孩子换牙变“丑”了?这些问题90%家长都踩了雷
一到换牙期,平时白白嫩嫩的小朋友们就集体颜值下线!
刚换的大门牙又大又突出,新长的牙齿没有原来的白不说,还有裂缝不整齐,人设都要崩坏了!

“这到底是什么情况?为什么呢么影响颜值?还能不能恢复了?”爸妈们给急得不行。
憋急!随着乳牙陆续脱落,恒牙逐渐萌出,宝宝嘴里发生变化也是正常现象,导致的不美观那都是暂时的!
换牙时遇上的问题总是千变万化,小编整理了几个家长们比较关心的常见问题,让大家能够了解宝宝换牙期间会发生的一些异常情况,提前做好防治工作。

为什么每个宝宝都会经历换牙?
从一出生,颌骨内就藏了两幅牙齿。
当我们还是小宝宝的时候,颌骨窄小,容纳不下恒牙,因此先长了同样“小小”的乳牙,帮助宝宝进食较软的食物。
随着年龄渐大、颌骨发育,以及进食的食物也越来越繁复,牙冠短小硬度不够的乳牙开始胜任不了咀嚼的工作,这个时候就会自觉空位,让能更好咀嚼工作的恒牙上位。

宝宝开始换牙的年龄一般在6岁左右。换牙分两个过程:
乳牙脱落:乳牙慢慢松动直到脱落。(共20颗)
恒牙萌出:随着乳牙一个个地脱落,恒牙便跟着一个个地萌出。(共28颗)
全口乳牙替换的过程大约历时6年,也就是宝宝长到12岁左右时整个换牙过程才宣告结束。

宝宝换牙的顺序一般是遵循“左右对称,先下后上”的原则:
6-8岁时开始长中切牙(六龄齿),第一磨牙也慢慢长出;
8-9岁时开始长出侧切牙;10-12岁双尖牙开始长出,首先会长第一双尖牙,即在侧牙旁边;
11-12岁的时候,上下排的尖牙已经逐渐长出;
12-13岁的开始长第二磨牙;第三磨牙(智齿),要因人而异。
当然这是在正常的情况下,换牙期也有个体差异,前后几个月都是可以接受的。

但如果在4岁前就有牙掉下来(过早),或者已经过了7岁而还没有一颗牙齿脱落(过晚),就应当找医生做个相关检查看恒牙是否埋伏在牙床里面或存在发育上的问题。

换牙期会出现哪些牙齿问题?
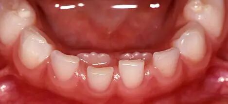
引起门牙间隙的原因有很多。最常见的原因是中切牙已经萌出,而侧切牙尚未萌出,导致出现间隙。
这是替牙过程中暂时现象,应属正常。随着侧切牙、尖牙的萌出,间隙会逐渐减小直到消失。

但有些宝宝会出现多生牙的存在,影响两个中切牙间隙的闭合。这种情况需要通过X线片确诊后及时拔除多生牙。
或者也有上唇系带会影响了中切牙间隙的闭合,这种情况需要适时进行唇系带手术,为间隙闭合提供条件。
这两种情况都需要医生诊辩。
当孩子刚换出的门牙中间有缝儿,无需特别担心,定期观察即可,如果随着旁边恒牙的萌出,间隙并没有减小的趋势,这时才需要到医院就诊。

牙齿的发育是由几个部分融合成的,我们称之为发育叶。发育叶之间融合的地方短,尖端长,牙齿就会呈现锯齿状。
随着牙齿发挥咀嚼功能,牙齿慢慢被磨耗,尖端的地方就被磨平了,牙齿的咬合端就变齐了,不再呈现锯齿状了。
所以这是正常现象,宝宝们都一样需要经历。

牙冠的最表层是乳色半透明的牙釉质,而牙釉质下方是淡黄色的牙本质。
正常情况下,牙齿的颜色是一种白里透黄的颜色,牙釉质钙化越好,透明度越高,牙本质的淡黄色透出来就越多一些。
恒牙比乳牙钙化程度要高,恒牙的牙釉质会比乳牙的牙釉质透明度高,因此恒牙的颜色就比乳牙偏黄,但透明感更强,乳牙颜色更白,但透明感要差一些。
新换的恒牙比乳牙黄是正常现象,这并不影响美观,在邻近乳牙的白色承托下会显得更黄,待所有乳牙被替换后,可能就不会觉得恒牙很黄了。

因为乳牙是给小宝宝用的,而恒牙要伴随我们一生。
恒牙萌出之后,大小是终生不变的,它不会随着年龄的增长而长大,如果硬说有什么变化的话,也只是在天长日久的使用中有一些磨耗。
可是儿童的颌骨是会生长发育的,牙弓的宽度和长度都会增大,颌骨生长发育的幅度是很大的,因此就需要比乳牙大一点的恒牙来适配。
等宝宝颌骨生长发育完成之后就不会觉得门牙看起来太大了。


需要去医院检查吗?需要。
乳牙的脱落大部分情况是因为恒牙准备萌出了,导致乳牙牙根被吸收而脱落。但一些原因可能会引起恒牙迟萌:
乳牙过早脱落后,孩子习惯用牙龈咀嚼,局部的牙龈增生角化变得坚硬肥厚导致恒牙萌出困难。
这种情况时临床上最为常见的,可以通过局部牙龈切开,去除异常阻力,为恒牙萌出创造条件。
可能存在恒牙的先天缺失。
这种情况需要到医院借助X线片来判断,如果确定先天缺失,正畸医生会根据周围牙齿的排列情况选择合适时机、恰当方法进行治疗。
存在多生牙或牙瘤,阻碍了恒牙萌出的通路,致恒牙不能正常萌出。这种情况需要及时手术治疗,去除阻力,使牙齿可以正常萌出。
恒牙本身发育异常,如倒置或冠根呈一定角度都可造成恒牙迟萌甚至不萌。

发育正常的恒牙如果无法拱掉乳牙,就会歪着钻出牙槽、黏膜与乳牙相靠生长于口腔中,出现“双排牙”现象,医学上称为“乳牙滞留”。
双排牙形成的主要原因包含如下:
营养好,牙胚发育早,往往恒牙长了出来乳牙还没掉。
牙齿未得足够锻炼,不利于乳牙牙根生长发育及自然吸收、脱落。
食物过于精细,颌骨咀嚼刺激不够,不能挤掉乳牙,只有在乳牙舌侧长出。

恒牙胚发育错位,乳牙根不能随着恒牙的生长吸收仍很牢固,根本没有要脱落的迹象,没有正常脱落的乳牙占据了恒牙的位置而形成双排牙。
乳牙病变。由于乳牙龋坏严重造成乳牙根吸收障碍等情况造成乳牙不能及时脱落。
已经萌出的恒牙由于位置不够、异位萌出或是咬唇、咬舌、吹口哨、咬铅笔等不良的习惯导致恒牙与恒牙之间的前后错位排列形成双排牙的现象。

遇到乳牙滞留形成的“双排牙”,应尽快拔除滞留乳牙,为恒牙的发育腾出空间让出位置。
如果已出现牙齿不排列不齐,在恒牙换完后即可进行口腔正畸治疗,一般矫正的最佳年龄段在12~14岁。
宝宝换牙是一个非常重要的关键时期,这个时候更需要做一个定期的口腔检查,以便随时发现问题,解决问题。


