素类药物,会导致恒牙变成棕黄色,并且长时间暴露在人工或自然光源下会使变色加重,逐渐变成灰黑色。在孕15周后或哺乳期间服用四环素的妇女,会导致孩子的乳牙变色。某些抗组胺药(如Benadryl®)、抗精神病药和降压药也会引起牙齿变黄。
2.牙髓坏死:因外伤或感染等原因导致的牙髓坏死,会导致牙齿变棕黄进而发黑,并随时间延长而加重。

牙髓坏死会导致牙齿变棕黄进而发黑
3.头颈部的放疗和化疗:会导致牙齿发黑。
4.某些牙科治疗:汞合金修复体(银汞填充物),特别是含硫化银的材料,可能导致牙齿变黑,使牙齿呈灰黑色。

银汞充填物边缘发黑
5.氟斑牙:氟化物摄入过量导致氟中毒(尤其会影响6岁以下的儿童),可能会使牙齿出现白色条纹或褐色斑点,即“氟斑牙”。
日常氟化物摄入主要来源于饮用水,年幼生活在饮水氟含量过高地区(>1.0ppm)容易导致氟斑牙,如煤矿地区、饮用地下水和井水等地区。但作为公共卫生措施,参考本区环境,在供水系统中添加非常少量的氟化物是有益的(WHO推荐最佳浓度为 0.7ppm),可以帮助控制蛀牙。

因饮水氟中毒导致的氟斑牙,呈花白外观
其他常见原因
牙齿变色的其他常见原因还包括遗传、年龄、疾病和外伤等。
一些遗传病,如牙釉质(或牙本质)发育不全,会导致牙齿发育不正常并变色。遗传也是某些人的牙齿先天就比其他人更白的原因,这与牙釉质厚度(半透明度)有关。
随年龄的增长,牙齿会沉积更多的牙本质,使得内层的黄色增多,同时外层的牙釉质会随时间流逝而变薄,外观变暗。如果牙釉质很薄,那么牙本质的自然黄色就会显现出来。
防止牙釉质变薄的最佳方法是保持足够量的唾液,足够的唾液冲刷不仅可以控制牙菌斑,还可以促进氟化物的吸收。如果经常感到口干,建议您去看看风湿免疫或内科医生。
硬皮病、干燥综合征或癌症治疗期间的患者:由于唾液分泌量降低,牙釉质容易变薄,导致牙齿颜色变黄,原因如前所述。
严重的新生儿黄疸:如果孩子出生时血液中的胆红素过多(高胆红素血症),则乳牙可能会呈黄色。
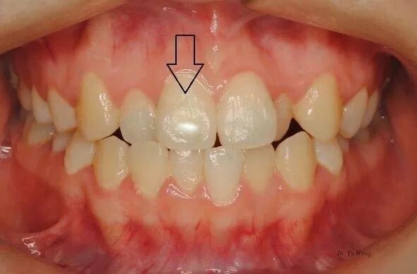
恒中切牙萌出后牙面即有白斑:此为釉质发育不全的一种,多出现在唇面。导致此问题的原因最可能出现在出生到一周岁时,如出生后较长时间的新生儿黄疸(高胆红素血症),或在围产期或出生后暴露于较高的双酚A环境,影响釉质沉积所致。如果侧切牙受影响,那么问题可能发生于1岁或更晚些时候。

中切牙面小白斑为釉质沉积受干扰所致
系统性疾病:尤其是血液系统疾病,如成红细胞增多症、卟啉病、苯丙酮尿症、溶血性贫血、镰状红细胞贫血、地中海贫血。
龋齿:尤其是潜掘性的邻面龋,会使牙齿会从内透出青黑色。
当幼儿的恒牙胚仍在发育时,牙外伤可能会干扰牙釉质的形成,导致牙齿发灰或釉质形态异常。常见的如乳切牙嵌入性损伤,会影响继承恒牙釉质沉积,造成局部釉质发育不全。成年人的牙外伤或牙隐裂也会导致牙齿变色。
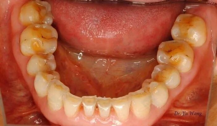
此外,经常夜磨牙的人可能会慢慢磨除外层的牙釉质,暴露其下方淡黄色的牙本质。

牙釉质重度磨耗
美白牙齿的方法
根据变色的原因,处理方法也不同,包括:
适当的刷牙和牙线清洁;
控制染色食物和饮料的摄入;
使用非处方美白剂;
看诊牙医,采用专业美白产品和程序;
检查牙齿,及时治疗龋齿;
制作瓷贴面或树脂贴面。
综上所述,口腔卫生不良造成的牙齿变色是最容易解决的,如果您对牙齿的颜色不满意,请咨询您的牙医,有许多治疗方法可以帮您重现明亮的笑容!
如果你想美白牙齿
请识别下方二维码联系咨询!

