毁掉儿童牙齿的不止是甜食和饮料,还有这些......




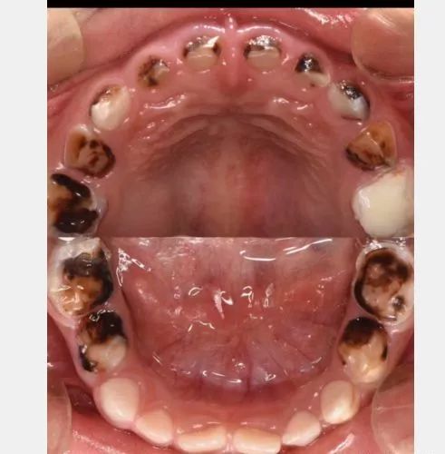
5岁孩子龋齿率高达71%

毁掉牙齿的不是甜食和饮料?

还有日常认知误区!





牙齿是人类身体最坚硬的器官,随着社会物质的发展变化,大家也越来越注意牙齿的保护。


快点跟着小帮一起来看看预防儿童龋齿的几大误区吧!





01


口腔科一票难求



我们希望孩子有一口漂亮结实的牙齿,吃嘛嘛香,笑起来还特别好看。但希望和现实总是有差距:


据第四次全国口腔健康流行病学调查结果显示:我国5岁儿童乳牙龋患率为70.9%,比10年前上升了5.8%;12岁儿童龋患率高达34.5%,比10前上升了7.8%。


除了数字上的变化,我们也能切身感受到:每到寒暑假,医院口腔科各种火爆,一号难求。而看牙医也成了很多孩子的假期噩梦。



某儿童口腔科主任曾接诊一个2岁的小女孩,刚萌出16颗乳牙,其中8颗已经有不同程度的龋齿了,严重的需要做根管治疗。看着都让人揪心。




02


为什么患龋齿的孩子越来越多? 




可能我们会怪罪孩子吃了太多的甜食、喝了太多的饮料,又不好好刷牙。


这种想法不无道理,但除了这些因素之外,导致孩子患龋齿还有更深层的原因——那就是我们大人在口腔护理知识储备上尚有漏洞,一些似是而非的观点特别容易误导我们。


误区一


只要不给孩子吃糖,就不会发生龋齿了


不少妈妈会觉得很冤枉,自己明明很少给孩子吃糖,怎么就龋齿了?爱吃糖,又不好好刷牙,孩子是很容易患龋齿,但吃糖并不是导致龋齿的唯一因素。



龋齿是一种多因素导致的慢性疾病,如遗传因素、牙齿发育结构、清洁不力、牙菌斑等都是诱因。


另外,这个糖不一定特指蔗糖。像面包、面条、米饭等淀粉类食物,残留在口腔也会变成糖,最终被细菌分解成酸,酸会腐蚀牙齿,时间长了,就会形成龋齿。


所以,不给孩子吃糖,并不意味着就一定不会长龋齿。


如果孩子特别爱吃糖和甜食,怎么吃才能减少对牙齿的损害?


首先,相同量的糖,一次性短时间吃完比分次长时间吃危害要小;


其次,尽量选择粘性不强的甜食,越黏的食物越容易长时间附着在牙面上,且不容易清洁;最后,吃完甜食要及时漱口或刷牙。



误区二


绝对不能给孩子使用含氟牙膏,若吞下去就麻烦了


含氟牙膏可以起到预防龋齿的效果——氟能与牙釉质中的成分结合,使牙齿表面变得坚固,同时氟还能抑制口腔中细菌的生长繁殖。


但不少妈妈很担心,小孩子不会漱口,每次刷牙都要吃掉不少牙膏,会不会造成氟摄入过量而中毒?


氟过量的确会造成中毒,但儿童牙膏的含氟量很低,且每次使用的只有豌豆大小的牙膏量,即便全部被吞咽了也不会造成氟过量,我们的担心完全是多余的。


美国牙科协会建议:所有的儿童从第一颗牙齿萌出后就可以使用含氟牙膏,包含三岁以下的儿童。



误区三

孩子不想刷牙、用漱口水代替也是一样的

有些孩子不喜欢刷牙,家长无奈之下就以漱口代替。这种做法到底可不可行?


漱口虽然也能清洁口腔,但效果远不如刷牙,刷牙通过用力摩擦可以将附着在牙面上的牙垢和牙菌斑清除掉,而单纯的漱口是起不到这样的作用的。


那你可能会问:使用专用漱口水效果会不会好一些呢?专业漱口水虽然能除去口腔内的食物残渣和部分软垢,减少口腔内细菌数量,但还是不能清除已经形成的牙菌斑、牙结石。



当孩子大一些可以刷牙了或具备刷牙条件时,一定不要以漱口代替刷牙。


我们可以与孩子沟通,给孩子讲关于刷牙和龋齿的小故事,并陪同孩子一起刷牙等方法,使孩子逐渐爱上刷牙。



误区四

不能给孩子使用牙线,否则会导致牙缝变大


近几年,牙线逐渐受到了更多人的青睐。牙线可以清掉牙缝间的食物残渣、软垢和牙菌斑,刷牙并辅助使用牙线,可以做到深度清洁口腔。


但是,我们却不轻易给孩子使用牙线,一方面觉得没必要,另一方面担心孩子的牙缝被牙线弄大。



比起成人的牙齿,乳牙排列相对较松,牙缝更容易出现食物嵌塞,为了预防龋齿,孩子也需要使用牙线。


正确使用牙线是不会造成牙缝变大的。牙齿是身体中最坚固的组织,而牙线身轻如燕,自由穿梭在牙缝间进行清洁,并不会损害牙龈而导致牙缝增大。


专家建议,当孩子的两颗牙齿慢慢靠拢到可以碰到一起,大概2岁半到3岁时,就可以使用牙线辅助清洁了,最好每天使用至少一次。


记得每半年到一年去看一次牙!



上一篇:孩子的恒牙居然倒着长!家长一时疏忽,孩子一生痛苦!
下一篇:“牙”定一生,必须知道的儿童换牙六大问题