预防蛀牙丨涂氟和窝沟封闭,你了解多少?
前几天和儿牙医生聊天,小温很天真地问医生:现在的宝妈宝爸都是80、90后了,按理说口腔保健意识相对较强,烂牙的孩子比以前少了很多吧?
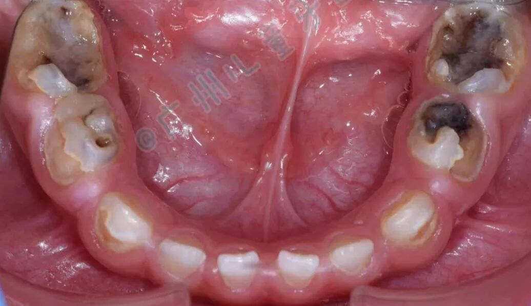
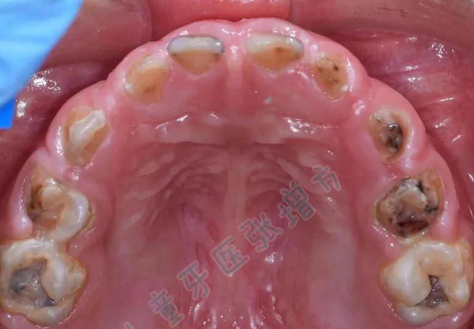
医生不说话并向我甩来了一斤图片:
<< 滑动查看下一张图片 >>
看了上面这些案例,你是不是也感到心疼和担忧,觉得一定不能让自家孩子的牙齿也变成这样?
那么怎样才能有效预防蛀牙呢?相信很多家长都听过涂氟和窝沟封闭,却缺乏全面具体的了解,今天我们就来详细地介绍一下这两种预防孩子蛀牙最普遍而有效的手段。
涂氟
1.氟化物是如何保护牙齿的?
氟化物是一种天然的防龋物,合理用氟可以对牙齿起保护作用:
A. 促进牙齿再矿化,加速牙齿自我修复。
B. 增加釉质的抗酸性。氟可以和牙齿表面形成氟磷灰石,而氟磷灰石能增强牙齿的抗酸性。
C. 抑制细菌产酸。
2.什么是涂氟?
根据美国儿科协会AAP指南,从孩子牙齿萌出,就可以开始定期涂氟了。涂氟指在牙齿表面涂抹高浓度的氟化物,起到保护层的作用。可供选择的氟剂包括氟凝胶、氟化泡沫和氟保护漆三种。
-
氟凝胶
供专业人士使用的氟凝胶浓度很高,因此对操作有严格的要求。在使用氟凝胶的过程中,容易造成异物感和吞咽现象,因此对儿童配合度要求较高,不适宜于6岁以下的儿童。
-
氟化泡沫
氟化泡沫跟凝胶相比用量较少,但有更好的氟吸收,总体来说安全有效,小朋友在幼儿园接受的涂氟通常是这种形式。跟氟凝胶类似,氟泡沫也需要孩子有一定的配合度。
-
氟保护漆
美国牙医协会(ADA)推荐6岁以下儿童使用氟保护漆来预防龋齿,将氟保护漆涂在牙齿表面后,它会在口腔内自然干燥,形成一层保护膜,对牙釉质起到保护作用。氟保护漆的优点是:操作简单、使用次数少、安全有效、与牙齿黏结性好。
3.涂氟应该多久做一次?
临床指南建议儿童每年至少进行两次涂氟治疗,但个体情况存在差异,涂氟的频率最好由齿科医生检查后,根据孩子的患龋风险来决定。
4.涂氟安全吗,有没有副作用?
高剂量用氟的确可能存在氟中毒的风险,所以需要由专业人士来判断用量、排除过敏及进行操作。另外,现有的文献表明:合理用氟是不会导致氟斑牙的。
总之,涂氟是被权威组织认可和推荐的一种帮助儿童预防龋齿的方式,目前也已被人们广泛接受和欢迎,有的城市和机构还把青少年涂氟做成免费公益项目,家长们可以放宽心啦。
5.涂了氟就再不用担心孩子长蛀牙了?
唉,这世界“一劳永逸”的美事确实很少呀,家长们带孩子涂氟后,日常生活中要坚持督促教育孩子做好牙齿清洁、科学进食甜食(每天不超过3次),并养成定期带孩子做口腔检查的习惯。保护牙齿,是一项持续的工作!

窝沟封闭
1.什么是窝沟封闭?
解释这个问题前先要解释下“窝沟”,它指的是你嘴里靠后的大牙顶部凹凸不平、沟沟壑壑,偶尔容易塞菜丝的地方,再认真刷牙也是很难清洁到这些沟壑深处的。
而窝沟封闭则是将窝沟封闭材料涂在牙齿窝沟里,让它流入、渗透后固化变硬,形成一层保护性的屏障,阻止食物残渣、细菌等的侵入,以达到预防龋齿的效果。
换句话说,窝沟就像你家地砖上的缝,时间久了会聚积各种灰尘且不便清理,而窝沟封闭就相当于在地砖刚铺好时,就用材料填充好缝隙的一种预防措施。
2.窝沟封闭用的材料安全吗?
别慌,用在孩子嘴里的东西,必须经得起考验才行。窝沟封闭剂材料有树脂类和玻璃离子类,除了个别孩子可能对其过敏外,是绝对安全无毒的。
3.什么时候该做窝沟封闭?
有的家长可能会问:乳牙也要做窝沟封闭吗?答案是肯定的,乳牙从生长到脱落,大概要在口腔内存留 6~10 年,这一阶段正是儿童生长发育最重要的时期,所以乳牙的健康对孩子有重要意义。
乳牙窝沟封闭最佳年龄是3岁左右,第一恒磨牙的窝沟封闭最佳年龄是6-8岁,第二恒磨牙的窝沟封闭最佳年龄是12-14岁。
4.做完窝沟封闭之后该注意什么?
和涂氟一样,做完窝沟封闭并不意味着家长就可以放松警惕了。一方面,日常生活中还是要引导孩子合理饮食、做好日常口腔清洁;另一方面,定期复诊也很重要。如果出现脱落,就要重新进行封闭才行。
5.做了窝沟封闭还需要涂氟吗?
两者并不矛盾,对于患龋风险高容易蛀牙的孩子,即使做了窝沟封闭,也需要定期进行涂氟,给牙齿双重保障。
好牙从娃娃抓起
介绍完了涂氟和窝沟封闭,小温还要再唠叨一次:家长们一定要树立良好的口腔保健意识,多关注孩子的牙齿健康,尽早带他们到正规、专业的机构进行口腔检查和治疗。

