孩子“十牙九蛀”,家长这种观念是“隐形杀手”!
孩子还小不需要检查,等大了再去
乳牙反正要换,蛀了就蛀了,不用管
孩子害怕见牙医,不疼就暂时先不治疗了
…
这是大多数家长的反应,原因无他,一听要去医院,孩子就吓得哇哇大哭,爸爸妈妈看着孩子这么抗拒,肯定不忍心“逼迫”。
年前的时候小编发现,随着年关将近,来院看蛀牙的孩子人数呈直线上升趋势。细菌一整年的发酵和蛰伏终于发挥威力,导致孩子牙疼了。

蛀牙真的是因为糖吃多了吗?
据第四次全国口腔健康流行病学调查结果,中国5岁儿童有70.9%患蛀牙,而治疗率,不到5%。虽然不像“十牙九蛀”那么夸张,数据也是很惊人了。
也就是说,10个儿童里有7个会患蛀牙。
那么,蛀牙的原因到底是什么?
◎ 饮食习惯:含糖类食物吃太多
一方面,蛀牙是因为吃太多糖造成的,这是很多人的看法,事实上,生活中其他很多食物都含糖类物质,比如:碳水化合物(汉堡、米饭、面食)、淀粉类(薯条)、碳酸饮料(可乐)、果汁……

▲这些食物都含糖
不知不觉中就摄入过多的糖(把患蛀牙的锅都让糖果背,真的很冤~)家长们要注意:这些食物不要给孩子吃太多额,不然口腔卫生不好保持,会增加蛀牙的风险,对孩子的身体发育也有影响。
当然,这种控制是在保证孩子营养均衡的前提下,并不是说一点也不能吃,家长们可不要因噎废食额~
◎ 未及时清洁牙齿:牙齿脱矿-再矿化-脱矿
另一方面,小孩子哪有不贪嘴,不爱吃零食的呢,也不能过度遏制孩子的天性;吃可以,但要做好进食后的口腔卫生。反之,会造成什么影响呢?
严格来说,孩子从出生以后细菌就寄居在口腔内。
龋齿,也就是蛀牙,是由附着于牙齿表面的特定细菌(主要是变形链球菌)引起的。进食时,这种特定细菌代谢糖类产酸,低于釉质临界PH值,容易导致牙齿脱矿。

图源 | 觅元素
而我们的牙齿本身是有一个保护作用的。进食的同时,口腔内会分泌唾液冲刷酸类物质,和酸中和,PH值恢复正常,在我们肉眼看不到的地方,脱矿的部位慢慢再矿化。只要进食脱矿—再矿化的过程就会一直发生。
值得注意的是,整个过程大约需要一小时,所以在这要给家长们提个醒儿,孩子进食的频率一定不能过高,吃零食最好设置固定时间,比如正餐之前一直给孩子吃零食,还不漱口不清洁,不给牙齿留出再矿化的时间,一直处于脱矿状态,那蛀牙的风险就会变得非常高!
◎ 牙齿本身条件和进食频率
乳牙的矿化情况不如恒牙,抵抗力本身就比恒牙弱;再加上小孩爱吃零食,吃完不刷牙或刷牙不干净,蛀牙风险都很可能直线上升。

牙齿是怎样一步步被蛀空的?
● 浅龋:没有任何症状表现,患者本人无法发现,只有医生通过口镜、探针检查到,也是治疗最简单、无痛苦的黄金时期

▲牙齿龋坏过程
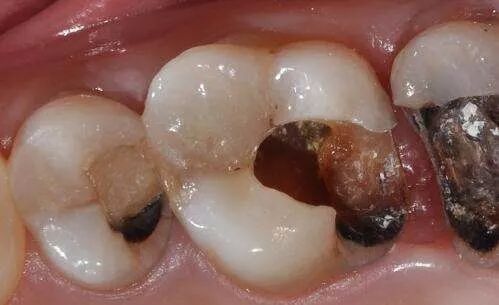
● 中龋:会出现对冷、热、酸甜等刺激性味道产生敏感反应,能够探查到小小的龋洞,此时请立刻马上去看牙!!!
● 深龋:患者会出现强烈的牙疼,夜间自发疼痛等。能观察到明显的龋洞,可能发生食物嵌塞的情况。如果孩子发展成深龋,此时孩子疼的大哭,爸爸妈妈担心睡不着,造成孩子疼痛,大人心疼的局面。看图赶紧自测:



▲胆小误入,小心滑动
如果此时还不进行治疗,会造成什么危害?
(家长必看)
深龋会造成什么样的后果呢?
患上牙髓炎,再进一步发展就是牙根的炎症了,可能会疼痛、牙肉长脓包、脸肿,甚至是一些全身症状。
如果炎症比较严重,时间较长,还可能影响恒牙的发育,如果牙齿脱落了,也会影响咀嚼功能、颌骨发育,甚至会导致恒牙长不出来、牙列不齐,生长发育受影响。

如何预防蛀牙?
定期口腔检查,定时看牙医,这是我们一直跟大家重复和提醒的,在此,小编送给大家几个,在当下能及时有效地改善儿童牙齿状况的小tips:

①好好刷牙、做好清洁
②定期检查
③窝沟封闭和涂氟

